Tel:
+49 (0)241 95 163 153
Fax:
+49 (0)241 95 163 155
E-Mail:
orders@anticorps-enligne.fr

NDUFB10 Anticorps

(NADH Dehydrogenase (Ubiquinone) 1 beta Subcomplex, 10, 22kDa (NDUFB10))

Choisissez l’un des 40 anticorps NDUFB10 de notre liste de produits basés sur 2 publications et 60 images de validation.

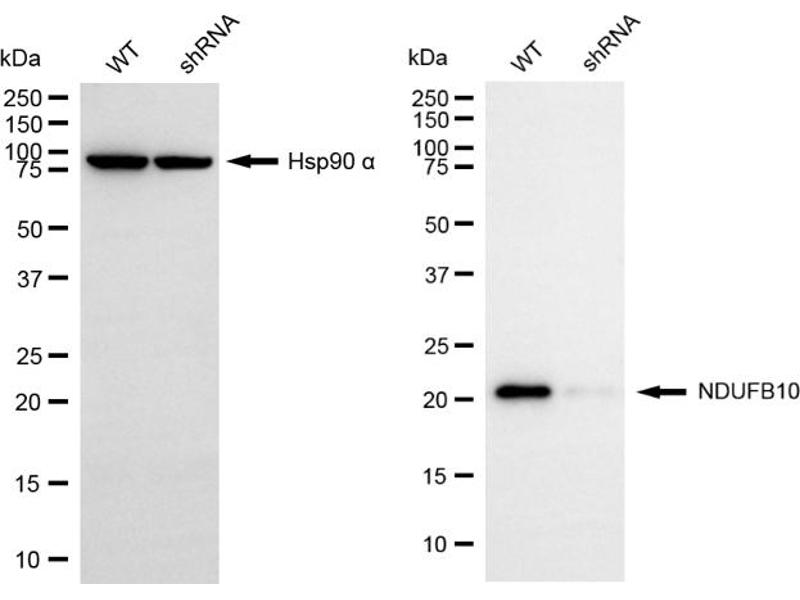
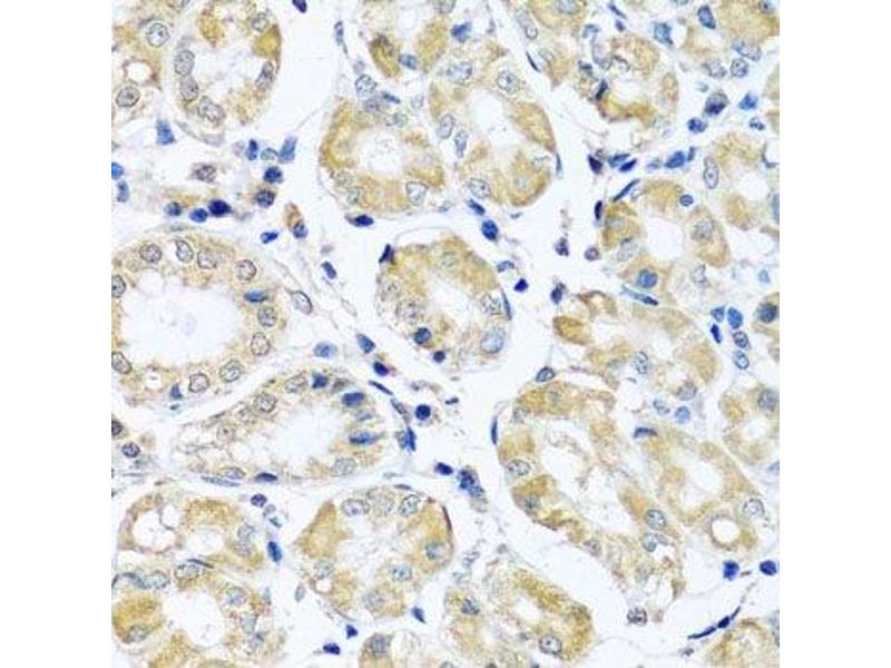
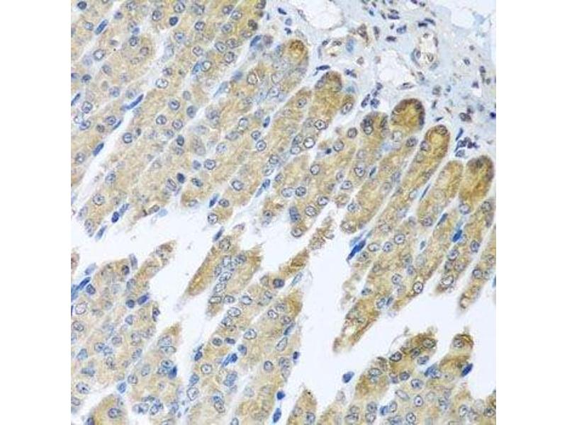
