Tel:
+49 (0)241 95 163 153
Fax:
+49 (0)241 95 163 155
E-Mail:
orders@anticorps-enligne.fr

NLN Anticorps

(Neurolysin (Metallopeptidase M3 Family) (NLN))

Choisissez l’un des 26 anticorps NLN de notre liste de produits basés sur 1 publication et 19 images de validation.

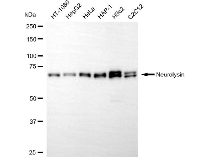
Découvrez des anticorps NLN fiables issus d’une large sélection de fabricants renommés. Notre portefeuille permet une détection précise de NLN dans plusieurs espèces, y compris Human, Mouse, Rat, Dog, Cow, Guinea Pig, Horse, Monkey, Bat, Pig, Rabbit, Zebrafish (Danio rerio), et prend en charge diverses applications de recherche telles que WB, ELISA, IHC, FACS, IF.

Trouvez rapidement l’anticorps adapté grâce à nos outils de recherche, de filtrage et de comparaison. Chaque page produit fournit des données de validation détaillées, des références bibliographiques et des retours d’utilisateurs. Contrairement aux ressources dédiées uniquement à la comparaison, vous pouvez acheter directement les anticorps sur notre site. Choisissez parmi des anticorps polyclonaux, monoclonaux ou recombinants NLN, issus de différents hôtes tels que Rabbit, Mouse, Sheep. Parcourez nos produits ci-dessous et commandez directement pour soutenir vos recherches en toute confiance.

Les noms alternatifs de NLN sont NLN, Nln.

26 Résultats

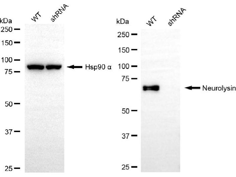
NLN Reactivité: Humain, Rat, Souris, Singe WB, IHC, FACS, IF, IHC (p) Hôte: Souris Monoclonal 1D6 unconjugated
N° du produit ABIN1499710
806,47 €
Plus frais de livraison 40,00 € et TVA
100 μL
Destination: France
Envoi sous 15 à 20 jours ouvrables
 
KD Validated NLN Reactivité: Humain WB, FACS Hôte: Souris Monoclonal 25GB5220 unconjugated
N° du produit ABIN7799583
598,92 €
Plus frais de livraison 40,00 € et TVA
100 μL
Destination: France
Envoi sous 7 à 10 jours ouvrables
 
NLN Reactivité: Humain WB, ELISA, IHC, IF Hôte: Lapin Polyclonal unconjugated
N° du produit ABIN7161327
328,90 €
Plus frais de livraison 40,00 € et TVA
100 μg (Autres quantités disponibles)
Destination: France
Envoi sous 11 à 15 jours ouvrables
 
NLN Reactivité: Humain WB Hôte: Lapin Polyclonal RB41829 unconjugated
Pubmed 1 reference
N° du produit ABIN1881581
434,77 €
Plus frais de livraison 40,00 € et TVA
400 μL (Autres quantités disponibles)
Destination: France
Envoi sous 14 à 17 jours ouvrables
 
NLN Reactivité: Humain WB Hôte: Lapin Polyclonal unconjugated
N° du produit ABIN6144654
320,00 €
Plus frais de livraison 40,00 € et TVA
100 μL (Autres quantités disponibles)
Destination: France
Envoi sous 8 à 10 jours ouvrables
 
NLN Reactivité: Humain, Chien, Boeuf (Vache), Cobaye, Cheval, Roussette (Chauve-souris), Porc WB Hôte: Lapin Polyclonal unconjugated
N° du produit ABIN6749966
789,41 €
Plus frais de livraison 40,00 € et TVA
100 μL
Destination: France
Envoi sous 15 à 20 jours ouvrables
 
NLN Reactivité: Humain WB, IHC, IF Hôte: Souris Monoclonal 1D6 unconjugated
N° du produit ABIN2147639
1.792,74 €
Plus frais de livraison 40,00 € et TVA
100 μL
Destination: France
Envoi sous 13 à 17 jours ouvrables
 
NLN Reactivité: Humain WB, FACS Hôte: Souris Monoclonal 3C2 unconjugated
N° du produit ABIN2147638
1.792,74 €
Plus frais de livraison 40,00 € et TVA
100 μL
Destination: France
Envoi sous 13 à 17 jours ouvrables
 
NLN Reactivité: Humain WB, IHC, FACS Hôte: Souris Monoclonal 3A12 unconjugated
N° du produit ABIN2147637
1.792,74 €
Plus frais de livraison 40,00 € et TVA
100 μL
Destination: France
Envoi sous 13 à 17 jours ouvrables
 
NLN Reactivité: Humain WB Hôte: Lapin Polyclonal unconjugated
N° du produit ABIN7467048
765,00 €
Plus frais de livraison 40,00 € et TVA
100 μL
Destination: France
Envoi sous 7 à 10 jours ouvrables
 
NLN Reactivité: Humain ELISA Hôte: Lapin Polyclonal HRP
N° du produit ABIN7161330
328,90 €
Plus frais de livraison 40,00 € et TVA
100 μg (Autres quantités disponibles)
Destination: France
Envoi sous 11 à 15 jours ouvrables
 
