Tel:
+49 (0)241 95 163 153
Fax:
+49 (0)241 95 163 155
E-Mail:
orders@anticorps-enligne.fr

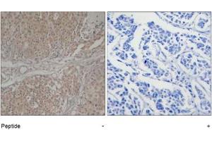
SMAD, Mothers Against DPP Homolog 3 Anticorps

(SMAD, Mothers Against DPP Homolog 3 (SMAD3))

Choisissez l’un des 275 anticorps SMAD3 de notre liste de produits basés sur 55 publications et 196 images de validation.

Découvrez des anticorps SMAD3 fiables issus d’une large sélection de fabricants renommés. Notre portefeuille permet une détection précise de SMAD3 dans plusieurs espèces, y compris Human, Mouse, Rat, Pig, Chicken, Monkey, Dog, Sheep, Zebrafish (Danio rerio), Cow, Horse, Xenopus laevis, Guinea Pig, Rabbit, Chimpanzee, Fish, Hamster, et prend en charge diverses applications de recherche telles que WB, IHC, ELISA, FACS, IF.

Trouvez rapidement l’anticorps adapté grâce à nos outils de recherche, de filtrage et de comparaison. Chaque page produit fournit des données de validation détaillées, des références bibliographiques et des retours d’utilisateurs. Contrairement aux ressources dédiées uniquement à la comparaison, vous pouvez acheter directement les anticorps sur notre site. Choisissez parmi des anticorps polyclonaux, monoclonaux ou recombinants SMAD3, issus de différents hôtes tels que Rabbit, Mouse, Human. Parcourez nos produits ci-dessous et commandez directement pour soutenir vos recherches en toute confiance.

Les noms alternatifs de SMAD3 sont SMAD3, smad3a, smad3.L, Smad3, smad3b.

275 Résultats

SMAD3 Reactivité: Humain ELISA, IF, DB Hôte: Lapin Polyclonal unconjugated
N° du produit ABIN3032625
631,13 €
Plus frais de livraison 40,00 € et TVA
0.4 mL (Autres quantités disponibles)
Destination: France
Envoi sous 6 à 9 jours ouvrables
 
SMAD3 Reactivité: Souris, Rat WB, ELISA Hôte: Lapin Polyclonal unconjugated
N° du produit ABIN3032622
631,13 €
Plus frais de livraison 40,00 € et TVA
0.4 mL (Autres quantités disponibles)
Destination: France
Envoi sous 6 à 9 jours ouvrables
 
SMAD3 Reactivité: Humain WB Hôte: Lapin Polyclonal unconjugated
Pubmed 4 références
N° du produit ABIN3043340
500,50 €
Plus frais de livraison 40,00 € et TVA
100 μg
Destination: France
Envoi sous 8 à 12 jours ouvrables
 
SMAD3 Reactivité: Humain, Souris, Rat IHC (p) Hôte: Souris Monoclonal 4C5 unconjugated
N° du produit ABIN7250986
449,00 €
Plus frais de livraison 40,00 € et TVA
200 μL (Autres quantités disponibles)
Destination: France
Envoi sous 9 à 13 jours ouvrables
 
SMAD3 Reactivité: Rat WB Hôte: Lapin Polyclonal RB51140 unconjugated
N° du produit ABIN6242558
434,77 €
Plus frais de livraison 40,00 € et TVA
400 μL (Autres quantités disponibles)
Destination: France
Envoi sous 14 à 17 jours ouvrables
 
SMAD3 Reactivité: Souris, Rat WB Hôte: Lapin Polyclonal RB52345 unconjugated
N° du produit ABIN6242557
434,77 €
Plus frais de livraison 40,00 € et TVA
400 μL (Autres quantités disponibles)
Destination: France
Envoi sous 14 à 17 jours ouvrables
 
SMAD3 Reactivité: Humain, Souris, Rat WB, ELISA, IHC (p), FACS, ICC, IF (cc), IF (p), IHC (fro) Hôte: Lapin Polyclonal unconjugated
Pubmed 1 reference
N° du produit ABIN5608745
357,70 €
Plus frais de livraison 40,00 € et TVA
100 μL
Destination: France
Envoi sous 8 à 12 jours ouvrables
 