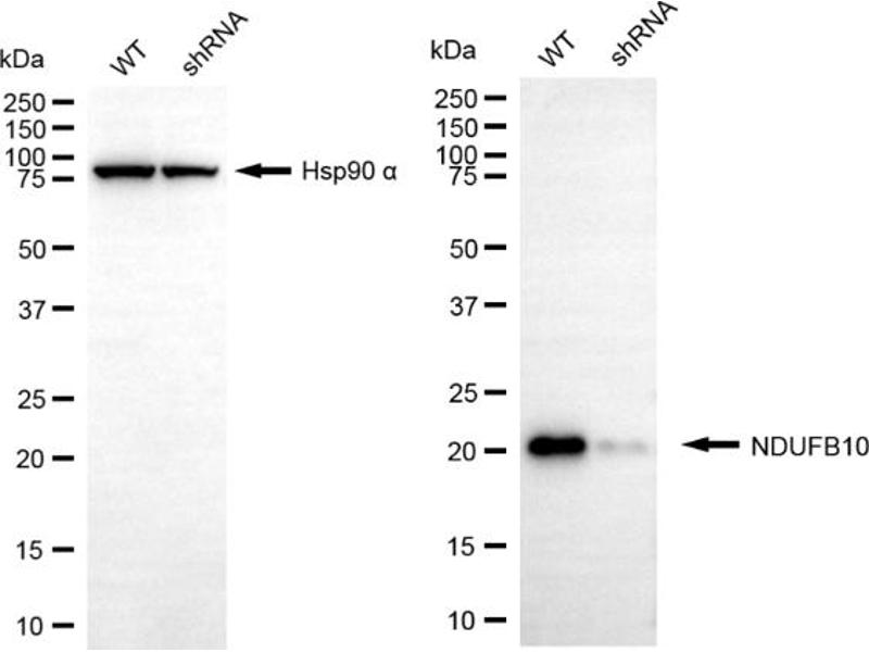
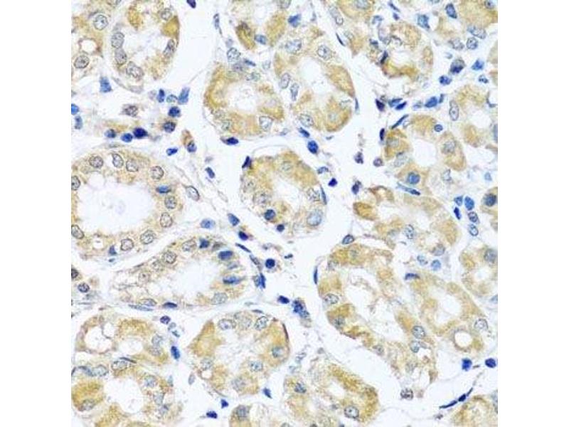
Découvrez des anticorps NDUFB10 fiables issus d’une large sélection de fabricants renommés. Notre portefeuille permet une détection précise de NDUFB10 dans plusieurs espèces, y compris Human, Mouse, Rat, Dog, Guinea Pig, Horse, Cow, Monkey, Zebrafish (Danio rerio), et prend en charge diverses applications de recherche telles que WB, IHC, ICC, IP, ELISA.

