HMGB1 anticorps
Aperçu rapide pour HMGB1 anticorps (ABIN1498682)
Antigène
Voir toutes HMGB1 AnticorpsReactivité
Hôte
Clonalité
Conjugué
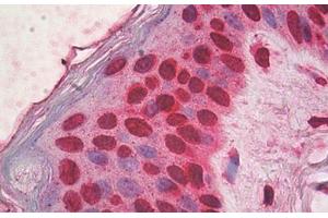
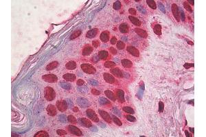
Application
Clone
-
-
Specificité
- This recognizes both A box domain (amino acids 9-79) and full length HMGB1 protein.
-
Purification
- Protein G purified
-
Immunogène
-
Full length recombinant human HMGB1.
Type of Immunogen: Recombinant protein -
Isotype
- IgG1 kappa
-
-
-
-
Indications d'application
-
Approved: Flo, IHC, IHC-P (5 μg/mL), WB (1 - 3 μg/mL)
Usage: Flow: Intracellular. -
Commentaires
-
Target Species of Antibody: Human
-
Restrictions
- For Research Use only
-
-
-
Format
- Liquid
-
Concentration
- Lot specific
-
Buffer
- PBS, 0.05 % BSA, 0.05 % sodium azide
-
Agent conservateur
- Sodium azide
-
Précaution d'utilisation
- This product contains Sodium azide: a POISONOUS AND HAZARDOUS SUBSTANCE which should be handled by trained staff only.
-
Stock
- 4 °C,-20 °C
-
Stockage commentaire
- Store at 4°C for short term applications. For long term storage, aliquot and store at -20°C.
-
-
- HMGB1 (High Mobility Group Box 1 (HMGB1))
-
Autre désignation
- HMG1 / HMGB1
-
Sujet
-
Name/Gene ID: HMGB1
Synonyms: HMGB1, Amphoterin, High mobility group protein B1, High mobility group box 1, High mobility group protein 1, HMG1, HMG3, SBP-1, High-mobility group box 1, HMG-1 -
ID gène
- 3146
-
UniProt
- P09429
-
Pathways
- Signalisation p53, Regulation of Muscle Cell Differentiation, Skeletal Muscle Fiber Development, Positive Regulation of Endopeptidase Activity, Regulation of Carbohydrate Metabolic Process, Toll-Like Receptors Cascades, Smooth Muscle Cell Migration, Inflammasome
Antigène
-