Tel:
+49 (0)241 95 163 153
Fax:
+49 (0)241 95 163 155
E-Mail:
orders@anticorps-enligne.fr

SMARCA2 Anticorps

(SWI/SNF Related, Matrix Associated, Actin Dependent Regulator of Chromatin, Subfamily A, Member 2 (SMARCA2))

Choisissez l’un des 59 anticorps SMARCA2 de notre liste de produits basés sur 3 publications et 37 images de validation.

Découvrez des anticorps SMARCA2 fiables issus d’une large sélection de fabricants renommés. Notre portefeuille permet une détection précise de SMARCA2 dans plusieurs espèces, y compris Human, Mouse, Rat, Dog, Cow, Rabbit, Zebrafish (Danio rerio), Chicken, Guinea Pig, Horse, Monkey, Pig, Xenopus laevis, Bat, Hamster, et prend en charge diverses applications de recherche telles que WB, IHC, ICC, ELISA, IF.

Trouvez rapidement l’anticorps adapté grâce à nos outils de recherche, de filtrage et de comparaison. Chaque page produit fournit des données de validation détaillées, des références bibliographiques et des retours d’utilisateurs. Contrairement aux ressources dédiées uniquement à la comparaison, vous pouvez acheter directement les anticorps sur notre site. Choisissez parmi des anticorps polyclonaux, monoclonaux ou recombinants SMARCA2, issus de différents hôtes tels que Rabbit, Mouse, Goat. Parcourez nos produits ci-dessous et commandez directement pour soutenir vos recherches en toute confiance.

Les noms alternatifs de SMARCA2 sont SMARCA2, smarca2.L, Smarca2, smarca2.

59 Résultats

SMARCA2 Reactivité: Humain, Souris, Rat, Chien, Poulet WB, IHC, IF, IP Hôte: Souris Monoclonal 24-BRM unconjugated
Pubmed 3 références
N° du produit ABIN967939
297,28 €
Plus frais de livraison 40,00 € et TVA
150 μg
Destination: France
Envoi sous 12 à 15 jours ouvrables
 
SMARCA2 Reactivité: Humain WB, ELISA, IF Hôte: Souris Monoclonal 2D12 unconjugated
N° du produit ABIN520280
651,20 €
Plus frais de livraison 40,00 € et TVA
100 μg
Destination: France
Envoi sous 8 à 9 jours ouvrables
 
SMARCA2 Reactivité: Humain ELISA, IHC, ChIP Hôte: Lapin Polyclonal unconjugated
N° du produit ABIN7164521
328,90 €
Plus frais de livraison 40,00 € et TVA
100 μg (Autres quantités disponibles)
Destination: France
Envoi sous 11 à 15 jours ouvrables
 
SMARCA2 Reactivité: Humain IHC Hôte: Lapin Monoclonal HMV337 unconjugated Recombinant Antibody
N° du produit ABIN7826144
348,46 €
Plus frais de livraison 40,00 € et TVA
100 μL (Autres quantités disponibles)
Destination: France
Envoi sous 3 à 5 jours ouvrables
 
SMARCA2 Reactivité: Humain, Souris WB, ICC, IF, ChIP Hôte: Rat Monoclonal 1H7A10 unconjugated
N° du produit ABIN6972733
663,08 €
Plus frais de livraison 40,00 € et TVA
100 μg
Destination: France
Envoi sous 2 à 4 jours ouvrables
 
