Tel:
+49 (0)241 95 163 153
Fax:
+49 (0)241 95 163 155
E-Mail:
orders@anticorps-enligne.fr

PEX5 Anticorps

(Peroxisomal Biogenesis Factor 5 (PEX5))

Choisissez l’un des 47 anticorps PEX5 de notre liste de produits basés sur 16 images de validation.

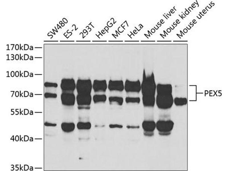
Découvrez des anticorps PEX5 fiables issus d’une large sélection de fabricants renommés. Notre portefeuille permet une détection précise de PEX5 dans plusieurs espèces, y compris Human, Mouse, Rat, Dog, Horse, Rabbit, Cow, Guinea Pig, Monkey, Pig, Hamster, et prend en charge diverses applications de recherche telles que WB, ELISA, IF (cc), IF (p), IF.

Trouvez rapidement l’anticorps adapté grâce à nos outils de recherche, de filtrage et de comparaison. Chaque page produit fournit des données de validation détaillées, des références bibliographiques et des retours d’utilisateurs. Contrairement aux ressources dédiées uniquement à la comparaison, vous pouvez acheter directement les anticorps sur notre site. Choisissez parmi des anticorps polyclonaux, monoclonaux ou recombinants PEX5, issus de différents hôtes tels que Rabbit, Mouse, Goat. Parcourez nos produits ci-dessous et commandez directement pour soutenir vos recherches en toute confiance.

Les noms alternatifs de PEX5 sont pex5, Pex5, PEX5.

47 Résultats

PEX5 Reactivité: Humain, Rat, Chien, Singe WB, IF, FACS Hôte: Souris Monoclonal 6E9 unconjugated
N° du produit ABIN1500156
806,47 €
Plus frais de livraison 40,00 € et TVA
100 μL
Destination: France
Envoi sous 15 à 20 jours ouvrables
 
PEX5 Reactivité: Humain WB, ELISA, IHC Hôte: Lapin Polyclonal unconjugated
N° du produit ABIN7162986
328,90 €
Plus frais de livraison 40,00 € et TVA
100 μg (Autres quantités disponibles)
Destination: France
Envoi sous 11 à 15 jours ouvrables
 
PEX5 Reactivité: Humain, Souris, Rat WB, ELISA, IF, ICC Hôte: Lapin Polyclonal unconjugated
N° du produit ABIN6264151
525,71 €
Plus frais de livraison 40,00 € et TVA
100 μL (Autres quantités disponibles)
Destination: France
Envoi sous 9 à 11 jours ouvrables
 
PEX5 Reactivité: Humain, Souris WB, ELISA Hôte: Lapin Polyclonal unconjugated
N° du produit ABIN3186406
377,51 €
Plus frais de livraison 40,00 € et TVA
100 μL (Autres quantités disponibles)
Destination: France
Envoi sous 8 à 10 jours ouvrables
 
PEX5 Reactivité: Humain WB, ELISA Hôte: Lapin Polyclonal unconjugated
N° du produit ABIN7185408
218,90 €
Plus frais de livraison 40,00 € et TVA
100 μg (Autres quantités disponibles)
Destination: France
Envoi sous 11 à 15 jours ouvrables
 
PEX5 Reactivité: Humain WB Hôte: Lapin Polyclonal unconjugated
N° du produit ABIN6145468
320,00 €
Plus frais de livraison 40,00 € et TVA
100 μL (Autres quantités disponibles)
Destination: France
Envoi sous 8 à 10 jours ouvrables
 
PEX5 Reactivité: Humain, Souris, Rat, Chien, Cheval, Lapin, Boeuf (Vache), Singe, Porc, Hamster WB Hôte: Lapin Polyclonal unconjugated
N° du produit ABIN6743971
789,41 €
Plus frais de livraison 40,00 € et TVA
100 μL
Destination: France
Envoi sous 15 à 20 jours ouvrables
 
PEX5 Reactivité: Humain, Souris, Rat, Chien, Cheval, Lapin, Cobaye WB Hôte: Lapin Polyclonal unconjugated
N° du produit ABIN6743970
789,41 €
Plus frais de livraison 40,00 € et TVA
100 μL
Destination: France
Envoi sous 15 à 20 jours ouvrables
 
