Caspase 9 anticorps (Cleaved-Asp315)
Aperçu rapide pour Caspase 9 anticorps (Cleaved-Asp315) (ABIN2879092)
Antigène
Voir toutes Caspase 9 (CASP9) AnticorpsReactivité
Hôte
Clonalité
Conjugué
Application
-
-
Épitope
- AA 266-315, Cleaved-Asp315
-
Specificité
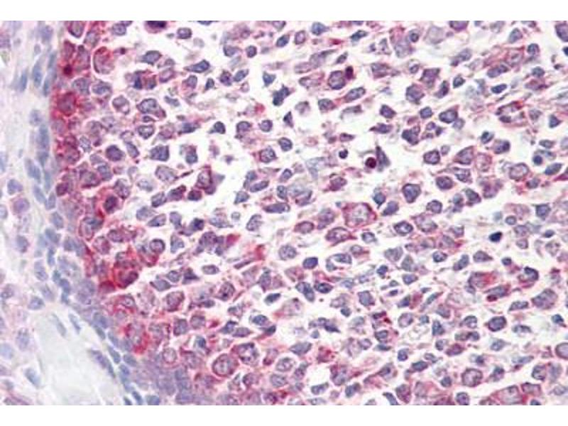
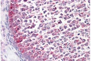
- Caspase 9 (Cleaved-Asp315) Antibody detects endogenous levels of fragment of activated Caspase 9 resulting from cleavage adjacent to Asp315.
-
Purification
- Immunoaffinity purified
-
Immunogène
-
Synthetic peptide from human Caspase 9 (aa266-315).
Type of Immunogen: Synthetic peptide -
Isotype
- IgG
-
-
-
-
Indications d'application
- Approved: IHC, IHC-P (1:100), Peptide-ELISA (1:10000), WB (1:500 - 1:1000)
-
Commentaires
-
Target Species of Antibody: Human
-
Restrictions
- For Research Use only
-
-
-
Format
- Liquid
-
Concentration
- Lot specific
-
Buffer
- PBS (without Mg2+, Ca2+), pH 7.4, 150 mM sodium chloride, 0.02 % sodium azide, 50 % glycerol
-
Agent conservateur
- Sodium azide
-
Précaution d'utilisation
- This product contains Sodium azide: a POISONOUS AND HAZARDOUS SUBSTANCE which should be handled by trained staff only.
-
Stock
- -20 °C
-
Stockage commentaire
- Store at -20°C for up to 1 year.
-
Date de péremption
- 12 months
-
-
- Caspase 9 (CASP9) (Caspase 9, Apoptosis-Related Cysteine Peptidase (CASP9))
-
Autre désignation
- CASP9 / Caspase 9
-
Sujet
-
Name/Gene ID: CASP9
Subfamily: Cysteine C14
Family: Protease
Synonyms: CASP9, APAF3, CASPASE-9c, ICE-LAP6, MCH6, ICE-like apoptotic protease 6, APAF-3, Apoptotic protease Mch-6, CASP-9, Caspase 9, Caspase-9, PPP1R56 -
ID gène
- 842
-
UniProt
- P55211
-
Pathways
- Signalisation MAPK, Signalisation RTK, Apoptose, Caspase Cascade in Apoptosis, Fc-epsilon Receptor Signaling Pathway, EGFR Signaling Pathway, Neurotrophin Signaling Pathway, Positive Regulation of Endopeptidase Activity
Antigène
-