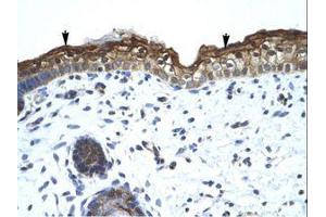
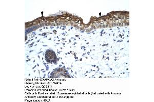
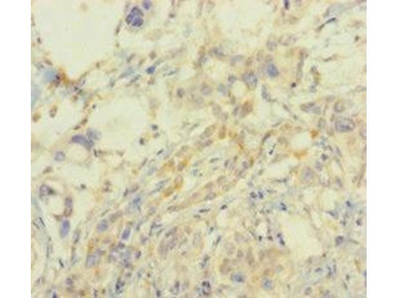
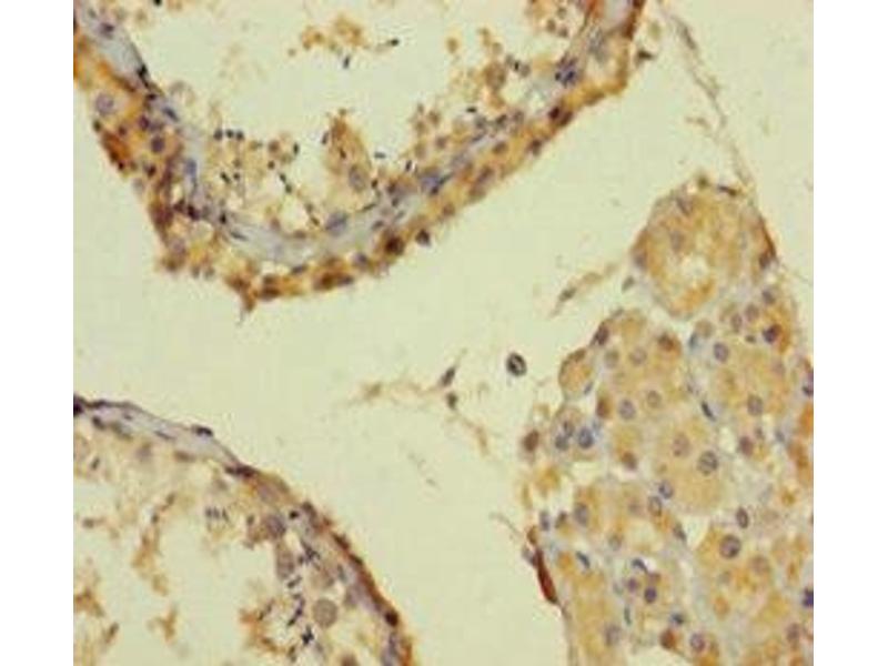
SMARCA2 Reactivité: Humain, Souris, Rat, Boeuf (Vache), Chien, Lapin, Cobaye, Cheval, Poisson zèbre (Danio rerio), Singe, Poulet, Porc, Xenopus laevis, Roussette (Chauve-souris), Hamster WB, IHC, IHC (p) Hôte: Lapin Polyclonal unconjugated
N° du produit ABIN6736031
789,41 €
Plus frais de livraison 40,00 € et TVA
100 μL
Destination: France
Envoi sous 15 à 20 jours ouvrables
 
SMARCA2 Reactivité: Humain, Souris, Rat, Boeuf (Vache), Chien, Poisson zèbre (Danio rerio), Poulet, Xenopus laevis WB, IHC Hôte: Lapin Polyclonal unconjugated
N° du produit ABIN927492
1.218,13 €
Plus frais de livraison 40,00 € et TVA
100 μL
Destination: France
Envoi sous 20 à 27 jours ouvrables
 
SMARCA2 Reactivité: Humain WB, FACS Hôte: Lapin Monoclonal 24GB13810 unconjugated Recombinant Antibody
N° du produit ABIN7800475
394,31 €
Plus frais de livraison 40,00 € et TVA
100 μL
Destination: France
Envoi sous 7 à 10 jours ouvrables
 
SMARCA2 Reactivité: Humain, Souris, Rat WB, ELISA, IHC, ICC, IF, FACS Hôte: Lapin Polyclonal unconjugated
N° du produit ABIN7601969
500,50 €
Plus frais de livraison 40,00 € et TVA
100 μg
Destination: France
Envoi sous 8 à 12 jours ouvrables
 
SMARCA2 Reactivité: Humain, Souris, Rat WB, ELISA Hôte: Lapin Polyclonal unconjugated
N° du produit ABIN3187607
377,51 €
Plus frais de livraison 40,00 € et TVA
100 μL (Autres quantités disponibles)
Destination: France
Envoi sous 8 à 10 jours ouvrables
 
SMARCA2 Reactivité: Humain WB, ELISA Hôte: Souris Polyclonal unconjugated
N° du produit ABIN562908
508,80 €
Plus frais de livraison 40,00 € et TVA
50 μL
Destination: France
Envoi sous 8 à 9 jours ouvrables
 
SMARCA2 Reactivité: Humain, Souris, Rat WB, ELISA Hôte: Lapin Polyclonal unconjugated
N° du produit ABIN6260316
525,71 €
Plus frais de livraison 40,00 € et TVA
100 μL (Autres quantités disponibles)
Destination: France
Envoi sous 9 à 11 jours ouvrables
 
SMARCA2 Reactivité: Humain, Souris, Rat, Boeuf (Vache), Chien, Lapin, Cobaye, Cheval, Poisson zèbre (Danio rerio) WB, IHC Hôte: Lapin Polyclonal unconjugated
N° du produit ABIN2775822
534,11 €
Plus frais de livraison 40,00 € et TVA
100 μL (Autres quantités disponibles)
Destination: France
Envoi sous 6 à 9 jours ouvrables
 