PEX5 Reactivité: Humain, Souris, Rat WB Hôte: Lapin Polyclonal unconjugated
N° du produit ABIN630915
1.218,13 €
Plus frais de livraison 40,00 € et TVA
100 μL
Destination: France
Envoi sous 13 à 17 jours ouvrables
 
PEX5 Reactivité: Souris ELISA, IF (cc), IF (p), IHC (p), ICC, IHC (fro) Hôte: Lapin Polyclonal unconjugated
N° du produit ABIN6944504
357,70 €
Plus frais de livraison 40,00 € et TVA
100 μL
Destination: France
Envoi sous 8 à 12 jours ouvrables
 
PEX5 Reactivité: Souris ELISA, IHC (p), IHC (fro) Hôte: Lapin Polyclonal HRP
N° du produit ABIN6944503
437,53 €
Plus frais de livraison 40,00 € et TVA
100 μL
Destination: France
Envoi sous 20 à 25 jours ouvrables
 
PEX5 Reactivité: Souris ELISA, IHC (p), IHC (fro) Hôte: Lapin Polyclonal Biotin
N° du produit ABIN6944505
419,50 €
Plus frais de livraison 40,00 € et TVA
100 μL
Destination: France
Envoi sous 20 à 25 jours ouvrables
 
PEX5 Reactivité: Souris IF (cc), IF (p) Hôte: Lapin Polyclonal AbBy Fluor® 488
N° du produit ABIN6944507
426,37 €
Plus frais de livraison 40,00 € et TVA
100 μL
Destination: France
Envoi sous 20 à 25 jours ouvrables
 
PEX5 Reactivité: Souris IF (cc), IF (p) Hôte: Lapin Polyclonal AbBy Fluor® 350
N° du produit ABIN6944506
426,37 €
Plus frais de livraison 40,00 € et TVA
100 μL
Destination: France
Envoi sous 20 à 25 jours ouvrables
 
PEX5 Reactivité: Souris IF (cc), IF (p) Hôte: Lapin Polyclonal FITC
N° du produit ABIN6944517
437,53 €
Plus frais de livraison 40,00 € et TVA
100 μL
Destination: France
Envoi sous 20 à 25 jours ouvrables
 
PEX5 Reactivité: Souris IF (cc), IF (p) Hôte: Lapin Polyclonal AbBy Fluor® 750
N° du produit ABIN6944512
426,37 €
Plus frais de livraison 40,00 € et TVA
100 μL
Destination: France
Envoi sous 20 à 25 jours ouvrables
 
PEX5 Reactivité: Souris IF (cc), IF (p) Hôte: Lapin Polyclonal Cy3
N° du produit ABIN6944513
437,53 €
Plus frais de livraison 40,00 € et TVA
100 μL
Destination: France
Envoi sous 20 à 25 jours ouvrables
 
PEX5 Reactivité: Souris IF (cc), IF (p) Hôte: Lapin Polyclonal Cy5.5
N° du produit ABIN6944515
437,53 €
Plus frais de livraison 40,00 € et TVA
100 μL
Destination: France
Envoi sous 20 à 25 jours ouvrables
 
PEX5 Reactivité: Souris IF (cc), IF (p) Hôte: Lapin Polyclonal Cy7
N° du produit ABIN6944516
437,53 €
Plus frais de livraison 40,00 € et TVA
100 μL
Destination: France
Envoi sous 20 à 25 jours ouvrables
 
PEX5 Reactivité: Souris IF (cc), IF (p) Hôte: Lapin Polyclonal Cy5
N° du produit ABIN6944514
437,53 €
Plus frais de livraison 40,00 € et TVA
100 μL
Destination: France
Envoi sous 20 à 25 jours ouvrables
 
