Tel:
+49 (0)241 95 163 153
Fax:
+49 (0)241 95 163 155
E-Mail:
orders@anticorps-enligne.fr

REEP6 Anticorps

(Receptor Accessory Protein 6 (REEP6))

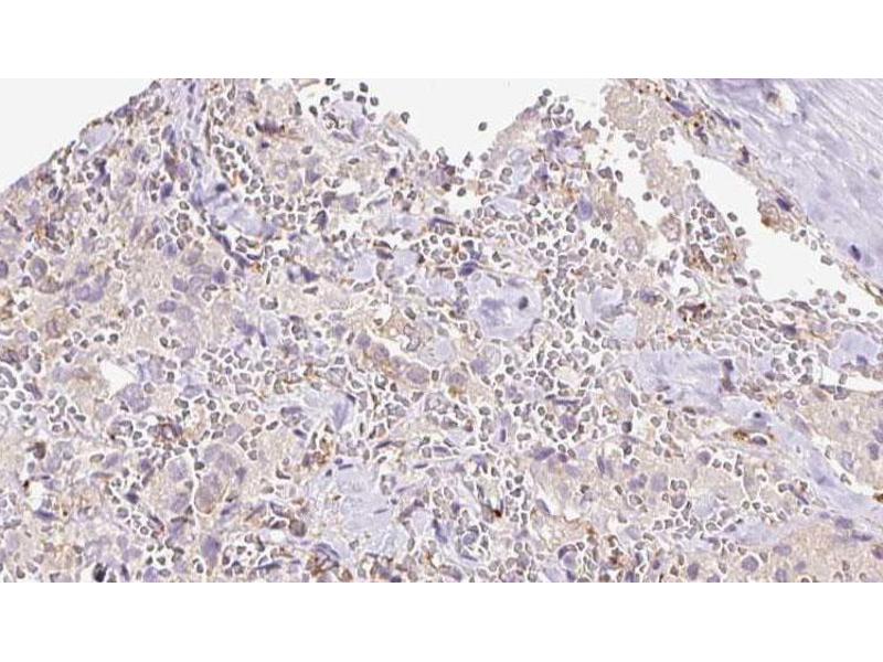
Choisissez l’un des 5 anticorps REEP6 de notre liste de produits basés sur 2 images de validation.

Découvrez des anticorps REEP6 fiables issus d’une large sélection de fabricants renommés. Notre portefeuille permet une détection précise de REEP6 dans plusieurs espèces, y compris Human, Mouse, Rat, et prend en charge diverses applications de recherche telles que WB, IHC, ELISA, IF.

Trouvez rapidement l’anticorps adapté grâce à nos outils de recherche, de filtrage et de comparaison. Chaque page produit fournit des données de validation détaillées, des références bibliographiques et des retours d’utilisateurs. Contrairement aux ressources dédiées uniquement à la comparaison, vous pouvez acheter directement les anticorps sur notre site. Choisissez parmi des anticorps polyclonaux, monoclonaux ou recombinants REEP6, issus de différents hôtes tels que Rabbit. Parcourez nos produits ci-dessous et commandez directement pour soutenir vos recherches en toute confiance.

Les noms alternatifs de REEP6 sont REEP6, Reep6.

5 Résultats

REEP6 Reactivité: Humain, Souris, Rat WB, IHC Hôte: Lapin Polyclonal unconjugated
N° du produit ABIN6264687
525,71 €
Plus frais de livraison 40,00 € et TVA
100 μL (Autres quantités disponibles)
Destination: France
Envoi sous 9 à 11 jours ouvrables
 
REEP6 Reactivité: Humain WB, IHC, ELISA Hôte: Lapin Polyclonal unconjugated
N° du produit ABIN7136246
660,00 €
Plus frais de livraison 40,00 € et TVA
100 μL
Destination: France
Envoi sous 11 à 15 jours ouvrables
 
REEP6 Reactivité: Humain WB Hôte: Lapin Polyclonal unconjugated
N° du produit ABIN6753655
789,41 €
Plus frais de livraison 40,00 € et TVA
100 μL
Destination: France
Envoi sous 15 à 20 jours ouvrables
 
REEP6 Reactivité: Humain, Souris, Rat WB, IHC, ELISA, IF Hôte: Lapin Polyclonal unconjugated
N° du produit ABIN7118344
393,85 €
Plus frais de livraison 40,00 € et TVA
100 μg
Destination: France
Envoi sous 11 à 15 jours ouvrables
 
REEP6 Reactivité: Humain, Souris, Rat WB Hôte: Lapin Polyclonal unconjugated
N° du produit ABIN7843646
480,77 €
Plus frais de livraison 40,00 € et TVA
200 μL
Destination: France
Envoi sous 8 à 10 jours ouvrables
 
  • Type Primary
    • Primary
  • Application
    • Western Blotting (WB)
    • Immunohistochemistry (IHC)
    • ELISA
    • Immunofluorescence (IF)
  • Réactivité
    • Human
    • Mouse
    • Rat
  • Images disponible
  • Hote
    • Rabbit
  • Clonalité
    • Polyclonal
  • Epitope
    • AA 135-184
    • C-Term
    • Center
  • Conjugué
    • Inconjugué
  • Isotype
    • IgG
  • Format
    • Liquid
    • Lyophilized
  • Supplier
    • antibodies-online
    • Cohesion Biosciences

Pseudonymes pour REEP6 Anticorps

receptor accessory protein 6 (REEP6) Anticorps
receptor accessory protein 6 (Reep6) Anticorps
0610011M24Rik Anticorps
C19orf32 Anticorps
DP1L1 Anticorps
Dp1l1 Anticorps
TB2L1 Anticorps
Vous êtes ici:
Chat with us!