SARM1 anticorps (AA 340-380)
Aperçu rapide pour SARM1 anticorps (AA 340-380) (ABIN1387556)
Antigène
Voir toutes SARM1 AnticorpsReactivité
Hôte
Clonalité
Conjugué
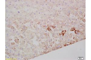
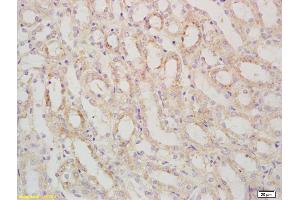
Application
-
-
Épitope
- AA 340-380
-
Réactivité croisée
- Humain, Souris, Rat
-
Purification
- Purified by Protein A.
-
Immunogène
- KLH conjugated synthetic peptide derived from human SARM1
-
Isotype
- IgG
-
-
-
-
Indications d'application
-
WB 1:300-5000
IHC-P 1:200-400
IF(IHC-P) 1:50-200 -
Restrictions
- For Research Use only
-
-
-
Format
- Liquid
-
Concentration
- 1 μg/μL
-
Buffer
- 0.01M TBS( pH 7.4) with 1 % BSA, 0.02 % Proclin300 and 50 % Glycerol.
-
Agent conservateur
- ProClin
-
Précaution d'utilisation
- This product contains ProClin: a POISONOUS AND HAZARDOUS SUBSTANCE, which should be handled by trained staff only.
-
Stock
- 4 °C,-20 °C
-
Stockage commentaire
- Shipped at 4°C. Store at -20°C for one year. Avoid repeated freeze/thaw cycles.
-
Date de péremption
- 12 months
-
-
- SARM1 (Sterile alpha and TIR Motif Containing 1 (SARM1))
-
Autre désignation
- SARM1
-
Sujet
-
Synonyms: SARM, SAMD2, MyD88-5, Sterile alpha and TIR motif-containing protein 1, Sterile alpha and Armadillo repeat protein, Sterile alpha motif domain-containing protein 2, SAM domain-containing protein 2, Tir-1 homolog, SARM1, KIAA0524
Background: Negative regulator of MYD88- and TRIF-dependent toll-like receptor signaling pathway which plays a pivotal role in activating axonal degeneration following injury. Promotes Wallerian degeneration an injury-induced axonal death pathway which involves degeneration of an axon distal to the injury site. Can activate neuronal death in response to stress. Regulates dendritic arborization through the MAPK4-JNK pathway. Involved in innate immune response. Inhibits both TICAM1/TRIF- and MYD88-dependent activation of JUN/AP-1, TRIF-dependent activation of NF-kappa-B and IRF3, and the phosphorylation of MAPK14/p38.
-
ID gène
- 23098
-
UniProt
- Q6SZW1
-
Pathways
- Signalisation TLR, Activation of Innate immune Response, Toll-Like Receptors Cascades
Antigène
-