Tel:
+49 (0)241 95 163 153
Fax:
+49 (0)241 95 163 155
E-Mail:
orders@anticorps-enligne.fr

RPS6KA1 anticorps (Thr348)

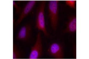
Cet anticorps anti-RPS6KA1 Polyclonal Lapin (ABIN197328) détecte spécifiquement RPS6KA1 dans WB et IF. L’anticorps est réactif avec des échantillons de Humain, Souris et Rat.
N° du produit ABIN197328
606,15 €
Plus frais de livraison 40,00 € et TVA
Destination: France
Envoi sous 17 jours ouvrables

Aperçu rapide pour RPS6KA1 anticorps (Thr348) (ABIN197328)

Antigène

Voir toutes RPS6KA1 Anticorps
RPS6KA1 (Ribosomal Protein S6 Kinase, 90kDa, Polypeptide 1 (RPS6KA1))

Reactivité

  • 240
  • 157
  • 129
  • 13
  • 6
  • 5
  • 4
  • 4
  • 4
  • 3
  • 3
  • 2
  • 1
  • 1
  • 1
  • 1
Humain, Souris, Rat

Hôte

  • 245
  • 18
Lapin

Clonalité

  • 177
  • 87
Polyclonal

Conjugué

  • 115
  • 17
  • 12
  • 10
  • 7
  • 7
  • 7
  • 7
  • 7
  • 7
  • 6
  • 6
  • 6
  • 6
  • 4
  • 4
  • 4
  • 4
  • 4
  • 4
  • 4
  • 4
  • 4
  • 4
  • 4
Cet anticorp RPS6KA1 est non-conjugé

Application

  • 234
  • 96
  • 88
  • 55
  • 54
  • 53
  • 47
  • 45
  • 27
  • 13
  • 12
  • 9
  • 2
  • 2
Western Blotting (WB), Immunofluorescence (IF)
  • Épitope

    • 46
    • 31
    • 24
    • 18
    • 15
    • 15
    • 9
    • 9
    • 8
    • 8
    • 6
    • 5
    • 3
    • 2
    • 2
    • 2
    • 2
    • 2
    • 2
    • 2
    • 2
    • 2
    • 1
    • 1
    • 1
    • 1
    • 1
    • 1
    • 1
    • 1
    • 1
    • 1
    • 1
    • 1
    • 1
    • 1
    • 1
    • 1
    • 1
    • 1
    • 1
    • 1
    • 1
    • 1
    • 1
    • 1
    • 1
    • 1
    Thr348

    Specificité

    This antibody detects endogenous levels of total p90RSK protein.

    Purification

    Immunoaffinity Chromatography using epitope-specific immunogen.

    Immunogène

    The antiserum was produced against synthesized non-phosphopeptide derived from mouse p90RSK around the phosphorylation site of threonine 348 (S-R-Tp-P-R).
  • Indications d'application

    Western blot: 1/500-1/1000. Immunofluorescence: 1/100-1/200.
    Other applications not tested.
    Optimal dilutions are dependent on conditions and should be determined by the user.

    Restrictions

    For Research Use only
  • Concentration

    1.0 mg/mL

    Buffer

    PBS (without Mg2+ and Ca2+), pH 7.4, 150 mM NaCl, 0.02 % Sodium Azide and 50 % Glycerol.

    Agent conservateur

    Sodium azide

    Précaution d'utilisation

    This product contains sodium azide: a POISONOUS AND HAZARDOUS SUBSTANCE which should be handled by trained staff only.

    Conseil sur la manipulation

    Avoid repeated freezing and thawing.

    Stock

    -20 °C

    Stockage commentaire

    Store the antibody (in aliquots) at -20 °C.
  • Antigène

    RPS6KA1 (Ribosomal Protein S6 Kinase, 90kDa, Polypeptide 1 (RPS6KA1))

    Autre désignation

    RPS6KA1

    Sujet

    Rsk1 is a member of a family of 90 kDa ribosomal protein S6 kinases, which includes Rsk1, Rsk2 and Rsk3. These are broadly expressed serine/threonine protein kinases activated in response to mitogenic stimuli, including extracellular signal regulated protein kinases Erk1 and Erk2. Rsk1 is activated by MAPK in vitro and in vivo via phosphorylation. Active Rsks appear to play a major role in transcriptional regulation by translocating to the nucleus and phosphorylating c Fos and CREB.Synonyms: 90 kDa ribosomal protein S6 kinase 1, MAPKAPK1A, RSK-1, RSK1, Ribosomal S6 kinase 1, Ribosomal protein S6 kinase alpha-1, p90RSK1

    ID gène

    6195

    NCBI Accession

    NP_001006666

    UniProt

    Q15418

    Pathways

    Signalisation MAPK, Neurotrophin Signaling Pathway, Activation of Innate immune Response, Toll-Like Receptors Cascades
Vous êtes ici:
Chat with us!