NLN Reactivité: Humain ELISA Hôte: Lapin Polyclonal Biotin
N° du produit ABIN7161328
328,90 €
Plus frais de livraison 40,00 € et TVA
100 μg (Autres quantités disponibles)
Destination: France
Envoi sous 11 à 15 jours ouvrables
 
NLN Reactivité: Humain Hôte: Lapin Polyclonal FITC
N° du produit ABIN7161329
328,90 €
Plus frais de livraison 40,00 € et TVA
100 μg (Autres quantités disponibles)
Destination: France
Envoi sous 11 à 15 jours ouvrables
 
NLN Reactivité: Humain WB Hôte: Lapin Polyclonal unconjugated
N° du produit ABIN7449240
576,62 €
Plus frais de livraison 40,00 € et TVA
100 μg (Autres quantités disponibles)
Destination: France
Envoi sous 7 à 10 jours ouvrables
 
NLN Reactivité: Humain WB Hôte: Lapin Polyclonal unconjugated
N° du produit ABIN7449241
576,62 €
Plus frais de livraison 40,00 € et TVA
100 μg (Autres quantités disponibles)
Destination: France
Envoi sous 7 à 10 jours ouvrables
 
NLN Reactivité: Humain, Rat, Souris WB, ELISA, IP Hôte: Mouton Polyclonal unconjugated
N° du produit ABIN596742
1.609,52 €
Plus frais de livraison 40,00 € et TVA
100 μg
Destination: France
Envoi sous 15 à 20 jours ouvrables
 
NLN Reactivité: Humain WB, ELISA Hôte: Lapin Polyclonal unconjugated
N° du produit ABIN2626112
1.328,20 €
Plus frais de livraison 40,00 € et TVA
200 μL
Destination: France
Envoi sous 15 à 20 jours ouvrables
 
NLN Reactivité: Humain WB, ELISA Hôte: Lapin Polyclonal Biotin
N° du produit ABIN1917670
1.708,41 €
Plus frais de livraison 40,00 € et TVA
200 μL
Destination: France
Envoi sous 15 à 20 jours ouvrables
 
NLN Reactivité: Humain WB, ELISA Hôte: Lapin Polyclonal APC
N° du produit ABIN1917669
1.708,41 €
Plus frais de livraison 40,00 € et TVA
200 μL
Destination: France
Envoi sous 15 à 20 jours ouvrables
 
NLN Reactivité: Humain WB, ELISA Hôte: Lapin Polyclonal HRP
N° du produit ABIN1917673
1.708,41 €
Plus frais de livraison 40,00 € et TVA
200 μL
Destination: France
Envoi sous 15 à 20 jours ouvrables
 
  • Type Primary
    • Primary
  • Application
    • Western Blotting (WB)
    • ELISA
    • Immunohistochemistry (IHC)
    • Flow Cytometry (FACS)
    • Immunofluorescence (IF)
    • Immunohistochemistry (Paraffin-embedded Sections) (IHC (p))
    • Immunoprecipitation (IP)
  • Réactivité
    • Human
    • Mouse
    • Rat
    • Dog
    • Cow
    • Guinea Pig
    • Horse
    • Monkey
    • Bat
    • Pig
    • Rabbit
    • Zebrafish (Danio rerio)
  • Cité dans publications
  • Images disponible
  • Sans conservateur uniquement
  • Carrier free only
  • Hote
    • Rabbit
    • Mouse
    • Sheep
  • Clonalité
    • Polyclonal
    • Monoclonal
  • Clone
    • 1D6
    • 25GB5220
    • 3A12
    • 3C2
    • 3H4
    • RB41829
  • Epitope
    • AA 212-240
    • AA 109-241
    • AA 25-75
    • AA 38-260
    • AA 38-704
    • AA 654-704
    • AA 88-137
    • N-Term
  • Conjugué
    • Inconjugué
    • Biotin
    • FITC
    • HRP
    • APC
    • PE
  • Isotype
    • IgG
    • IgG1
    • Ig Fraction
    • IgG2a
    • IgG2b
  • Format
    • Liquid
    • Lyophilized
  • Grade
    • KD Validated
  • Supplier
    • antibodies-online
    • Aviva Systems Biology
    • Cohesion Biosciences

Dernières publications pour nos NLN Anticorps

Lim, Sampath, Coll-Rodriguez, Schmidt, Ray, Rodgers: "Swapping the substrate specificities of the neuropeptidases neurolysin and thimet oligopeptidase." dans: The Journal of biological chemistry, Vol. 282, Issue 13, pp. 9722-32, (2007) (PubMed).

Kobayashi, Tohda: "Extracellular Cytosolic Aspartate Aminotransferase Promotes Axonal Growth and Object Recognition Memory." dans: Neurochemical research, Vol. 42, Issue 12, pp. 3465-3473 (PubMed).

Pseudonymes pour NLN Anticorps

neurolysin (NLN) Anticorps
neurolysin (metallopeptidase M3 family) (Nln) Anticorps
neurolysin (Nln) Anticorps
neurolysin (metallopeptidase M3 family) (NLN) Anticorps
4930472G13Rik Anticorps
AGTBP Anticorps
C79345 Anticorps
EP24.16 Anticorps
MEP Anticorps
MOP Anticorps
Vous êtes ici:
Chat with us!