Tel:
+49 (0)241 95 163 153
Fax:
+49 (0)241 95 163 155
E-Mail:
orders@anticorps-enligne.fr

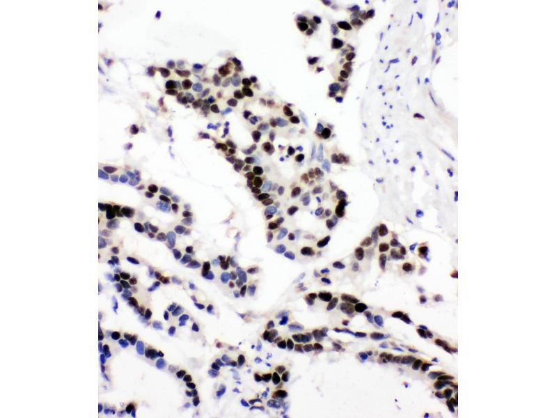
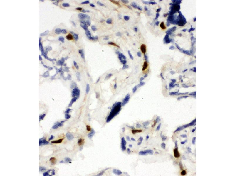
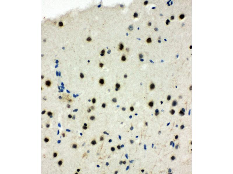
MCM6 anticorps (Middle Region)

L’anticorps anti-MCM6 Polyclonal Lapin est utilisé pour la détection de MCM6 dans des échantillons de Humain, Souris et Rat. Il a été validé pour IHC, WB, IF, ICC, FACS et IHC (fro).
N° du produit ABIN3044159
500,50 €
Plus frais de livraison 40,00 € et TVA
100 μg
Destination: France
Envoi sous 8 à 12 jours ouvrables

Aperçu rapide pour MCM6 anticorps (Middle Region) (ABIN3044159)

Antigène

Voir toutes MCM6 Anticorps
MCM6 (Minichromosome Maintenance Complex Component 6 (MCM6))

Reactivité

  • 81
  • 37
  • 32
  • 10
  • 8
  • 7
  • 7
  • 4
  • 2
  • 1
  • 1
  • 1
Humain, Souris, Rat

Hôte

  • 57
  • 20
  • 4
Lapin

Clonalité

  • 42
  • 39
Polyclonal

Conjugué

  • 50
  • 4
  • 2
  • 2
  • 2
  • 2
  • 2
  • 2
  • 2
  • 2
  • 1
  • 1
  • 1
  • 1
  • 1
  • 1
  • 1
  • 1
  • 1
  • 1
  • 1
Cet anticorp MCM6 est non-conjugé

Application

  • 65
  • 63
  • 33
  • 18
  • 17
  • 15
  • 14
  • 13
  • 11
  • 3
  • 2
  • 2
  • 1
  • 1
  • 1
  • 1
  • 1
Immunohistochemistry (IHC), Western Blotting (WB), Immunofluorescence (IF), Immunocytochemistry (ICC), Flow Cytometry (FACS), Immunohistochemistry (Frozen Sections) (IHC (fro))
  • Épitope

    • 13
    • 12
    • 8
    • 4
    • 4
    • 4
    • 3
    • 2
    • 2
    • 2
    • 1
    • 1
    • 1
    • 1
    • 1
    AA 589-605, Middle Region

    Fonction

    Anti-MCM6 Antibody

    Séquence

    ESEDFIVEQY KHLRQRD

    Réactivité croisée (Details)

    No cross-reactivity with other proteins

    Attributs du produit

    Anti-MCM6 Antibody (ABIN3044159). Tested in Flow Cytometry, IF, IHC, IHC-F, ICC, WB applications. This antibody reacts with Human, Mouse, Rat. This is a premium antibody that guarantees superior quality, high affinity, and strong signals with minimal background in Western blot applications.

    Purification

    Immunogen affinity purified.

    Immunogène

    A synthetic peptide corresponding to a sequence in the middle region of human MCM6, different from the related rat and mouse sequences by one amino acid.