Trouvez rapidement l’anticorps adapté grâce à nos outils de recherche, de filtrage et de comparaison. Chaque page produit fournit des données de validation détaillées, des références bibliographiques et des retours d’utilisateurs. Contrairement aux ressources dédiées uniquement à la comparaison, vous pouvez acheter directement les anticorps sur notre site. Choisissez parmi des anticorps polyclonaux, monoclonaux ou recombinants NDUFB10, issus de différents hôtes tels que Rabbit, Mouse. Parcourez nos produits ci-dessous et commandez directement pour soutenir vos recherches en toute confiance.

Les noms alternatifs de NDUFB10 sont LOC733018, Ndufb10, NDUFB10.

40 Résultats

NDUFB10 Reactivité: Humain WB, IHC, IHC (p), FACS Hôte: Souris Monoclonal 1H6 unconjugated
N° du produit ABIN1499668
806,47 €
Plus frais de livraison 40,00 € et TVA
100 μL
Destination: France
Envoi sous 15 à 20 jours ouvrables
 
NDUFB10 Reactivité: Humain, Rat, Souris, Chien, Singe WB, IHC, IHC (p), IF Hôte: Souris Monoclonal 4F1 unconjugated
N° du produit ABIN1499669
806,47 €
Plus frais de livraison 40,00 € et TVA
100 μL
Destination: France
Envoi sous 15 à 20 jours ouvrables
 
KD Validated NDUFB10 Reactivité: Humain WB, FACS Hôte: Souris Monoclonal 24GB13255 unconjugated
N° du produit ABIN7799547
598,92 €
Plus frais de livraison 40,00 € et TVA
100 μL
Destination: France
Envoi sous 7 à 10 jours ouvrables
 
NDUFB10 Reactivité: Humain, Rat, Souris WB, IHC, ELISA, ICC, IF, FACS Hôte: Lapin Polyclonal unconjugated
N° du produit ABIN7601461
500,50 €
Plus frais de livraison 40,00 € et TVA
100 μg
Destination: France
Envoi sous 8 à 12 jours ouvrables
 
NDUFB10 Reactivité: Humain WB, IP Hôte: Lapin Polyclonal unconjugated
N° du produit ABIN6144472
320,00 €
Plus frais de livraison 40,00 € et TVA
100 μL (Autres quantités disponibles)
Destination: France
Envoi sous 8 à 10 jours ouvrables
 
KD Validated NDUFB10 Reactivité: Humain WB, FACS Hôte: Souris Monoclonal 24GB13250 unconjugated
N° du produit ABIN7799546
598,92 €
Plus frais de livraison 40,00 € et TVA
100 μL
Destination: France
Envoi sous 7 à 10 jours ouvrables
 
NDUFB10 Reactivité: Humain WB, IHC, ELISA Hôte: Lapin Polyclonal unconjugated
N° du produit ABIN7160914
328,90 €
Plus frais de livraison 40,00 € et TVA
100 μL (Autres quantités disponibles)
Destination: France
Envoi sous 11 à 15 jours ouvrables
 
NDUFB10 Reactivité: Humain WB Hôte: Souris Polyclonal unconjugated
N° du produit ABIN518243
651,20 €
Plus frais de livraison 40,00 € et TVA
50 μg
Destination: France
Envoi sous 8 à 9 jours ouvrables
 
NDUFB10 Reactivité: Humain WB, IP Hôte: Lapin Polyclonal unconjugated
N° du produit ABIN518244
636,80 €
Plus frais de livraison 40,00 € et TVA
100 μL
Destination: France
Envoi sous 8 à 9 jours ouvrables
 
NDUFB10 Reactivité: Humain WB Hôte: Lapin Polyclonal RB45610 unconjugated
Pubmed 2 références
N° du produit ABIN1881570
434,77 €
Plus frais de livraison 40,00 € et TVA
400 μL (Autres quantités disponibles)
Destination: France
Envoi sous 14 à 17 jours ouvrables
 
NDUFB10 Reactivité: Humain WB, ELISA Hôte: Souris Polyclonal unconjugated
N° du produit ABIN561941
508,80 €
Plus frais de livraison 40,00 € et TVA
50 μL
Destination: France
Envoi sous 8 à 9 jours ouvrables
 
NDUFB10 Reactivité: Humain WB Hôte: Lapin Polyclonal unconjugated
N° du produit ABIN6749956
789,41 €
Plus frais de livraison 40,00 € et TVA
100 μL
Destination: France
Envoi sous 15 à 20 jours ouvrables
 
NDUFB10 Reactivité: Humain WB, IHC, ELISA Hôte: Lapin Polyclonal unconjugated
N° du produit ABIN7570433
527,38 €
Plus frais de livraison 40,00 € et TVA
100 μg
Destination: France
Envoi sous 10 à 13 jours ouvrables
 
NDUFB10 Reactivité: Humain WB, IP, IHC (p), ICC, IF, IHC (fro) Hôte: Lapin Monoclonal R08-5I1R08-5I1 unconjugated Recombinant Antibody
N° du produit ABIN7542163
877,50 €
Plus frais de livraison 40,00 € et TVA
100 μL
Destination: France
Envoi sous 8 à 9 jours ouvrables
 
NDUFB10 Reactivité: Humain WB, IHC (p), ICC, IF Hôte: Lapin Polyclonal unconjugated
N° du produit ABIN7468632
765,00 €
Plus frais de livraison 40,00 € et TVA
100 μL
Destination: France
Envoi sous 7 à 10 jours ouvrables
 
NDUFB10 Reactivité: Humain WB, IHC, IHC (p) Hôte: Lapin Polyclonal unconjugated
N° du produit ABIN2892694
753,61 €
Plus frais de livraison 40,00 € et TVA
100 μL (Autres quantités disponibles)
Destination: France
Envoi sous 15 à 20 jours ouvrables
 
