Tel:
+49 (0)241 95 163 153
Fax:
+49 (0)241 95 163 155
E-Mail:
orders@anticorps-enligne.fr

UBE3C Anticorps

(Ubiquitin Protein Ligase E3C (UBE3C))

Choisissez l’un des 20 anticorps UBE3C de notre liste de produits basés sur 4 publications et 11 images de validation.

Découvrez des anticorps UBE3C fiables issus d’une large sélection de fabricants renommés. Notre portefeuille permet une détection précise de UBE3C dans plusieurs espèces, y compris Human, Mouse, Cow, Guinea Pig, Rabbit, Rat, Zebrafish (Danio rerio), Dog, Pig, et prend en charge diverses applications de recherche telles que WB, ELISA, IF, IP, ICC.

Trouvez rapidement l’anticorps adapté grâce à nos outils de recherche, de filtrage et de comparaison. Chaque page produit fournit des données de validation détaillées, des références bibliographiques et des retours d’utilisateurs. Contrairement aux ressources dédiées uniquement à la comparaison, vous pouvez acheter directement les anticorps sur notre site. Choisissez parmi des anticorps polyclonaux, monoclonaux ou recombinants UBE3C, issus de différents hôtes tels que Rabbit, Mouse. Parcourez nos produits ci-dessous et commandez directement pour soutenir vos recherches en toute confiance.

Les noms alternatifs de UBE3C sont UBE3C, Ube3c, ube3c, ube3c.S.

20 Résultats

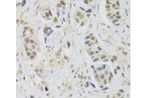
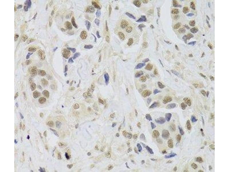
UBE3C Reactivité: Humain WB, IF, IHC Hôte: Lapin Polyclonal unconjugated
N° du produit ABIN7011125
179,00 €
Plus frais de livraison 40,00 € et TVA
60 μL
Destination: France
Envoi sous 9 à 13 jours ouvrables
 
UBE3C Reactivité: Humain WB Hôte: Lapin Polyclonal RB44044 unconjugated
Pubmed 3 références
N° du produit ABIN1881969
434,77 €
Plus frais de livraison 40,00 € et TVA
400 μL (Autres quantités disponibles)
Destination: France
Envoi sous 14 à 17 jours ouvrables
 
UBE3C Reactivité: Humain WB, ELISA Hôte: Souris Polyclonal unconjugated
Pubmed 1 reference
N° du produit ABIN564179
508,80 €
Plus frais de livraison 40,00 € et TVA
50 μL
Destination: France
Envoi sous 8 à 9 jours ouvrables
 
UBE3C Reactivité: Humain WB, ELISA Hôte: Lapin Polyclonal unconjugated
N° du produit ABIN7188354
218,90 €
Plus frais de livraison 40,00 € et TVA
100 μg (Autres quantités disponibles)
Destination: France
Envoi sous 11 à 15 jours ouvrables
 
UBE3C Reactivité: Humain WB Hôte: Lapin Polyclonal unconjugated
N° du produit ABIN523168
636,80 €
Plus frais de livraison 40,00 € et TVA
100 μg
Destination: France
Envoi sous 8 à 9 jours ouvrables
 
UBE3C Reactivité: Humain WB Hôte: Souris Polyclonal unconjugated
N° du produit ABIN523167
651,20 €
Plus frais de livraison 40,00 € et TVA
50 μg
Destination: France
Envoi sous 8 à 9 jours ouvrables
 
UBE3C Reactivité: Humain WB, ELISA Hôte: Lapin Polyclonal unconjugated
N° du produit ABIN7217430
623,62 €
Plus frais de livraison 40,00 € et TVA
100 μL (Autres quantités disponibles)
Destination: France
Envoi sous 10 à 14 jours ouvrables
 
UBE3C Reactivité: Humain WB, IF, ICC Hôte: Lapin Polyclonal unconjugated
N° du produit ABIN7466789
765,00 €
Plus frais de livraison 40,00 € et TVA
100 μL
Destination: France
Envoi sous 7 à 10 jours ouvrables
 
UBE3C Reactivité: Humain ELISA Hôte: Lapin Polyclonal Biotin
N° du produit ABIN7174576
328,90 €
Plus frais de livraison 40,00 € et TVA
100 μg (Autres quantités disponibles)
Destination: France
Envoi sous 11 à 15 jours ouvrables
 
UBE3C Reactivité: Humain ELISA Hôte: Lapin Polyclonal unconjugated
N° du produit ABIN7174575
328,90 €
Plus frais de livraison 40,00 € et TVA
100 μg (Autres quantités disponibles)
Destination: France
Envoi sous 11 à 15 jours ouvrables
 
UBE3C Reactivité: Humain Hôte: Lapin Polyclonal FITC
N° du produit ABIN7174577
328,90 €
Plus frais de livraison 40,00 € et TVA
100 μg (Autres quantités disponibles)
Destination: France
Envoi sous 11 à 15 jours ouvrables
 
UBE3C Reactivité: Humain ELISA Hôte: Lapin Polyclonal HRP
N° du produit ABIN7174578
328,90 €
Plus frais de livraison 40,00 € et TVA
100 μg (Autres quantités disponibles)
Destination: France
Envoi sous 11 à 15 jours ouvrables
 
UBE3C Reactivité: Humain WB, IP Hôte: Lapin Polyclonal unconjugated
N° du produit ABIN7450864
576,62 €
Plus frais de livraison 40,00 € et TVA
100 μg (Autres quantités disponibles)
Destination: France
Envoi sous 7 à 10 jours ouvrables
 