SMARCA2 Reactivité: Humain WB, ICC, IF, FACS Hôte: Souris Monoclonal 3G3 unconjugated
N° du produit ABIN7600365
500,50 €
Plus frais de livraison 40,00 € et TVA
100 μg
Destination: France
Envoi sous 8 à 12 jours ouvrables
 
SMARCA2 Reactivité: Humain WB, ICC, IF Hôte: Souris Monoclonal 4E8 unconjugated
N° du produit ABIN7600366
500,50 €
Plus frais de livraison 40,00 € et TVA
100 μg
Destination: France
Envoi sous 8 à 12 jours ouvrables
 
SMARCA2 Reactivité: Humain WB, ICC, IF, IHC (p) Hôte: Lapin Monoclonal unconjugated Recombinant Antibody
N° du produit ABIN7540761
877,50 €
Plus frais de livraison 40,00 € et TVA
100 μL
Destination: France
Envoi sous 8 à 9 jours ouvrables
 
SMARCA2 Reactivité: Humain, Souris, Rat WB, ELISA Hôte: Lapin Polyclonal unconjugated
N° du produit ABIN7217630
623,62 €
Plus frais de livraison 40,00 € et TVA
100 μL (Autres quantités disponibles)
Destination: France
Envoi sous 10 à 14 jours ouvrables
 
Verified SMARCA2 Reactivité: Humain ELISA, IF Hôte: Chèvre Polyclonal unconjugated
N° du produit ABIN7013857
488,25 €
Plus frais de livraison 40,00 € et TVA
100 μg
Destination: France
Envoi sous 5 à 8 jours ouvrables
 
SMARCA2 Reactivité: Humain WB, ICC, IF, IHC (p) Hôte: Lapin Polyclonal unconjugated
N° du produit ABIN7464211
765,00 €
Plus frais de livraison 40,00 € et TVA
100 μL
Destination: France
Envoi sous 7 à 10 jours ouvrables
 
SMARCA2 Reactivité: Humain WB, IHC (p) Hôte: Lapin Monoclonal R02-3E2 unconjugated
N° du produit ABIN7384396
210,00 €
Plus frais de livraison 40,00 € et TVA
50 μL
Destination: France
Envoi sous 9 à 13 jours ouvrables
 
  • Type Primary
    • Primary
  • Application
    • Western Blotting (WB)
    • Immunohistochemistry (IHC)
    • Immunocytochemistry (ICC)
    • ELISA
    • Immunofluorescence (IF)
    • Flow Cytometry (FACS)
    • Immunoprecipitation (IP)
    • Immunohistochemistry (Paraffin-embedded Sections) (IHC (p))
    • Chromatin Immunoprecipitation (ChIP)
  • Réactivité
    • Human
    • Mouse
    • Rat
    • Dog
    • Cow
    • Rabbit
    • Zebrafish (Danio rerio)
    • Chicken
    • Guinea Pig
    • Horse
    • Monkey
    • Pig
    • Xenopus laevis
    • Bat
    • Hamster
  • Cité dans publications
  • Images disponible
  • Carrier free only
  • Hote
    • Rabbit
    • Mouse
    • Goat
    • Rat
  • Clonalité
    • Polyclonal
    • Monoclonal
  • Clone
    • 2D12
    • BLR301M
    • BLR302M
    • 1H7A10
    • 24-BRM
    • 24GB13810
    • 3G3
    • 4E8
    • A624
    • HMV337
    • R02-3E2
    • SAA0257
  • Epitope
    • AA 700-1216
    • AA 1325-1375
    • AA 100-150
    • AA 181-624
    • Internal Region
    • AA 1-50
    • AA 659-735
    • Middle Region
    • N-Term
    • AA 1328-1377
    • AA 1387-1432
    • AA 1400-1586
    • AA 48-214
    • AA 53-1405
    • AA 58-107
    • AA 659-736
    • AA 68-117
    • C-Term
    • Center
    • Gly264
  • Conjugué
    • Inconjugué
    • Alexa Fluor 488
    • Alexa Fluor 555
    • Alexa Fluor 594
    • Alexa Fluor 647
    • Alexa Fluor 680
    • Alexa Fluor 750
    • Biotin
    • FITC
    • Alexa Fluor 350
    • Alexa Fluor 405
    • HRP
  • Isotype
    • IgG
    • IgG2a
    • IgG1
    • IgG2a kappa
    • IgG2b
    • kappa
  • Type Proteine
    • Recombinant Antibody
  • Format
    • Liquid
    • Lyophilized
  • Grade
    • Verified
  • Supplier
    • antibodies-online
    • Signalway
    • Boster Bio
    • Aviva Systems Biology
    • Assay Biotechnology Company, Inc.
    • BD Biosciences
    • CUSABIO
    • Cohesion Biosciences
    • ProSci
    • ProteoGenix
    • USBio

Dernières publications pour nos SMARCA2 Anticorps

Jelinic, Schlappe, Conlon, Tseng, Olvera, Dao, Mueller, Hussein, Soslow, Levine: "Concomitant loss of SMARCA2 and SMARCA4 expression in small cell carcinoma of the ovary, hypercalcemic type." dans: Modern pathology : an official journal of the United States and Canadian Academy of Pathology, Inc, Vol. 29, Issue 1, pp. 60-6, (2015) (PubMed).

