Tel:
+49 (0)241 95 163 153
Fax:
+49 (0)241 95 163 155
E-Mail:
orders@anticorps-enligne.fr

ATF2 anticorps (Thr53, Thr71)

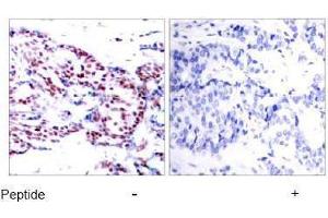
Cet anticorps anti-ATF2 Polyclonal Lapin (ABIN197148) détecte spécifiquement ATF2 dans WB, IF et IHC (p). L’anticorps est réactif avec des échantillons de Humain et Souris.
N° du produit ABIN197148
606,15 €
Plus frais de livraison 40,00 € et TVA
Destination: France
Envoi sous 17 jours ouvrables

Aperçu rapide pour ATF2 anticorps (Thr53, Thr71) (ABIN197148)

Antigène

Voir toutes ATF2 Anticorps
ATF2 (Activating Transcription Factor 2 (ATF2))

Reactivité

  • 336
  • 239
  • 207
  • 17
  • 12
  • 11
  • 8
  • 7
  • 7
  • 5
  • 5
  • 3
  • 2
  • 2
  • 1
  • 1
Humain, Souris

Hôte

  • 365
  • 14
  • 2
  • 1
Lapin

Clonalité

  • 325
  • 57
Polyclonal

Conjugué

  • 169
  • 21
  • 11
  • 11
  • 10
  • 10
  • 10
  • 10
  • 10
  • 10
  • 9
  • 9
  • 9
  • 9
  • 9
  • 9
  • 9
  • 9
  • 9
  • 9
  • 9
  • 3
  • 3
  • 3
  • 2
Cet anticorp ATF2 est non-conjugé

Application

  • 284
  • 130
  • 119
  • 118
  • 107
  • 86
  • 69
  • 61
  • 41
  • 29
  • 20
  • 10
  • 6
  • 2
  • 2
  • 1
Western Blotting (WB), Immunofluorescence (IF), Immunohistochemistry (Paraffin-embedded Sections) (IHC (p))
  • Épitope

    • 54
    • 45
    • 26
    • 25
    • 25
    • 24
    • 24
    • 23
    • 15
    • 15
    • 15
    • 15
    • 13
    • 11
    • 9
    • 6
    • 5
    • 4
    • 3
    • 3
    • 3
    • 3
    • 3
    • 3
    • 2
    • 2
    • 2
    • 2
    • 2
    • 2
    • 2
    • 2
    • 2
    • 2
    • 2
    • 1
    • 1
    • 1
    • 1
    • 1
    • 1
    • 1
    • 1
    • 1
    • 1
    • 1
    • 1
    • 1
    • 1
    • 1
    Thr53, Thr71

    Specificité

    ATF-2 antibody detects endogenous levels of total ATF-2 protein.

    Purification

    Affinity chromatography

    Immunogène

    Synthetic non-phosphopeptide derived from human ATF-2 around the phosphorylation site of threonine 71 or 53 (T-P-TP-P-T).
  • Indications d'application

    Western Blot: 1: 500approx. 1: 1000. Immunohistochemistry: 1: 50approx. 1: 100.
    Other applications not tested.
    Optimal dilutions are dependent on conditions and should be determined by the user.

    Restrictions

    For Research Use only
  • Concentration

    1.0 mg/mL

    Buffer

    PBS(without Mg2+ and Ca2+), pH 7.4 containing 150 mM NaCl, 0.02 % sodium azide and 50 % glycerol

    Agent conservateur

    Sodium azide

    Précaution d'utilisation

    This product contains sodium azide: a POISONOUS AND HAZARDOUS SUBSTANCE which should be handled by trained staff only.

    Conseil sur la manipulation

    Avoid repeated freezing and thawing.

    Stock

    -20 °C
  • Antigène

    ATF2 (Activating Transcription Factor 2 (ATF2))

    Autre désignation

    ATF2

    Sujet

    ATF2 (Activating Transcription Factor 2, CREBP, HB16, CREB2, TREB7) is a member of the ATF/CREB family of basic region leucine zipper DNA binding proteins that regulates transcription by binding to a consensus cAMP response element (CRE) in the promoter of various viral and cellular genes. Many of these genes are important in cell growth and differentiation, and in stress and immune responses. ATF2 is a nuclear protein that binds DNA as a dimer and can form dimers with members of the ATF/CREB and Jun/Fos families. It is a stronger activator as a heterodimer with cJun than as a homodimer. Several isoforms of ATF2 arise by differential splicing. The stable native full length ATF2 is transcriptionally inactive as a result of an inhibitory direct intramolecular interaction of its carboxy terminal DNA binding domain with the amino terminal transactivation domain. Following dimerization ATF2 becomes a short lived protein that undergoes ubiquitination and proteolysis, seemingly in a protein phosphatase-dependent mechanism. Stimulation of the transcriptional activity of ATF2 occurs following cellular stress induced by several genotoxic agents, inflammatory cytokines, and UV irradiation. This activation requires phosphorylation of two threonine residues in ATF2 by both JNK/SAP kinase and p38 MAP kinase. ATF2 is abundantly expressed in brain.Synonyms: ATF-2, Activating transcription factor 2, CRE-BP1, CREB-2, CREB2, CREBP1, Cyclic AMP-dependent transcription factor ATF-2, Cyclic AMP-responsive element-binding protein 2, HB16, cAMP response element-binding protein CRE-BP1, cAMP-dependent transcription factor ATF-2

    ID gène

    1386

    NCBI Accession

    NP_001871

    UniProt

    P15336

    Pathways

    Signalisation MAPK, Signalisation RTK, Thyroid Hormone Synthesis, Activation of Innate immune Response, Chromatin Binding, Myometrial Relaxation and Contraction, Synaptic Membrane, Tube Formation, Toll-Like Receptors Cascades
Vous êtes ici:
Chat with us!