Tel:
+49 (0)241 95 163 153
Fax:
+49 (0)241 95 163 155
E-Mail:
orders@anticorps-enligne.fr

PDE9A Anticorps

(phosphodiesterase 9A (PDE9A))

Choisissez l’un des 25 anticorps PDE9A de notre liste de produits basés sur 5 publications et 26 images de validation.

Découvrez des anticorps PDE9A fiables issus d’une large sélection de fabricants renommés. Notre portefeuille permet une détection précise de PDE9A dans plusieurs espèces, y compris Human, Mouse, Rat, Dog, Cow, Gibbon, Guinea Pig, Horse, Monkey, Rabbit, Zebrafish (Danio rerio), et prend en charge diverses applications de recherche telles que WB, IHC, ELISA, IF, IHC (p).

Trouvez rapidement l’anticorps adapté grâce à nos outils de recherche, de filtrage et de comparaison. Chaque page produit fournit des données de validation détaillées, des références bibliographiques et des retours d’utilisateurs. Contrairement aux ressources dédiées uniquement à la comparaison, vous pouvez acheter directement les anticorps sur notre site. Choisissez parmi des anticorps polyclonaux, monoclonaux ou recombinants PDE9A, issus de différents hôtes tels que Rabbit, Mouse. Parcourez nos produits ci-dessous et commandez directement pour soutenir vos recherches en toute confiance.

Les noms alternatifs de PDE9A sont PDE9A, pde9a.S, Pde9a, LOC100549810, pde9a.

25 Résultats

PDE9A Reactivité: Humain WB, IP Hôte: Lapin Polyclonal unconjugated
N° du produit ABIN948233
636,80 €
Plus frais de livraison 40,00 € et TVA
100 μL
Destination: France
Envoi sous 8 à 9 jours ouvrables
 
PDE9A Reactivité: Humain, Souris, Rat, Chien, Boeuf (Vache), Cobaye, Cheval, Lapin, Poisson zèbre (Danio rerio) WB, IHC Hôte: Lapin Polyclonal unconjugated
N° du produit ABIN2782354
534,11 €
Plus frais de livraison 40,00 € et TVA
100 μL (Autres quantités disponibles)
Destination: France
Envoi sous 6 à 9 jours ouvrables
 
PDE9A Reactivité: Humain WB, ELISA, IHC (p) Hôte: Souris Monoclonal 1E1 unconjugated
N° du produit ABIN518731
651,20 €
Plus frais de livraison 40,00 € et TVA
100 μg
Destination: France
Envoi sous 8 à 9 jours ouvrables
 
PDE9A Reactivité: Humain WB, IHC (p) Hôte: Lapin Polyclonal unconjugated
N° du produit ABIN2856636
583,17 €
Plus frais de livraison 40,00 € et TVA
100 μL
Destination: France
Envoi sous 7 à 10 jours ouvrables
 
PDE9A Reactivité: Humain WB, ELISA, IHC, IF Hôte: Lapin Polyclonal unconjugated
N° du produit ABIN7155179
328,90 €
Plus frais de livraison 40,00 € et TVA
100 μg (Autres quantités disponibles)
Destination: France
Envoi sous 11 à 15 jours ouvrables
 
PDE9A Reactivité: Humain WB, IF Hôte: Souris Polyclonal unconjugated
N° du produit ABIN518728
651,20 €
Plus frais de livraison 40,00 € et TVA
50 μL
Destination: France
Envoi sous 8 à 9 jours ouvrables
 
PDE9A Reactivité: Humain, Chien WB, IHC, IHC (p) Hôte: Lapin Polyclonal unconjugated
N° du produit ABIN6738185
789,41 €
Plus frais de livraison 40,00 € et TVA
100 μL
Destination: France
Envoi sous 15 à 20 jours ouvrables
 
PDE9A Reactivité: Humain, Souris WB, IHC (p) Hôte: Lapin Polyclonal unconjugated
N° du produit ABIN5623505
1.737,94 €
Plus frais de livraison 40,00 € et TVA
100 μL
Destination: France
Envoi sous 13 à 17 jours ouvrables
 
PDE9A Reactivité: Humain ELISA Hôte: Lapin Polyclonal Biotin
N° du produit ABIN7155176
328,90 €
Plus frais de livraison 40,00 € et TVA
100 μg (Autres quantités disponibles)
Destination: France
Envoi sous 11 à 15 jours ouvrables
 
PDE9A Reactivité: Humain Hôte: Lapin Polyclonal FITC
N° du produit ABIN7155177
328,90 €
Plus frais de livraison 40,00 € et TVA
100 μg (Autres quantités disponibles)
Destination: France
Envoi sous 11 à 15 jours ouvrables
 
