Tel:
+49 (0)241 95 163 153
Fax:
+49 (0)241 95 163 155
E-Mail:
orders@anticorps-enligne.fr

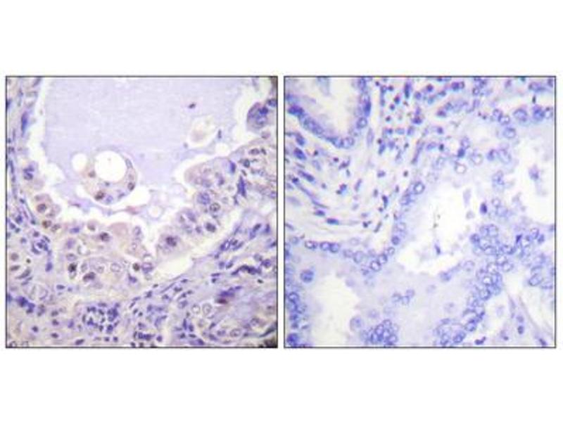
RAF1 anticorps (Ser621)

Cet anticorps anti-RAF1 Polyclonal Lapin (ABIN1847970) détecte spécifiquement RAF1 dans WB, ELISA, IHC et IF/ICC. L’anticorps est réactif avec des échantillons de Humain, Souris et Rat.
N° du produit ABIN1847970
453,66 €
Plus frais de livraison 40,00 € et TVA
Destination: France
Envoi sous 7 à 13 jours ouvrables

Aperçu rapide pour RAF1 anticorps (Ser621) (ABIN1847970)

Antigène

Voir toutes RAF1 Anticorps
RAF1 (V-Raf-1 Murine Leukemia Viral Oncogene Homolog 1 (RAF1))

Reactivité

  • 487
  • 246
  • 174
  • 17
  • 14
  • 12
  • 11
  • 9
  • 5
  • 4
  • 4
  • 2
  • 2
  • 2
  • 2
  • 1
Humain, Souris, Rat

Hôte

  • 520
  • 15
  • 2
  • 2
Lapin

Clonalité

  • 438
  • 101
Polyclonal

Conjugué

  • 211
  • 38
  • 27
  • 26
  • 16
  • 15
  • 14
  • 14
  • 14
  • 14
  • 14
  • 14
  • 10
  • 10
  • 10
  • 10
  • 10
  • 10
  • 10
  • 10
  • 10
  • 10
  • 10
  • 6
  • 6
Cet anticorp RAF1 est non-conjugé

Application

  • 355
  • 204
  • 121
  • 104
  • 104
  • 73
  • 65
  • 45
  • 39
  • 34
  • 24
  • 16
  • 12
  • 2
  • 2
  • 1
Western Blotting (WB), ELISA, Immunohistochemistry (IHC), Immunofluorescence (fixed cells) (IF/ICC)
Vous êtes ici:
Chat with us!