  • Type Primary
    • Primary
  • Application
    • Western Blotting (WB)
    • ELISA
    • Immunofluorescence (Cultured Cells) (IF (cc))
    • Immunofluorescence (Paraffin-embedded Sections) (IF (p))
    • Immunofluorescence (IF)
    • Immunohistochemistry (IHC)
    • Immunohistochemistry (Paraffin-embedded Sections) (IHC (p))
    • Immunohistochemistry (Frozen Sections) (IHC (fro))
    • Flow Cytometry (FACS)
    • Immunocytochemistry (ICC)
    • Immunoprecipitation (IP)
  • Réactivité
    • Human
    • Mouse
    • Rat
    • Dog
    • Horse
    • Rabbit
    • Cow
    • Guinea Pig
    • Monkey
    • Pig
    • Hamster
  • Images disponible
  • Carrier free only
  • Hote
    • Rabbit
    • Mouse
    • Goat
  • Clonalité
    • Polyclonal
    • Monoclonal
  • Clone
    • 6 E9
    • 6C4
    • 6E9
    • 6G8
  • Epitope
    • AA 51-150
    • AA 149-283
    • C-Term
    • Internal Region
    • N-Term
    • AA 179-228
    • AA 306-639
    • AA 364-631
    • AA 540-620
    • Middle Region
  • Conjugué
    • Inconjugué
    • Biotin
    • FITC
    • HRP
    • AbBy Fluor® 350
    • AbBy Fluor® 488
    • AbBy Fluor® 555
    • AbBy Fluor® 594
    • AbBy Fluor® 647
    • AbBy Fluor® 680
    • AbBy Fluor® 750
    • Alexa Fluor 488
    • Alexa Fluor 555
    • Alexa Fluor 594
    • Alexa Fluor 647
    • Alexa Fluor 680
    • Alexa Fluor 750
    • Cy3
    • Cy5
    • Cy5.5
    • Cy7
    • PE
  • Isotype
    • IgG
    • IgG1
    • IgG2a
    • IgG2b
  • Format
    • Liquid
    • Lyophilized
  • Grade
    • Verified
  • Supplier
    • antibodies-online
    • Signalway
    • Aviva Systems Biology
    • Abbexa
    • ProteoGenix
    • Wuhan Fine biotech

Dernières publications pour nos PEX5 Anticorps

Alencastre, Rodrigues, Grou, Fransen, Sá-Miranda, Azevedo: "Mapping the cargo protein membrane translocation step into the PEX5 cycling pathway." dans: The Journal of biological chemistry, Vol. 284, Issue 40, pp. 27243-51, (2009) (PubMed).

Baumgart, Vanhorebeek, Grabenbauer, Borgers, Declercq, Fahimi, Baes: "Mitochondrial alterations caused by defective peroxisomal biogenesis in a mouse model for Zellweger syndrome (PEX5 knockout mouse)." dans: The American journal of pathology, Vol. 159, Issue 4, pp. 1477-94, (2001) (PubMed).

Chang, Warren, Sacksteder, Gould: "PEX12 interacts with PEX5 and PEX10 and acts downstream of receptor docking in peroxisomal matrix protein import." dans: The Journal of cell biology, Vol. 147, Issue 4, pp. 761-74, (1999) (PubMed).

Schliebs, Saidowsky, Agianian, Dodt, Herberg, Kunau: "Recombinant human peroxisomal targeting signal receptor PEX5. Structural basis for interaction of PEX5 with PEX14." dans: The Journal of biological chemistry, Vol. 274, Issue 9, pp. 5666-73, (1999) (PubMed).

Baes, Gressens, Baumgart, Carmeliet, Casteels, Fransen, Evrard, Fahimi, Declercq, Collen, van Veldhoven, Mannaerts: "A mouse model for Zellweger syndrome." dans: Nature genetics, Vol. 17, Issue 1, pp. 49-57, (1997) (PubMed).

Pseudonymes pour PEX5 Anticorps

peroxisomal biogenesis factor 5 (pex5) Anticorps
peroxisomal biogenesis factor 5 (Pex5) Anticorps
peroxisomal biogenesis factor 5 (PEX5) Anticorps
AW212715 Anticorps
ESTM1 Anticorps
PBD2A Anticorps
PBD2B Anticorps
Peroxin-5 Anticorps
PTS1-BP Anticorps
PTS1R Anticorps
Pxr1 Anticorps
PXR1 Anticorps
X83306 Anticorps
Vous êtes ici:
Chat with us!