SMAD3 Reactivité: Souris WB, IHC, ICC, IP Hôte: Lapin Polyclonal unconjugated
N° du produit ABIN7437308
317,29 €
Plus frais de livraison 40,00 € et TVA
100 μL (Autres quantités disponibles)
Destination: France
Envoi sous 11 à 15 jours ouvrables
 
SMAD3 Reactivité: Humain WB, ELISA Hôte: Souris Monoclonal 2F1 unconjugated
N° du produit ABIN517630
651,20 €
Plus frais de livraison 40,00 € et TVA
100 μg
Destination: France
Envoi sous 8 à 9 jours ouvrables
 
SMAD3 Reactivité: Humain WB Hôte: Lapin Polyclonal unconjugated
N° du produit ABIN948094
636,80 €
Plus frais de livraison 40,00 € et TVA
100 μg
Destination: France
Envoi sous 8 à 9 jours ouvrables
 
SMAD3 Reactivité: Humain, Souris, Rat WB, ELISA, IHC (p), FACS, ICC, IF (cc), IF (p), IHC (fro) Hôte: Lapin Polyclonal unconjugated
Pubmed 1 reference
N° du produit ABIN712226
357,70 €
Plus frais de livraison 40,00 € et TVA
100 μL
Destination: France
Envoi sous 8 à 12 jours ouvrables
 
SMAD3 Reactivité: Humain WB, ELISA Hôte: Lapin Polyclonal unconjugated
N° du produit ABIN7160233
328,90 €
Plus frais de livraison 40,00 € et TVA
100 μg (Autres quantités disponibles)
Destination: France
Envoi sous 11 à 15 jours ouvrables
 
SMAD3 Reactivité: Humain, Souris, Rat WB, IHC, ELISA Hôte: Lapin Polyclonal unconjugated
N° du produit ABIN1531200
402,00 €
Plus frais de livraison 40,00 € et TVA
100 μL (Autres quantités disponibles)
Destination: France
Envoi sous 6 à 9 jours ouvrables
 
SMAD3 Reactivité: Souris, Rat WB, ELISA Hôte: Lapin Polyclonal unconjugated
N° du produit ABIN3032623
631,13 €
Plus frais de livraison 40,00 € et TVA
0.4 mL (Autres quantités disponibles)
Destination: France
Envoi sous 6 à 9 jours ouvrables
 
SMAD3 Reactivité: Rat WB, ELISA Hôte: Lapin Polyclonal unconjugated
N° du produit ABIN3032624
631,13 €
Plus frais de livraison 40,00 € et TVA
0.4 mL (Autres quantités disponibles)
Destination: France
Envoi sous 6 à 9 jours ouvrables
 
SMAD3 Reactivité: Humain, Souris, Rat IF, IHC (p) Hôte: Lapin Polyclonal unconjugated
N° du produit ABIN319357
606,15 €
Plus frais de livraison 40,00 € et TVA
0.1 mL (Autres quantités disponibles)
Destination: France
Envoi sous 17 jours ouvrables
 
SMAD3 Reactivité: Humain, Souris, Rat IHC (p) Hôte: Lapin Polyclonal unconjugated
N° du produit ABIN319359
606,15 €
Plus frais de livraison 40,00 € et TVA
0.1 mL (Autres quantités disponibles)
Destination: France
Envoi sous 17 jours ouvrables
 
SMAD3 Reactivité: Humain WB, IHC (p), EIA Hôte: Lapin Polyclonal unconjugated
N° du produit ABIN358225
870,77 €
Plus frais de livraison 40,00 € et TVA
0.4 mL
Destination: France
Envoi sous 17 jours ouvrables
 
SMAD3 Reactivité: Humain WB, IHC (p), EIA Hôte: Lapin Polyclonal unconjugated
N° du produit ABIN358226
870,77 €
Plus frais de livraison 40,00 € et TVA
0.4 mL
Destination: France
Envoi sous 17 jours ouvrables
 
SMAD3 Reactivité: Humain, Souris, Rat WB, IHC, ELISA Hôte: Lapin Polyclonal unconjugated
N° du produit ABIN1531633
402,00 €
Plus frais de livraison 40,00 € et TVA
100 μL (Autres quantités disponibles)
Destination: France
Envoi sous 6 à 9 jours ouvrables
 