PDE9A Reactivité: Humain ELISA Hôte: Lapin Polyclonal HRP
N° du produit ABIN7155178
328,90 €
Plus frais de livraison 40,00 € et TVA
100 μg (Autres quantités disponibles)
Destination: France
Envoi sous 11 à 15 jours ouvrables
 
PDE9A Reactivité: Humain, Souris WB, IHC, IHC (p) Hôte: Lapin Polyclonal unconjugated
N° du produit ABIN1833495
833,74 €
Plus frais de livraison 40,00 € et TVA
100 μL
Destination: France
Envoi sous 15 à 20 jours ouvrables
 
PDE9A Reactivité: Humain, Souris, Rat ELISA, IHC, IF Hôte: Lapin Polyclonal unconjugated
N° du produit ABIN7117437
375,38 €
Plus frais de livraison 40,00 € et TVA
100 μg
Destination: France
Envoi sous 11 à 15 jours ouvrables
 
PDE9A Reactivité: Humain, Souris, Rat WB, ELISA, IHC, IF, IP, CM, ICC Hôte: Lapin Polyclonal unconjugated
Pubmed 5 références
N° du produit ABIN2750786
495,38 €
Plus frais de livraison 40,00 € et TVA
100 μg
Destination: France
Envoi sous 5 à 8 jours ouvrables
 
PDE9A Reactivité: Humain, Chien, Singe, Gibbon IHC Hôte: Lapin Polyclonal unconjugated
N° du produit ABIN2469457
800,25 €
Plus frais de livraison 40,00 € et TVA
50 μg
Destination: France
Envoi sous 6 à 9 jours ouvrables
 
PDE9A Reactivité: Humain ELISA Hôte: Lapin Polyclonal FITC
N° du produit ABIN6110731
628,83 €
Plus frais de livraison 40,00 € et TVA
100 μL (Autres quantités disponibles)
Destination: France
Envoi sous 7 à 13 jours ouvrables
 
PDE9A Reactivité: Humain WB, IF Hôte: Souris Polyclonal unconjugated
N° du produit ABIN2334721
933,96 €
Plus frais de livraison 40,00 € et TVA
50 μg
Destination: France
Envoi sous 15 à 22 jours ouvrables
 
PDE9A Reactivité: Humain WB Hôte: Lapin Polyclonal unconjugated
N° du produit ABIN2334722
1.029,25 €
Plus frais de livraison 40,00 € et TVA
100 μg
Destination: France
Envoi sous 15 à 22 jours ouvrables
 
PDE9A Reactivité: Humain, Souris, Rat WB, ELISA, IHC, IF, IP, CM, ICC Hôte: Lapin Polyclonal FITC
N° du produit ABIN2750788
567,31 €
Plus frais de livraison 40,00 € et TVA
100 μg
Destination: France
Envoi sous 5 à 8 jours ouvrables
 
PDE9A Reactivité: Humain, Souris, Rat WB, ELISA, IHC, IF, IP, CM, ICC Hôte: Lapin Polyclonal Biotin
N° du produit ABIN2750787
567,31 €
Plus frais de livraison 40,00 € et TVA
100 μg
Destination: France
Envoi sous 5 à 8 jours ouvrables
 
  • Type Primary
    • Primary
  • Application
    • Western Blotting (WB)
    • Immunohistochemistry (IHC)
    • ELISA
    • Immunofluorescence (IF)
    • Immunohistochemistry (Paraffin-embedded Sections) (IHC (p))
    • Immunoprecipitation (IP)
    • Confocal Microscopy (CM)
    • Immunocytochemistry (ICC)
    • Immunohistochemistry (Formalin-fixed Paraffin-embedded Sections) (IHC (fp))
  • Réactivité
    • Human
    • Mouse
    • Rat
    • Dog
    • Cow
    • Gibbon
    • Guinea Pig
    • Horse
    • Monkey
    • Rabbit
    • Zebrafish (Danio rerio)
  • Cité dans publications
  • Images disponible
  • Sans conservateur uniquement
  • Carrier free only
  • Hote
    • Rabbit
    • Mouse
  • Clonalité
    • Polyclonal
    • Monoclonal
  • Clone
    • 1E1
  • Epitope
    • AA 426-533
    • AA 1-533
    • AA 1-216
    • N-Term
    • AA 1-186
    • AA 136-185
    • AA 434-533
    • AA 434-534
    • Center
    • Internal Region
  • Conjugué
    • Inconjugué
    • FITC
    • Biotin
    • HRP
  • Isotype
    • IgG
    • IgG2a
    • IgG2a kappa
  • Format
    • Liquid
    • Lyophilized
  • Supplier
    • antibodies-online
    • FabGennix
    • USBio
    • Abbexa
    • Aviva Systems Biology
    • Cohesion Biosciences
    • ProSci
    • RayBiotech
    • Signalway
    • Wuhan Fine biotech

Dernières publications pour nos PDE9A Anticorps

Dhingra, Tummala, Lyubarsky, Vardi: "PDE9A is expressed in the inner retina and contributes to the normal shape of the photopic ERG waveform." dans: Frontiers in molecular neuroscience, Vol. 7, pp. 60, (2014) (PubMed).

