Tel:
+49 (0)241 95 163 153
Fax:
+49 (0)241 95 163 155
E-Mail:
orders@anticorps-enligne.fr

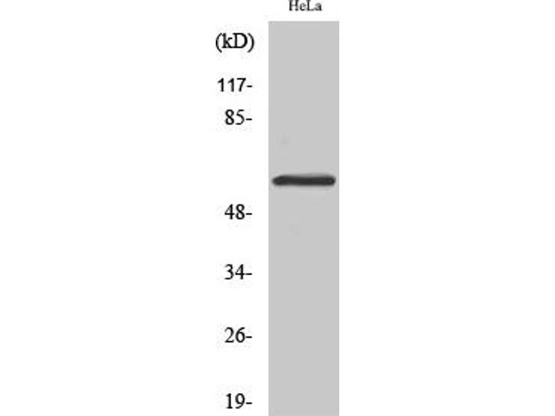
SMAD1 Anticorps

(SMAD, Mothers Against DPP Homolog 1 (SMAD1))

Choisissez l’un des 253 anticorps SMAD1 de notre liste de produits basés sur 12 publications et 166 images de validation.

Découvrez des anticorps SMAD1 fiables issus d’une large sélection de fabricants renommés. Notre portefeuille permet une détection précise de SMAD1 dans plusieurs espèces, y compris Human, Mouse, Rat, Cow, Monkey, Zebrafish (Danio rerio), Dog, Drosophila melanogaster, Guinea Pig, Horse, Rabbit, Chicken, Pig, Xenopus laevis, Bat, Sheep, Insect, et prend en charge diverses applications de recherche telles que WB, ELISA, IHC, IF (cc), IF (p).

Trouvez rapidement l’anticorps adapté grâce à nos outils de recherche, de filtrage et de comparaison. Chaque page produit fournit des données de validation détaillées, des références bibliographiques et des retours d’utilisateurs. Contrairement aux ressources dédiées uniquement à la comparaison, vous pouvez acheter directement les anticorps sur notre site. Choisissez parmi des anticorps polyclonaux, monoclonaux ou recombinants SMAD1, issus de différents hôtes tels que Rabbit, Mouse. Parcourez nos produits ci-dessous et commandez directement pour soutenir vos recherches en toute confiance.

Les noms alternatifs de SMAD1 sont smad1, SMAD1, Mad, Smad1, smad1.L.

253 Résultats

SMAD1 Reactivité: Humain WB, ELISA Hôte: Lapin Polyclonal unconjugated
N° du produit ABIN7184504
392,04 €
Plus frais de livraison 40,00 € et TVA
100 μL
Destination: France
Envoi sous 11 à 15 jours ouvrables
 
SMAD1 Reactivité: Humain WB, ELISA, IHC Hôte: Lapin Polyclonal unconjugated
N° du produit ABIN7189007
262,68 €
Plus frais de livraison 40,00 € et TVA
100 μg (Autres quantités disponibles)
Destination: France
Envoi sous 11 à 15 jours ouvrables
 
SMAD1 Reactivité: Humain, Souris, Rat WB, ELISA Hôte: Lapin Polyclonal unconjugated
N° du produit ABIN3187859
377,51 €
Plus frais de livraison 40,00 € et TVA
100 μL (Autres quantités disponibles)
Destination: France
Envoi sous 8 à 10 jours ouvrables
 
SMAD1 Reactivité: Boeuf (Vache) WB, IHC, ICC, IP Hôte: Lapin Polyclonal unconjugated
N° du produit ABIN7646248
395,63 €
Plus frais de livraison 40,00 € et TVA
100 μL (Autres quantités disponibles)
Destination: France
Envoi sous 11 à 15 jours ouvrables
 
SMAD1 Reactivité: Humain, Souris, Rat, Boeuf (Vache), Singe, Poulet, Chien, Poisson zèbre (Danio rerio), Cheval, Cobaye, Lapin, Porc, Xenopus laevis, Roussette (Chauve-souris) WB Hôte: Lapin Polyclonal unconjugated
N° du produit ABIN202590
797,50 €
Plus frais de livraison 40,00 € et TVA
100 μL
Destination: France
Envoi sous 15 à 20 jours ouvrables
 
SMAD1 Reactivité: Humain, Souris, Rat WB, ELISA, IHC Hôte: Lapin Polyclonal unconjugated
N° du produit ABIN791052
676,50 €
Plus frais de livraison 40,00 € et TVA
100 μL
Destination: France
Envoi sous 15 à 20 jours ouvrables
 
SMAD1 Reactivité: Humain WB, ELISA Hôte: Lapin Polyclonal unconjugated
N° du produit ABIN7138458
475,20 €
Plus frais de livraison 40,00 € et TVA
100 μL
Destination: France
Envoi sous 11 à 15 jours ouvrables
 