UBE3C Reactivité: Humain IP Hôte: Lapin Polyclonal unconjugated
N° du produit ABIN7451372
576,62 €
Plus frais de livraison 40,00 € et TVA
100 μg (Autres quantités disponibles)
Destination: France
Envoi sous 7 à 10 jours ouvrables
 
UBE3C Reactivité: Humain, Souris, Boeuf (Vache), Cobaye, Lapin, Rat, Poisson zèbre (Danio rerio), Porc WB Hôte: Lapin Polyclonal unconjugated
N° du produit ABIN6753240
789,41 €
Plus frais de livraison 40,00 € et TVA
100 μL
Destination: France
Envoi sous 15 à 20 jours ouvrables
 
UBE3C Reactivité: Humain, Souris ELISA Hôte: Lapin Polyclonal unconjugated
N° du produit ABIN7096477
525,71 €
Plus frais de livraison 40,00 € et TVA
100 μL (Autres quantités disponibles)
Destination: France
Envoi sous 9 à 11 jours ouvrables
 
UBE3C Reactivité: Humain, Souris, Boeuf (Vache), Cobaye, Lapin, Rat, Poisson zèbre (Danio rerio), Chien WB Hôte: Lapin Polyclonal unconjugated
N° du produit ABIN2774719
534,11 €
Plus frais de livraison 40,00 € et TVA
100 μL (Autres quantités disponibles)
Destination: France
Envoi sous 6 à 9 jours ouvrables
 
UBE3C Reactivité: Humain ELISA Hôte: Lapin Polyclonal FITC
N° du produit ABIN6086690
628,83 €
Plus frais de livraison 40,00 € et TVA
100 μL (Autres quantités disponibles)
Destination: France
Envoi sous 7 à 13 jours ouvrables
 
UBE3C Reactivité: Humain WB Hôte: Lapin Polyclonal unconjugated
N° du produit ABIN2381569
1.029,25 €
Plus frais de livraison 40,00 € et TVA
100 μg
Destination: France
Envoi sous 15 à 22 jours ouvrables
 
UBE3C Reactivité: Humain WB Hôte: Souris Polyclonal unconjugated
N° du produit ABIN2381570
933,96 €
Plus frais de livraison 40,00 € et TVA
50 μg
Destination: France
Envoi sous 15 à 22 jours ouvrables
 
  • Type Primary
    • Primary
  • Application
    • Western Blotting (WB)
    • ELISA
    • Immunofluorescence (IF)
    • Immunoprecipitation (IP)
    • Immunocytochemistry (ICC)
    • Immunohistochemistry (IHC)
  • Réactivité
    • Human
    • Mouse
    • Cow
    • Guinea Pig
    • Rabbit
    • Rat
    • Zebrafish (Danio rerio)
    • Dog
    • Pig
  • Cité dans publications
  • Images disponible
  • Carrier free only
  • Hote
    • Rabbit
    • Mouse
  • Clonalité
    • Polyclonal
  • Clone
    • RB44044
  • Epitope
    • AA 310-377
    • AA 1-404
    • Internal Region
    • AA 1-50
    • AA 350-400
    • AA 549-578
    • AA 599-698
    • AA 725-775
    • N-Term
  • Conjugué
    • Inconjugué
    • FITC
    • Biotin
    • HRP
  • Isotype
    • IgG
    • Ig Fraction
  • Format
    • Liquid
    • Lyophilized
  • Supplier
    • antibodies-online
    • USBio
    • Abbexa
    • Aviva Systems Biology

Dernières publications pour nos UBE3C Anticorps

Wen, Wen, Li, Jin, Wang, Zhou, Chen: "UBE3C promotes growth and metastasis of renal cell carcinoma via activating Wnt/β-catenin pathway." dans: PLoS ONE, Vol. 10, Issue 2, pp. e0115622, (2016) (PubMed).

Urso, Chen, Scrimgeour, Lee, Lee, Clarkson: "Alterations in mRNA expression and protein products following spinal cord injury in humans." dans: The Journal of physiology, Vol. 579, Issue Pt 3, pp. 877-92, (2007) (PubMed).

Hillier, Fulton, Fulton, Graves, Pepin, Wagner-McPherson, Layman, Maas, Jaeger, Walker, Wylie, Sekhon, Becker, OLaughlin, Schaller, Fewell, Delehaunty, Miner, Nash, Cordes, Du, Sun, Edwards et al.: "The DNA sequence of human chromosome 7. ..." dans: Nature, Vol. 424, Issue 6945, pp. 157-64, (2003) (PubMed).

Scherer, Cheung, MacDonald, Osborne, Nakabayashi, Herbrick, Carson, Parker-Katiraee, Skaug, Khaja, Zhang, Hudek, Li, Haddad, Duggan, Fernandez, Kanematsu, Gentles, Christopoulos, Choufani, Kwasnicka et al.: "Human chromosome 7: DNA sequence and biology. ..." dans: Science (New York, N.Y.), Vol. 300, Issue 5620, pp. 767-72, (2003) (PubMed).

You, Pickart: "A HECT domain E3 enzyme assembles novel polyubiquitin chains." dans: The Journal of biological chemistry, Vol. 276, Issue 23, pp. 19871-8, (2001) (PubMed).

Pseudonymes pour UBE3C Anticorps

ubiquitin protein ligase E3C (UBE3C) Anticorps
ubiquitin protein ligase E3C (Ube3c) Anticorps
ubiquitin protein ligase E3C (ube3c) Anticorps
ubiquitin protein ligase E3C S homeolog (ube3c.S) Anticorps
AI853514 Anticorps
HECTH2 Anticorps
kiaa0010 Anticorps
MGC146390 Anticorps
mKIAA0010 Anticorps
RGD1559986 Anticorps
UBE3C Anticorps
zgc:63649 Anticorps
Vous êtes ici:
Chat with us!