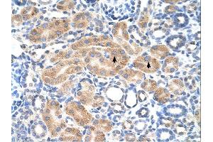
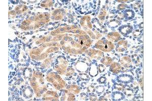
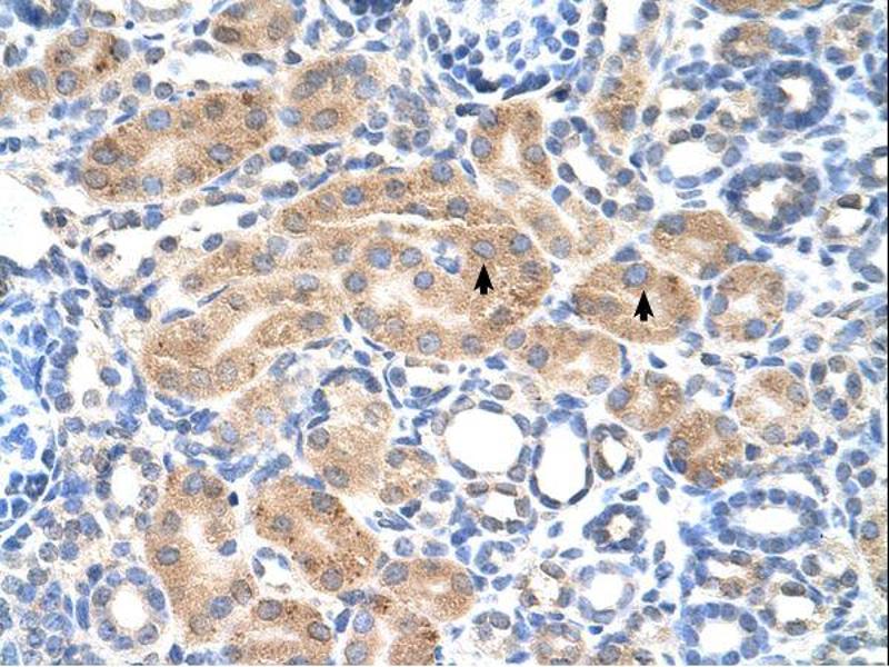
Nagasaki, Nakano, Masuda, Ono, Miki, Shibahara, Sasano: "Phosphodiesterase type 9 (PDE9) in the human lower urinary tract: an immunohistochemical study." dans: BJU international, Vol. 109, Issue 6, pp. 934-40, (2012) (PubMed).

Saito, Kitamura, Hijikata, Tomizawa-Murasawa, Tanaka, Takagi, Uchida, Suzuki, Sone, Najima, Ozawa, Wake, Taniguchi, Shultz, Ohara, Ishikawa: "Identification of therapeutic targets for quiescent, chemotherapy-resistant human leukemia stem cells." dans: Science translational medicine, Vol. 2, Issue 17, pp. 17ra9, (2010) (PubMed).

Kruse, Møller, Tibaek, Gammeltoft, Olesen, Kruuse: "PDE9A, PDE10A, and PDE11A expression in rat trigeminovascular pain signalling system." dans: Brain research, Vol. 1281, pp. 25-34, (2009) (PubMed).

Almeida, Traina, Lanaro, Canalli, Saad, Costa, Conran: "High expression of the cGMP-specific phosphodiesterase, PDE9A, in sickle cell disease (SCD) and the effects of its inhibition in erythroid cells and SCD neutrophils." dans: British journal of haematology, Vol. 142, Issue 5, pp. 836-44, (2008) (PubMed).

Baxendale, Fraser: "Mammalian sperm phosphodiesterases and their involvement in receptor-mediated cell signaling important for capacitation." dans: Molecular reproduction and development, Vol. 71, Issue 4, pp. 495-508, (2006) (PubMed).

Pseudonymes pour PDE9A Anticorps

phosphodiesterase 9A (PDE9A) Anticorps
phosphodiesterase 9A S homeolog (pde9a.S) Anticorps
phosphodiesterase 9A (Pde9a) Anticorps
high affinity cGMP-specific 3',5'-cyclic phosphodiesterase 9A (LOC100549810) Anticorps
phosphodiesterase 9A (pde9a) Anticorps
HSPDE9A2 Anticorps
MGC116558 Anticorps
PDE9A Anticorps
Pde9a Anticorps
PDE9A1 Anticorps
Vous êtes ici:
Chat with us!