    Isotype

    IgG
  • Indications d'application

    Western blot, 0.1-0.5 μg/mL, Human, Mouse, Rat
    Immunohistochemistry (Paraffin-embedded Section), 0.5-1 μg/mL, Human, Rat, Mouse
    Immunohistochemistry (Frozen Section), 0.5-1 μg/mL, Human, Rat, Mouse
    Immunocytochemistry , 0.5-1 μg/mL, Human, Mouse, Rat
    Immunocytochemistry/Immunofluorescence, 5 μg/mL, Human
    Flow Cytometry (Fixed), 1-3 μg/1x106 cells, Human

    Commentaires

    Antibody can be supported by chemiluminescence kit ABIN921124 in WB, supported by ABIN921231 in IHC(P), IHC(F) and ICC.

    Restrictions

    For Research Use only
  • Format

    Lyophilized

    Reconstitution

    Add 0.2 mL of distilled water will yield a concentration of 500 μg/mL.

    Concentration

    500 μg/mL

    Buffer

    Each vial contains 5 mg BSA, 0.9 mg NaCl, 0.2 mg Na2HPO4, 0.05 mg Thimerosal, 0.05 mg Sodium azide.

    Agent conservateur

    Thimerosal (Merthiolate), Sodium azide

    Précaution d'utilisation

    This product contains Thimerosal (Merthiolate) and Sodium azide: POISONOUS AND HAZARDOUS SUBSTANCES which should be handled by trained staff only.

    Conseil sur la manipulation

    Avoid repeated freezing and thawing.

    Stock

    4 °C,-20 °C

    Stockage commentaire

    Store at -20°C for one year from date of receipt. After reconstitution, at 4°C for one month.
    It can also be aliquotted and stored frozen at -20°C for six months. Avoid repeated freeze-thaw cycles.

    Date de péremption

    12 months
  • Antigène

    MCM6 (Minichromosome Maintenance Complex Component 6 (MCM6))

    Autre désignation

    MCM6

    Sujet

    Synonyms: DNA replication licensing factor MCM6,3.6.4.12,p105MCM,MCM6,

    Tissue Specificity: In fluids, highest levels found in milk of lactating women followed by cerebrospinal fluid, nipple aspirate fluid and breast cyst fluid. Also found in serum, seminal plasma and some amniotic fluids and breast tumor cytosolic extracts. Not detected in urine. At the tissue level, highest concentrations found in glandular tissues such as salivary glands followed by lung, colon, fallopian tube, placenta, breast, pituitary and kidney. Not detected in skin, spleen, bone, thyroid, heart, ureter, liver, muscle, endometrium, testis, pancreas, seminal vesicle, ovary, adrenals and prostate. In brain, detected in gray matter neurons (at protein level). Colocalizes with pathological inclusions such as Lewy bodies and glial cytoplasmic inclusions. Overexpressed in primary breast tumors but not expressed in metastatic tumors. .

    Background: MCM6 (Minichromosome maintenance, s. pombe, homolog of, 6) is a protein that in humans is encoded by the MCM6 gene. MCM6 is one of the highly conserved mini-chromosome maintenance proteins (MCM) that are essential for the initiation of eukaryotic genome replication. The MCM genes were originally identified in yeast defective in minichromosome maintenance and have since been shown to play roles in the progression of the cell cycle, many are cell division control genes. The MCM6 gene is mapped on 2q21.3. Mcm 6 has recently been shown to interact strongly Cdt1 at defined residues, by mutating these target residues Wei et al. observed lack of Cdt1 recruitment of Mcm2-7 to the pre-RC. An approximately 200-kb region surrounding the C/T (-13910) polymorphism in MCM6 intron 13 functioned as an enhancer of the lactase gene promoter in intestinal cell culture.

    Sequence Similarities: Belongs to the MCM family.

    Poids moléculaire

    93 kDa

    UniProt

    Q14566

    Pathways

    Réparation de l'ADN, Mitotic G1-G1/S Phases, DNA Replication, Synthesis of DNA
Vous êtes ici:
Chat with us!