NDUFB10 Reactivité: Humain, Rat, Souris WB, IHC, ELISA Hôte: Lapin Polyclonal unconjugated
N° du produit ABIN7116718
375,38 €
Plus frais de livraison 40,00 € et TVA
100 μg
Destination: France
Envoi sous 11 à 15 jours ouvrables
 
NDUFB10 Reactivité: Humain WB, ELISA Hôte: Lapin Polyclonal unconjugated
N° du produit ABIN1535061
402,00 €
Plus frais de livraison 40,00 € et TVA
100 μL (Autres quantités disponibles)
Destination: France
Envoi sous 6 à 9 jours ouvrables
 
NDUFB10 Reactivité: Humain, Rat, Chien, Cobaye, Cheval, Boeuf (Vache) WB Hôte: Lapin Polyclonal unconjugated
N° du produit ABIN2789283
534,11 €
Plus frais de livraison 40,00 € et TVA
100 μL (Autres quantités disponibles)
Destination: France
Envoi sous 6 à 9 jours ouvrables
 
NDUFB10 Reactivité: Humain, Rat, Souris, Chien, Cobaye, Cheval, Poisson zèbre (Danio rerio) WB Hôte: Lapin Polyclonal unconjugated
N° du produit ABIN2789282
534,11 €
Plus frais de livraison 40,00 € et TVA
100 μL (Autres quantités disponibles)
Destination: France
Envoi sous 6 à 9 jours ouvrables
 
  • Type Primary
    • Primary
  • Application
    • Western Blotting (WB)
    • Immunohistochemistry (IHC)
    • Immunocytochemistry (ICC)
    • Immunoprecipitation (IP)
    • ELISA
    • Immunohistochemistry (Paraffin-embedded Sections) (IHC (p))
    • Flow Cytometry (FACS)
    • Immunofluorescence (IF)
    • Immunohistochemistry (Frozen Sections) (IHC (fro))
  • Réactivité
    • Human
    • Mouse
    • Rat
    • Dog
    • Guinea Pig
    • Horse
    • Cow
    • Monkey
    • Zebrafish (Danio rerio)
  • Cité dans publications
  • Images disponible
  • Sans conservateur uniquement
  • Carrier free only
  • Hote
    • Rabbit
    • Mouse
  • Clonalité
    • Polyclonal
    • Monoclonal
  • Clone
    • 1H6
    • 24GB13250
    • 24GB13255
    • 4F1
    • R08-5I1R08-5I1
    • RB45610
  • Epitope
    • AA 1-172
    • C-Term
    • AA 22-172
    • AA 36-172
    • AA 43-70
    • AA 63-112
    • AA 73-172
    • AA 91-140
    • Glu95
  • Conjugué
    • Inconjugué
    • Alexa Fluor 488
    • Alexa Fluor 555
    • Alexa Fluor 594
    • Alexa Fluor 647
    • Alexa Fluor 680
    • Alexa Fluor 750
    • Biotin
    • Alexa Fluor 350
    • Alexa Fluor 405
  • Isotype
    • IgG
    • IgG1
    • Ig Fraction
  • Type Proteine
    • Recombinant Antibody
  • Format
    • Liquid
    • Lyophilized
  • Grade
    • KD Validated
  • Supplier
    • Signalway
    • antibodies-online
    • Abbexa
    • Aviva Systems Biology
    • Assay Biotechnology Company, Inc.
    • Boster Bio
    • ProteoGenix
    • USBio

Dernières publications pour nos NDUFB10 Anticorps

Murray, Zhang, Taylor, Oglesbee, Fahy, Marusich, Ghosh, Capaldi: "The subunit composition of the human NADH dehydrogenase obtained by rapid one-step immunopurification." dans: The Journal of biological chemistry, Vol. 278, Issue 16, pp. 13619-22, (2003) (PubMed).

Loeffen, Triepels, van den Heuvel, Schuelke, Buskens, Smeets, Trijbels, Smeitink: "cDNA of eight nuclear encoded subunits of NADH:ubiquinone oxidoreductase: human complex I cDNA characterization completed." dans: Biochemical and biophysical research communications, Vol. 253, Issue 2, pp. 415-22, (1999) (PubMed).

Pseudonymes pour NDUFB10 Anticorps

NADH dehydrogenase (ubiquinone) 1 beta subcomplex 10 (LOC733018) Anticorps
NADH dehydrogenase (ubiquinone) 1 beta subcomplex, 10 (Ndufb10) Anticorps
NADH:ubiquinone oxidoreductase subunit B10 (NDUFB10) Anticorps
22kDa Anticorps
0610011B04Rik Anticorps
PDSW Anticorps
Vous êtes ici:
Chat with us!