SMAD1 Reactivité: Humain WB, ELISA Hôte: Lapin Polyclonal unconjugated
N° du produit ABIN7138266
392,04 €
Plus frais de livraison 40,00 € et TVA
100 μL
Destination: France
Envoi sous 11 à 15 jours ouvrables
 
SMAD1 Reactivité: Humain, Souris, Rat WB, ELISA, IHC Hôte: Lapin Polyclonal unconjugated
N° du produit ABIN3182471
377,51 €
Plus frais de livraison 40,00 € et TVA
100 μL (Autres quantités disponibles)
Destination: France
Envoi sous 8 à 10 jours ouvrables
 
SMAD1 Reactivité: Humain WB Hôte: Souris Monoclonal 24GB7060 unconjugated
N° du produit ABIN7800367
394,31 €
Plus frais de livraison 40,00 € et TVA
100 μL
Destination: France
Envoi sous 7 à 10 jours ouvrables
 
SMAD1 Reactivité: Souris WB, IHC, ICC, IP Hôte: Lapin Polyclonal unconjugated
N° du produit ABIN1860587
272,40 €
Plus frais de livraison 40,00 € et TVA
100 μL (Autres quantités disponibles)
Destination: France
Envoi sous 11 à 15 jours ouvrables
 
SMAD1 Reactivité: Humain, Souris WB, ELISA, IF Hôte: Lapin Polyclonal unconjugated
N° du produit ABIN1532647
402,00 €
Plus frais de livraison 40,00 € et TVA
100 μL (Autres quantités disponibles)
Destination: France
Envoi sous 6 à 9 jours ouvrables
 
SMAD1 Reactivité: Humain, Souris WB, ELISA, IHC Hôte: Lapin Polyclonal unconjugated
N° du produit ABIN1531627
402,00 €
Plus frais de livraison 40,00 € et TVA
100 μL (Autres quantités disponibles)
Destination: France
Envoi sous 6 à 9 jours ouvrables
 
SMAD1 Reactivité: Humain, Souris, Rat WB, ELISA, IHC Hôte: Lapin Polyclonal unconjugated
N° du produit ABIN1532214
402,00 €
Plus frais de livraison 40,00 € et TVA
100 μL (Autres quantités disponibles)
Destination: France
Envoi sous 6 à 9 jours ouvrables
 
SMAD1 Reactivité: Humain WB, ELISA Hôte: Lapin Polyclonal unconjugated
N° du produit ABIN3029012
631,13 €
Plus frais de livraison 40,00 € et TVA
0.4 mL (Autres quantités disponibles)
Destination: France
Envoi sous 6 à 9 jours ouvrables
 
SMAD1 Reactivité: Rat WB, ELISA Hôte: Lapin Polyclonal unconjugated
N° du produit ABIN3029013
631,13 €
Plus frais de livraison 40,00 € et TVA
0.4 mL (Autres quantités disponibles)
Destination: France
Envoi sous 6 à 9 jours ouvrables
 
SMAD1 Reactivité: Humain WB, ELISA Hôte: Lapin Polyclonal unconjugated
N° du produit ABIN3032609
631,13 €
Plus frais de livraison 40,00 € et TVA
0.4 mL (Autres quantités disponibles)
Destination: France
Envoi sous 6 à 9 jours ouvrables
 
SMAD1 Reactivité: Souris WB, ELISA Hôte: Lapin Polyclonal unconjugated
N° du produit ABIN3032611
631,13 €
Plus frais de livraison 40,00 € et TVA
0.4 mL (Autres quantités disponibles)
Destination: France
Envoi sous 6 à 9 jours ouvrables
 
SMAD1 Reactivité: Humain, Souris, Rat, Poulet, Mouton WB, IHC Hôte: Lapin Polyclonal unconjugated
N° du produit ABIN7296224
376,92 €
Plus frais de livraison 40,00 € et TVA
100 μL (Autres quantités disponibles)
Destination: France
Envoi sous 17 à 20 jours ouvrables
 
SMAD1 Reactivité: Humain, Souris, Rat, Boeuf (Vache), Poulet, Poisson zèbre (Danio rerio) WB, IHC Hôte: Lapin Polyclonal unconjugated
N° du produit ABIN7296226
330,77 €
Plus frais de livraison 40,00 € et TVA
100 μL (Autres quantités disponibles)
Destination: France
Envoi sous 17 à 20 jours ouvrables
 