  • Type Primary
    • Primary
  • Application
    • Western Blotting (WB)
    • Immunohistochemistry (IHC)
    • ELISA
    • Flow Cytometry (FACS)
    • Immunofluorescence (IF)
    • Immunocytochemistry (ICC)
    • Immunofluorescence (Cultured Cells) (IF (cc))
    • Immunofluorescence (Paraffin-embedded Sections) (IF (p))
    • Immunohistochemistry (Paraffin-embedded Sections) (IHC (p))
    • Immunoprecipitation (IP)
    • Immunohistochemistry (Frozen Sections) (IHC (fro))
    • Dot Blot (DB)
    • Enzyme Immunoassay (EIA)
    • Immunochromatography (IC)
    • Proximity Ligation Assay (PLA)
    • Immunofluorescence (fixed cells) (IF/ICC)
  • Réactivité
    • Human
    • Mouse
    • Rat
    • Pig
    • Chicken
    • Monkey
    • Dog
    • Sheep
    • Zebrafish (Danio rerio)
    • Cow
    • Horse
    • Xenopus laevis
    • Guinea Pig
    • Rabbit
    • Chimpanzee
    • Fish
    • Hamster
  • Cité dans publications
  • Images disponible
  • Sans conservateur uniquement
  • Carrier free only
  • Hote
    • Rabbit
    • Mouse
    • Human
  • Clonalité
    • Polyclonal
    • Monoclonal
  • Clone
    • SR1995
    • ST0493
    • 2C12
    • 7F3
    • 5G11
    • C4
    • 1A1
    • 1C11
    • 25GB3215
    • 2F1
    • 2G4
    • 3D1
    • 4C5
    • 4C9
    • 4D5
    • 4F9
    • 4G12
    • 5A11
    • 5C5
    • 7H62
    • AF9F7
    • AHO-19
    • BLR144J
    • FG-19
    • RB24758
    • RB29526
    • RB31592-RB31594
    • RB33630
    • RB51140
    • RB51471
    • RB52345
    • SH544-IIC4
  • Epitope
    • pSer425
    • pSer423
    • pSer208
    • pThr179
    • pSer213
    • pSer204
    • AA 186-215
    • AA 127-156
    • AA 120-221
    • AA 231-425
    • Ser208
    • AA 1-425
    • Internal Region
    • AA 1-110
    • AA 147-270
    • AA 371-425
    • C-Term
    • Ser425
    • AA 120-222
    • AA 157-191
    • AA 186-219
    • AA 188-222
    • AA 193-222
    • AA 31-141
    • Center
    • Met200
    • N-Term
    • Ser204
    • Ser213
    • Thr179
    • AA 1-230
    • AA 1-284
    • AA 100-150
    • AA 126-156
    • AA 145-194
    • AA 170-219
    • AA 174-223
    • AA 179-228
    • AA 200-250
    • AA 206-210
    • AA 220-425
    • AA 350-430
    • AA 376-425
    • AA 417-425
    • AA 423-427
    • Asn175
    • Linker Domain
    • Middle Region
    • Pro209
    • Pro417
    Please use search to find more...
  • Conjugué
    • Inconjugué
    • Biotin
    • FITC
    • HRP
    • PE
    • APC
    • Alexa Fluor 488
    • Alexa Fluor 555
    • Alexa Fluor 594
    • Alexa Fluor 647
    • Alexa Fluor 680
    • Alexa Fluor 750
    • AbBy Fluor® 350
    • AbBy Fluor® 488
    • AbBy Fluor® 555
    • AbBy Fluor® 594
    • AbBy Fluor® 647
    • AbBy Fluor® 680
    • AbBy Fluor® 750
    • Cy3
    • Cy5
    • Cy5.5
    • Cy7
    • Alexa Fluor 350
    • Alexa Fluor 405
  • Isotype
    • IgG
    • Ig Fraction
    • IgG1
    • IgG2a
    • IgG2a kappa
    • IgG2b
    • kappa
    • IgG1 kappa
    • IgG2b kappa
  • Type Proteine
    • Recombinant Antibody
  • Format
    • Liquid
    • Lyophilized
  • Grade
    • KO Validated
  • Supplier
    • antibodies-online
    • Signalway
    • Cohesion Biosciences
    • USBio
    • Acris
    • NSJ Bioreagents
    • Rockland
    • Assay Biotechnology Company, Inc.
    • Abbexa
    • Boster Bio
    • Aviva Systems Biology
    • Biomatik
    • CUSABIO
    • Elabscience
    • ProSci
    • ProteoGenix

Dernières publications pour nos SMAD, Mothers Against DPP Homolog 3 Anticorps

Hutchinson, Darling, Nicolaou, Gori, Squair, Cohen, Hill, Sapkota: "Salt-inducible kinases (SIKs) regulate TGFβ-mediated transcriptional and apoptotic responses." dans: Cell death & disease, Vol. 11, Issue 1, pp. 49, (2020) (PubMed).