Van Houdt, Nowakowska, Sousa, van Schaik, Seuntjens, Avonce, Sifrim, Abdul-Rahman, van den Boogaard, Bottani, Castori, Cormier-Daire, Deardorff, Filges, Fryer, Fryns, Gana, Garavelli et al.: "Heterozygous missense mutations in SMARCA2 cause Nicolaides-Baraitser syndrome. ..." dans: Nature genetics, Vol. 44, Issue 4, pp. 445-9, S1, (2012) (PubMed).

Okada, Harada, Saiwai, Nakamura, Ohkawa: "Generation of a rat monoclonal antibody specific for Brm." dans: Hybridoma (2005), Vol. 28, Issue 6, pp. 455-8, (2009) (PubMed).

Yamamichi-Nishina, Ito, Mizutani, Yamamichi, Watanabe, Iba: "SW13 cells can transition between two distinct subtypes by switching expression of BRG1 and Brm genes at the post-transcriptional level." dans: The Journal of biological chemistry, Vol. 278, Issue 9, pp. 7422-30, (2003) (PubMed).

Iba, Mizutani, Ito: "SWI/SNF chromatin remodelling complex and retroviral gene silencing." dans: Reviews in medical virology, Vol. 13, Issue 2, pp. 99-110, (2003) (PubMed).

Klochendler-Yeivin, Muchardt, Yaniv: "SWI/SNF chromatin remodeling and cancer." dans: Current opinion in genetics & development, Vol. 12, Issue 1, pp. 73-9, (2002) (PubMed).

Mizutani, Ito, Nishina, Yamamichi, Watanabe, Iba: "Maintenance of integrated proviral gene expression requires Brm, a catalytic subunit of SWI/SNF complex." dans: The Journal of biological chemistry, Vol. 277, Issue 18, pp. 15859-64, (2002) (PubMed).

Wong, Shanahan, Chen, Lian, Ha, Hendricks, Ghaffari, Iliev, Penn, Woodland, Smith, Salada, Carillo, Laity, Gupte, Swedlund, Tavtigian, Teng, Lees: "BRG1, a component of the SWI-SNF complex, is mutated in multiple human tumor cell lines." dans: Cancer research, Vol. 60, Issue 21, pp. 6171-7, (2000) (PubMed).

Sudarsanam, Winston: "The Swi/Snf family nucleosome-remodeling complexes and transcriptional control." dans: Trends in genetics : TIG, Vol. 16, Issue 8, pp. 345-51, (2000) (PubMed).

Singh, Coe, Hong: "A role for retinoblastoma protein in potentiating transcriptional activation by the glucocorticoid receptor." dans: Nature, Vol. 374, Issue 6522, pp. 562-5, (1995) (PubMed).

Pseudonymes pour SMARCA2 Anticorps

SWI/SNF related, matrix associated, actin dependent regulator of chromatin, subfamily a, member 2 (SMARCA2) Anticorps
SWI/SNF related, matrix associated, actin dependent regulator of chromatin, subfamily a, member 2 L homeolog (smarca2.L) Anticorps
SWI/SNF related, matrix associated, actin dependent regulator of chromatin, subfamily a, member 2 (Smarca2) Anticorps
SWI/SNF related, matrix associated, actin dependent regulator of chromatin, subfamily a, member 2 (smarca2) Anticorps
2610209L14Rik Anticorps
BAF190 Anticorps
brahma Anticorps
Brahma Anticorps
BRM Anticorps
brm Anticorps
hBRM Anticorps
hSNF2a Anticorps
NCBRS Anticorps
psa-4 Anticorps
SNF2 Anticorps
SNF2alpha Anticorps
SNF2L2 Anticorps
Snf2l2 Anticorps
SNF2LA Anticorps
Sth1p Anticorps
SWI2 Anticorps
wu:fa56c07 Anticorps
wu:fi27f11 Anticorps
zgc:66238 Anticorps
Vous êtes ici:
Chat with us!