  • Type Primary
    • Primary
  • Application
    • Western Blotting (WB)
    • ELISA
    • Immunohistochemistry (IHC)
    • Immunofluorescence (Cultured Cells) (IF (cc))
    • Immunofluorescence (Paraffin-embedded Sections) (IF (p))
    • Immunofluorescence (IF)
    • Immunocytochemistry (ICC)
    • Immunohistochemistry (Paraffin-embedded Sections) (IHC (p))
    • Flow Cytometry (FACS)
    • Immunoprecipitation (IP)
    • Immunohistochemistry (Frozen Sections) (IHC (fro))
    • Dot Blot (DB)
    • Immunofluorescence (fixed cells) (IF/ICC)
    • Fluorescence Microscopy (FM)
    • Immunochromatography (IC)
    • Cellular Assay (CA)
    • Enzyme Immunoassay (EIA)
    • Immunoassay (IA)
    • Immunostaining (ISt)
    • Proximity Ligation Assay (PLA)
  • Réactivité
    • Human
    • Mouse
    • Rat
    • Cow
    • Monkey
    • Zebrafish (Danio rerio)
    • Dog
    • Drosophila melanogaster
    • Guinea Pig
    • Horse
    • Rabbit
    • Chicken
    • Pig
    • Xenopus laevis
    • Bat
    • Sheep
    • Insect
  • Cité dans publications
  • Images disponible
  • Sans conservateur uniquement
  • Carrier free only
  • Hote
    • Rabbit
    • Mouse
  • Clonalité
    • Polyclonal
    • Monoclonal
  • Clone
    • 2A1
    • 913C1b
    • 1356CT119-18-55
    • 1C5
    • 1D3
    • 23GB4155
    • 24GB2100
    • 24GB5090
    • 24GB7060
    • 2D9
    • 2E9
    • 3C4G6
    • 3G4
    • 4E12H10
    • 8C301
    • CAC-19
    • HCH-19
    • R07-4A3
    • RB33720
    • RB43846
    • RB43848
    • RB51189
    • RB51341
    • RM487
  • Epitope
    • pSer465
    • pSer463
    • pSer206
    • AA 151-250
    • Ser187
    • AA 1-30
    • pSer187
    • pSer214
    • N-Term
    • AA 202-335
    • AA 1-110
    • AA 1-465
    • AA 150-250
    • C-Term
    • Ser465
    • AA 153-202
    • AA 273-468
    • AA 154-187
    • AA 163-196
    • AA 253-267
    • AA 257-290
    • AA 297-330
    • AA 405-455
    • AA 461-465
    • Internal Region
    • Middle Region
    • AA 1-466
    • AA 10-59
    • AA 10-90
    • AA 176-259
    • AA 18-32
    • AA 20-240
    • AA 20-330
    • AA 240-270
    • AA 259-462
    • AA 270-465
    • AA 271-465
    • AA 408-457
    • AA 416-465
    • AA 455-465
    • Gln22
    • Pro457
    • Ser214
    • Ser794
    • pSer421
    • pSer423
    • pSer467
    • phosphorylated
  • Conjugué
    • Inconjugué
    • Biotin
    • FITC
    • Alexa Fluor 488
    • Alexa Fluor 555
    • Alexa Fluor 594
    • Alexa Fluor 647
    • Alexa Fluor 680
    • Alexa Fluor 750
    • HRP
    • AbBy Fluor® 350
    • AbBy Fluor® 488
    • AbBy Fluor® 555
    • AbBy Fluor® 594
    • AbBy Fluor® 647
    • AbBy Fluor® 680
    • AbBy Fluor® 750
    • Cy3
    • Cy5
    • Cy5.5
    • Cy7
    • Alexa Fluor 350
    • Alexa Fluor 405
    • APC
    • PE
  • Isotype
    • IgG
    • Ig Fraction
    • IgG1
    • IgG1 kappa
    • IgG2b
    • IgG2b kappa
    • IgG2a
  • Type Proteine
    • Recombinant Antibody
  • Format
    • Liquid
    • Lyophilized
  • Grade
    • KD Validated
  • Supplier
    • antibodies-online
    • Signalway
    • Abbexa
    • Cohesion Biosciences
    • Boster Bio
    • NSJ Bioreagents
    • Assay Biotechnology Company, Inc.
    • FabGennix
    • Rockland
    • Aviva Systems Biology
    • Cloud-Clone
    • USBio
    • ProSci
    • RayBiotech
    • Enogene Biotech
    • ProteoGenix
    • RevMAb Biosciences

Dernières publications pour nos SMAD1 Anticorps

Kong, Liang, Chen, Yang, Liu, Li, Feng, Wu, Liu, Tang, Yu, Ou, Lu, Yan: "Hyaluronan negatively regulates vascular calcification involving BMP2 signaling." dans: Laboratory investigation; a journal of technical methods and pathology, Vol. 98, Issue 10, pp. 1320-1332, (2018) (PubMed).