Stappenbeck, Wang, Tang, Zhang, Parhami: "Inhibition of Non-Small Cell Lung Cancer Cells by Oxy210, an Oxysterol-Derivative that Antagonizes TGFβ and Hedgehog Signaling." dans: Cells, Vol. 8, Issue 10, (2020) (PubMed).

Feng, Tang, Huang, Sun, You, Xiao, Lv, Xu, Lan: "TGF-β Mediates Renal Fibrosis via the Smad3-Erbb4-IR Long Noncoding RNA Axis." dans: Molecular therapy : the journal of the American Society of Gene Therapy, Vol. 26, Issue 1, pp. 148-161, (2019) (PubMed).

Subramanian, Kanzaki, Galloway, Schilling: "Mechanical force regulates tendon extracellular matrix organization and tenocyte morphogenesis through TGFbeta signaling." dans: eLife, Vol. 7, (2019) (PubMed).

Gao, Kanasaki, Li, Kitada, Okazaki, Koya: "βklotho is essential for the anti-endothelial mesenchymal transition effects of N-acetyl-seryl-aspartyl-lysyl-proline." dans: FEBS open bio, Vol. 9, Issue 5, pp. 1029-1038, (2019) (PubMed).

Katsuno, Meyer, Zhang, Shokat, Akhurst, Miyazono, Derynck: "Chronic TGF-β exposure drives stabilized EMT, tumor stemness, and cancer drug resistance with vulnerability to bitopic mTOR inhibition." dans: Science signaling, Vol. 12, Issue 570, (2019) (PubMed).

Ren, Li, Xia, Guo, Zhai, Jin, Che, Gao, Duan, Ma, Huang, Huang, Lei: "Arginine inhibits the malignant transformation induced by interferon-gamma through the NF-κB-GCN2/eIF2α signaling pathway in mammary epithelial cells in vitro and in vivo." dans: Experimental cell research, Vol. 368, Issue 2, pp. 236-247, (2018) (PubMed).

Zhao, Wu, Chen, Ji, Zheng: "TGF-β1 and connexin-43 expression in neurogenic bladder from rats with sacral spinal cord injury." dans: Neurourology and urodynamics, (2018) (PubMed).

Shao, Song, Hua, Zhang, Sun, Kong, Wang, Luo, Jiang: "Gamma synuclein is a novel Twist1 target that promotes TGF-β-induced cancer cell migration and invasion." dans: Cell death & disease, Vol. 9, Issue 6, pp. 625, (2018) (PubMed).

Xing, Yu, Zhang, Luo, Lei, Huang, Lin, Huang, Huang, Nong, Zhou, Wei et al.: "Isoviolanthin Extracted from Dendrobium officinale Reverses TGF-β1-Mediated Epithelial⁻Mesenchymal Transition in Hepatocellular Carcinoma Cells via Deactivating the TGF-β/Smad and PI3K/Akt/mTOR ..." dans: International journal of molecular sciences, Vol. 19, Issue 6, (2018) (PubMed).

Pseudonymes pour SMAD, Mothers Against DPP Homolog 3 Anticorps

SMAD family member 3 (SMAD3) Anticorps
SMAD family member 3a (smad3a) Anticorps
SMAD family member 3 L homeolog (smad3.L) Anticorps
SMAD family member 3 (Smad3) Anticorps
SMAD family member 3b (smad3b) Anticorps
AU022421 Anticorps
HSPC193 Anticorps
HsT17436 Anticorps
JV15-2 Anticorps
LDS1C Anticorps
LDS3 Anticorps
mad3 Anticorps
MADH3 Anticorps
madh3 Anticorps
Madh3 Anticorps
madh3-A Anticorps
madh3a Anticorps
madh3b Anticorps
smad3 Anticorps
Smad 3 Anticorps
wu:fa99e03 Anticorps
XenMLP Anticorps
Xmad3 Anticorps
XSmad3 Anticorps
zgc:92234 Anticorps
Vous êtes ici:
Chat with us!