JNK2 anticorps (C-Term)
Aperçu rapide pour JNK2 anticorps (C-Term) (ABIN292321)
Antigène
Voir toutes JNK2 (MAPK9) AnticorpsReactivité
Hôte
Clonalité
Conjugué
Application
-
-
Épitope
- C-Term
-
Specificité
- Synthetic peptide corresponding to C-terminal residues of human MAPK9 (Mitogen-activated protein kinase 9)
-
Purification
- Immunoaffinity purified
-
Immunogène
-
Synthetic peptide from human MAPK9 / JNK2.
Type of Immunogen: Synthetic peptide
-
-
-
-
Indications d'application
-
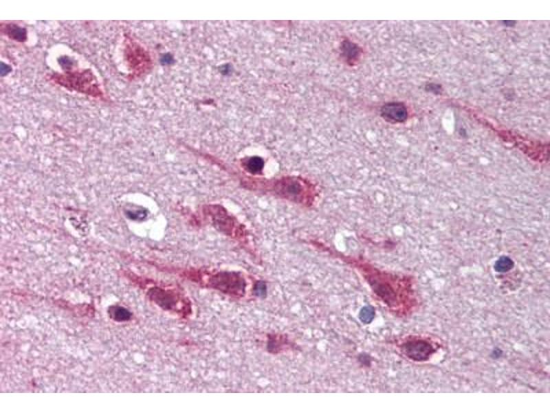
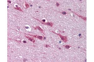
Approved: ELISA (1 μg/mL), IHC, IHC-P (20 μg/mL), WB (1 μg/mL)
Usage: Immunohistochemistry: This antibody was validated for use in immunohistochemistry on a panel of 21 formalin-fixed, paraffin-embedded (FFPE) human tissues after heat induced antigen retrieval in pH 6.0 citrate buffer. After incubation with the primary antibody, slides were incubated with biotinylated secondary antibody, followed by alkaline phosphatase-streptavidin and chromogen. The stained slides were evaluated by a pathologist to confirm staining specificity. The optimal working concentration for this antibody was determined to be 20 μg/mL. -
Commentaires
-
Target Species of Antibody: Human
-
Restrictions
- For Research Use only
-
-
-
Format
- Liquid
-
Concentration
- Lot specific
-
Buffer
- PBS, 0.01 % sodium azide, 50 % glycerol.
-
Agent conservateur
- Sodium azide
-
Précaution d'utilisation
- This product contains Sodium azide: a POISONOUS AND HAZARDOUS SUBSTANCE which should be handled by trained staff only.
-
Conseil sur la manipulation
- Avoid repeated freezing and thawing.
-
Stock
- 4 °C,-20 °C
-
Stockage commentaire
- 4°C or -20°C, Avoid freeze-thaw cycles.
-
-
- JNK2 (MAPK9) (Mitogen-Activated Protein Kinase 9 (MAPK9))
-
Autre désignation
- MAPK9 / JNK2 / SAPK
-
Sujet
-
Name/Gene ID: MAPK9
Subfamily: MAPK
Family: Protein Kinase
Synonyms: MAPK9, C-Jun kinase 2, C-Jun N-terminal kinase 2, JNK2B, JNK2, JNK2ALPHA, MAP kinase 9, p54a, JNK2BETA, PRKM9, SAPK, MAPK 9, p54aSAPK, SAPK1a, JNK-55, JNK2A, Jun kinase -
ID gène
- 5601
-
UniProt
- P45984
-
Pathways
- Signalisation MAPK, Signalisation WNT, Signalisation TLR, Fc-epsilon Receptor Signaling Pathway, Activation of Innate immune Response, Cellular Response to Molecule of Bacterial Origin, Positive Regulation of Endopeptidase Activity, Hepatitis C, Toll-Like Receptors Cascades, BCR Signaling, S100 Proteins
Antigène
-