Yi, Yu, Yang, Miron, Zhang: "Tcf12, A Member of Basic Helix-Loop-Helix Transcription Factors, Mediates Bone Marrow Mesenchymal Stem Cell Osteogenic Differentiation In Vitro and In Vivo." dans: Stem cells (Dayton, Ohio), Vol. 35, Issue 2, pp. 386-397, (2017) (PubMed).

Qu, Zheng, Gan, Lian, He, Li, Yuan, Yang, Li, Ji, Yan, Xu, Guo: "MiR-199a-3p suppresses proliferation and invasion of prostate cancer cells by targeting Smad1." dans: Oncotarget, Vol. 8, Issue 32, pp. 52465-52473, (2017) (PubMed).

Xu, Ni, Huang, Meng, He, Zhang, Li: "NLRC5 Mediates IL-6 and IL-1? Secretion in LX-2 Cells and Modulated by the NF-?B/Smad3 Pathway." dans: Inflammation, Vol. 38, Issue 5, pp. 1794-804, (2015) (PubMed).

Nakajima, Yanagihara, Nishii: "Temporal and regional patterns of Smad activation in the rat hippocampus following global ischemia." dans: Journal of the neurological sciences, Vol. 337, Issue 1-2, pp. 25-37, (2014) (PubMed).

Shi, Jiang, Ma, Xie, Duan, Chen, Song, Yu, Liu, Zhu, Zheng: "Dexamethasone attenuates bleomycin-induced lung fibrosis in mice through TGF-?, Smad3 and JAK-STAT pathway." dans: International journal of clinical and experimental medicine, Vol. 7, Issue 9, pp. 2645-50, (2014) (PubMed).

Tang, Li, Yu, Gao, Liu, Chen, Xing, Liu, Yao: "Quercetin prevents ethanol-induced iron overload by regulating hepcidin through the BMP6/SMAD4 signaling pathway." dans: The Journal of nutritional biochemistry, Vol. 25, Issue 6, pp. 675-82, (2014) (PubMed).

Chen, Kong, Wan, Xiao, Li, Wang, Lin, Wang: "Effects of huogu I formula (I) on correlated factors of bone regeneration in chickens with steroid-induced necrosis of femoral head." dans: Chinese journal of integrative medicine, Vol. 18, Issue 5, pp. 378-84, (2012) (PubMed).

Tao, Hu, Li, Liu, Wu, Li, Fu, Wei, Luo: "Tranilast prevents the progression of chronic cyclosporine nephrotoxicity through regulation of transforming growth factor ?/Smad pathways." dans: Transplantation proceedings, Vol. 43, Issue 5, pp. 1985-8, (2011) (PubMed).

Ye, Yu, Hu, Lu, Xie: "Alterations of dendritic cell subsets in the peripheral circulation of patients with cervical carcinoma." dans: Journal of experimental & clinical cancer research : CR, Vol. 29, pp. 78, (2010) (PubMed).

Pseudonymes pour SMAD1 Anticorps

SMAD family member 1 (smad1) Anticorps
SMAD family member 1 (SMAD1) Anticorps
Mothers against dpp (Mad) Anticorps
SMAD family member 1 (Smad1) Anticorps
SMAD family member 1 L homeolog (smad1.L) Anticorps
2/23 Anticorps
AI528653 Anticorps
apg Anticorps
BSP-1 Anticorps
bsp1 Anticorps
BSP1 Anticorps
c28 Anticorps
CG12399 Anticorps
dMAD Anticorps
dMad Anticorps
Dmel\\CG12399 Anticorps
E(zen)2 Anticorps
En(vvl) Anticorps
fb39h09 Anticorps
jv4-1 Anticorps
JV4-1 Anticorps
jv41 Anticorps
JV41 Anticorps
l(2)K00237 Anticorps
l(2)k00237 Anticorps
MAD Anticorps
mad Anticorps
madh1 Anticorps
MADH1 Anticorps
Madh1 Anticorps
madr1 Anticorps
MADR1 Anticorps
Madr1 Anticorps
Mat Anticorps
MLP Anticorps
Mlp1 Anticorps
MusMLP Anticorps
P-Mad Anticorps
P-mad Anticorps
p-Mad Anticorps
PMad Anticorps
pMAD Anticorps
pMad Anticorps
pSmad Anticorps
Smad Anticorps
smad-1 Anticorps
Smad1 Anticorps
smad1 Anticorps
wu:fb39h09 Anticorps
wu:fb97e04 Anticorps
xmad Anticorps
Xmad1 Anticorps
Xsmad1 Anticorps
Vous êtes ici:
Chat with us!