HMGB1 anticorps
Aperçu rapide pour HMGB1 anticorps (ABIN1176834)
Antigène
Voir toutes HMGB1 AnticorpsReactivité
Hôte
Clonalité
Conjugué
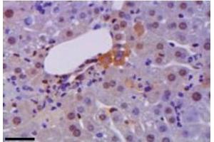
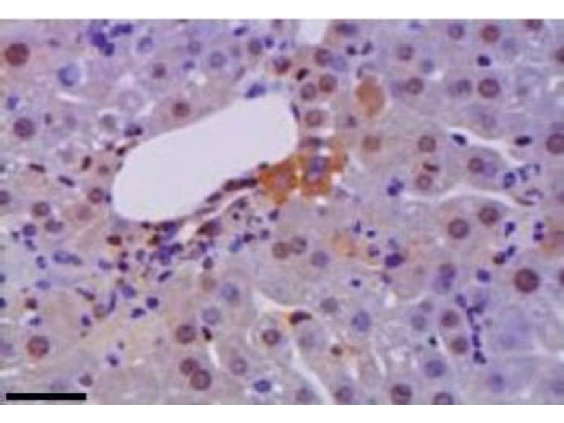
Application
Clone
-
-
Immunogène
- 17-mer peptide KGKPDAAKKGVVKAEKS
-
Isotype
- IgG1
-
-
-
-
Indications d'application
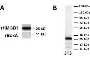
- WB: 1 µg/ml antibody in 5% milk TBS-T overnight at 4°C. Migration assay: 0.5/1/2/5 µg/ml of DPH1.1 mAb is added to 30 ng/ml of rHMGB1, according to Palumbo et al. “Extracellular HMGB1, a signal of tissue damage, induces mesoangioblast migration and proliferation”.
-
Restrictions
- For Research Use only
-
-
-
Format
- Lyophilized
-
Conseil sur la manipulation
- DPH1.1 mAb is provided freeze-dried.
-
Stock
- -20 °C
-
-
-
: "Metformin decreases LPS-induced inflammatory response in rabbit annulus fibrosus stem/progenitor cells by blocking HMGB1 release." dans: Aging, Vol. 11, Issue 22, pp. 10252-10265, (2020) (PubMed).
-
-
- HMGB1 (High Mobility Group Box 1 (HMGB1))
-
Autre désignation
- High-mobility group protein B1 (HMGB1)
-
Sujet
- DPH1.1 mAb recognizes all mammalian HMGB1s, including human, mouse and rat. Does not recognize HMGB2. DPH1.1 mAb can be used for Western blot (WB), immunofluorescence (IHF) and immunohistochemistry (IHC). DPH1.1 mAb blocks HMGB1-elicited cell migration in trans-well migration assays. In vivo, DPH1.1 mAb administered intravenously (220 µg/mouse) blocks recruitment of inflammatory cells to sites of necrosis and infection. The mouse monoclonal IgG1 DPH1.1 was generated by injecting C57BL/6 mice with the 17-mer peptide KGKPDAAKKGVVKAEKS. Hybridomas were produced from splenocytes by standard techniques and tested by ELISA against the immunogen and full-length HMGB1.
-
Pathways
- Signalisation p53, Regulation of Muscle Cell Differentiation, Skeletal Muscle Fiber Development, Positive Regulation of Endopeptidase Activity, Regulation of Carbohydrate Metabolic Process, Toll-Like Receptors Cascades, Smooth Muscle Cell Migration, Inflammasome
Antigène
-