ERBB4 anticorps (C-Term)
Aperçu rapide pour ERBB4 anticorps (C-Term) (ABIN213439)
Antigène
Voir toutes ERBB4 AnticorpsReactivité
Hôte
Clonalité
Conjugué
Application
-
-
Épitope
- C-Term
-
Specificité
- Human ERBB4. BLAST analysis of the peptide immunogen showed no homology with other human proteins, except ERBB3 (60 % ).
-
Homologie
- Percent identity with other species by BLAST analysis: Human, Gorilla, Gibbon, Monkey, Marmoset (100%) Mouse, Rat, Dog, Bovine, Hamster, Panda, Horse, Pig, Platypus (93%) Bat, Opossum (87%) Turkey, Chicken (80%).
-
Purification
- Immunoaffinity purified
-
Immunogène
-
Synthetic 15 amino acid peptide from C-terminus of human ERBB4. Percent identity with other species by BLAST analysis: Human, Gorilla, Gibbon, Monkey, Marmoset (100%), Mouse, Rat, Dog, Bovine, Hamster, Panda, Horse, Pig, Platypus (93%), Bat, Opossum (87%), Turkey, Chicken (80%).
Type of Immunogen: Synthetic peptide
-
-
-
-
Indications d'application
-
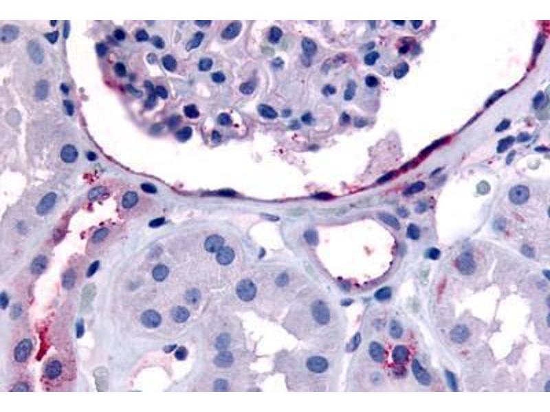
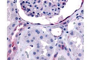
Approved: IHC, IHC-P (30 μg/mL)
Usage: Immunohistochemistry: This antibody was validated for use in immunohistochemistry on a panel of 21 formalin-fixed, paraffin-embedded (FFPE) human tissues after heat induced antigen retrieval in pH 6.0 citrate buffer. After incubation with the primary antibody, slides were incubated with biotinylated secondary antibody, followed by alkaline phosphatase-streptavidin and chromogen. The stained slides were evaluated by a pathologist to confirm staining specificity. The optimal working concentration for this antibody was determined to be 30-60 μg/mL. -
Commentaires
-
Target Species of Antibody: Human
-
Restrictions
- For Research Use only
-
-
-
Format
- Liquid
-
Concentration
- Lot specific
-
Buffer
- PBS, less than 0.1 % sodium azide.
-
Agent conservateur
- Sodium azide
-
Précaution d'utilisation
- This product contains Sodium azide: a POISONOUS AND HAZARDOUS SUBSTANCE which should be handled by trained staff only.
-
Stock
- 4 °C,-20 °C
-
Stockage commentaire
- Aliquot and store undiluted at -20°C or below for up to 1 year. Can be stored undiluted at 4°C for up to 1 month. Avoid freeze-thaw cycles.
-
Date de péremption
- 12 months
-
-
- ERBB4 (V-Erb-A erythroblastic Leukemia Viral Oncogene Homolog 4 (Avian) (ERBB4))
-
Autre désignation
- ERBB4 / HER4
-
Sujet
-
Name/Gene ID: ERBB4
Subfamily: EGF Receptor
Family: Protein Kinase
Synonyms: ERBB4, ERBB 4, HER4, p180 erb4, p180erbB4 -
ID gène
- 2066
-
Pathways
- Signalisation RTK, Fc-epsilon Receptor Signaling Pathway, EGFR Signaling Pathway, Neurotrophin Signaling Pathway
Antigène
-