Tel:
+49 (0)241 95 163 153
Fax:
+49 (0)241 95 163 155
E-Mail:
orders@anticorps-enligne.fr

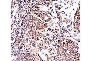
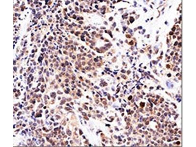
p21 anticorps

L’anticorps anti-p21 Monoclonal Souris est utilisé pour la détection de p21 dans des échantillons de Humain, Souris, Rat et Singe. Il a été validé pour IF, FACS et IHC (p).
N° du produit ABIN3026466
642,40 €
Plus frais de livraison 40,00 € et TVA
100 μg
Destination: France
Envoi sous 6 à 9 jours ouvrables

Aperçu rapide pour p21 anticorps (ABIN3026466)

Antigène

Voir toutes p21 (CDKN1A) Anticorps
p21 (CDKN1A) (Cyclin-Dependent Kinase Inhibitor 1A (p21, Cip1) (CDKN1A))

Reactivité

  • 289
  • 131
  • 106
  • 35
  • 12
  • 11
  • 4
  • 3
  • 3
  • 2
  • 1
  • 1
  • 1
  • 1
  • 1
  • 1
Humain, Souris, Rat, Singe

Hôte

  • 239
  • 72
  • 1
Souris

Clonalité

  • 200
  • 111
  • 1
Monoclonal

Conjugué

  • 111
  • 22
  • 15
  • 15
  • 10
  • 8
  • 6
  • 6
  • 6
  • 6
  • 6
  • 6
  • 6
  • 5
  • 5
  • 5
  • 5
  • 5
  • 5
  • 5
  • 5
  • 5
  • 5
  • 5
  • 5
  • 5
  • 5
  • 5
  • 5
  • 5
  • 2
  • 2
Cet anticorp p21 est non-conjugé

Application

  • 203
  • 92
  • 85
  • 78
  • 67
  • 66
  • 66
  • 40
  • 38
  • 35
  • 32
  • 27
  • 22
  • 19
  • 5
  • 2
  • 2
  • 1
  • 1
Immunofluorescence (IF), Flow Cytometry (FACS), Immunohistochemistry (Paraffin-embedded Sections) (IHC (p))

Clone

WA-1
  • Attributs du produit

    This antibody recognizes a 21 kDa protein, identified as the p21 or p21WAF1 tumor suppressor protein. This antibody is highly specific and shows no cross-reaction with other closely related mitotic inhibitors. p21 is a specific inhibitor of cdk's and a tumor suppressor involved in the pathogenesis of a variety of malignancies. The expression of this gene acts as an inhibitor of the cell cycle during G1 phase and is tightly controlled by the tumor suppressor protein p53. p21 expression is induced by the wild type, but not mutant, p53. Normal cells generally display a rather intense nuclear expression. Loss of p21 expression has been reported in many carcinomas (gastric carcinoma, non-small cell lung carcinoma, thyroid carcinoma).

    Purification

    Protein G affinity chromatography

    Immunogène

    Human recombinant protein was used as the immunogen for this p21 antibody.

    Isotype

    IgG1 kappa
  • Indications d'application

    The concentration stated for each application is a general starting point. Variations in protocols, secondaries and substrates may require the p21 antibody to be titered up or down for optimal performance.

    1. Staining of formalin-fixed tissues requires boiling tissue sections in 10  mM citrate buffer,  pH 6.0, for 10-20 min followed by cooling at RT for 20 minutes.
    2. The prediluted format is supplied in a dropper bottle and is optimized for use in IHC. After epitope retrieval step (if required), drip mAb solution onto the tissue section and incubate at RT for 30 min.\. FACS: 0.5-1 μg/million cells,IF: 1-2 μg/mL,IHC (FFPE): 0.5-1 μg/mL for 30 minutes at RT (1),Prediluted format : incubate for 30 min at RT (2)

    Restrictions

    For Research Use only
  • Concentration

    1 mg/mL

    Buffer

    1 mg/mL in 1X PBS, BSA free, sodium azide free

    Agent conservateur

    Azide free

    Stock

    4 °C,-20 °C

    Stockage commentaire

    Store the p21 antibody at 2-8°C (with azide) or aliquot and store at -20°C or colder (without azide).
  • Antigène

    p21 (CDKN1A) (Cyclin-Dependent Kinase Inhibitor 1A (p21, Cip1) (CDKN1A))

    Autre désignation

    p21

    Sujet

    This antibody recognizes a 21  kDa protein, identified as the p21 or p21WAF1 tumor suppressor protein. This antibody is highly specific and shows no cross-reaction with other closely related mitotic inhibitors. p21 is a specific inhibitor of cdk's and a tumor suppressor involved in the pathogenesis of a variety of malignancies. The expression of this gene acts as an inhibitor of the cell cycle during G1 phase and is tightly controlled by the tumor suppressor protein p53. p21 expression is induced by the wild type, but not mutant, p53. Normal cells generally display a rather intense nuclear expression. Loss of p21 expression has been reported in many carcinomas (gastric carcinoma, non-small cell lung carcinoma, thyroid carcinoma).

    ID gène

    1026

    Pathways

    Signalisation p53, Signalisation PI3K-Akt, Cycle Cellulaire, AMPK Signaling, Fc-epsilon Receptor Signaling Pathway, EGFR Signaling Pathway, Neurotrophin Signaling Pathway, Mitotic G1-G1/S Phases, DNA Replication, Hepatitis C, Synthesis of DNA, Autophagy
Vous êtes ici:
Chat with us!