Tel:
+49 (0)241 95 163 153
Fax:
+49 (0)241 95 163 155
E-Mail:
orders@anticorps-enligne.fr

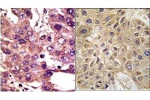
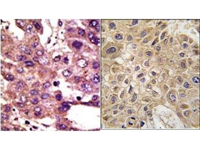
AMFR anticorps (N-Term)

L’anticorps anti-AMFR Polyclonal Lapin est utilisé pour la détection de AMFR dans des échantillons de Humain. Il a été validé pour WB, IHC (p) et EIA.
N° du produit ABIN357584
870,77 €
Plus frais de livraison 40,00 € et TVA
0.4 mL
Destination: France
Envoi sous 17 jours ouvrables

Aperçu rapide pour AMFR anticorps (N-Term) (ABIN357584)

Antigène

Voir toutes AMFR Anticorps
AMFR (Autocrine Motility Factor Receptor (AMFR))

Reactivité

  • 30
  • 9
  • 7
  • 4
  • 2
  • 2
  • 2
  • 2
  • 1
  • 1
  • 1
  • 1
  • 1
Humain

Hôte

  • 31
  • 1
Lapin

Clonalité

  • 31
  • 1
Polyclonal

Conjugué

  • 23
  • 3
  • 2
  • 2
  • 1
  • 1
Cet anticorp AMFR est non-conjugé

Application

  • 28
  • 19
  • 10
  • 4
  • 3
  • 3
  • 3
  • 3
  • 1
  • 1
  • 1
  • 1
Western Blotting (WB), Immunohistochemistry (Paraffin-embedded Sections) (IHC (p)), Enzyme Immunoassay (EIA)
  • Épitope

    • 7
    • 5
    • 3
    • 2
    • 2
    • 1
    • 1
    • 1
    • 1
    • 1
    • 1
    • 1
    • 1
    • 1
    • 1
    • 1
    • 1
    N-Term

    Specificité

    This antibody is specific to AMFR (N-term).

    Purification

    Protein G Chromatography, eluted with high and low pH buffers and neutralized immediately, followed by dialysis against PBS.

    Immunogène

    This antibody is generated from rabbits immunized with a KLH conjugated synthetic peptide selected from the N-terminal region of human AMFR.

    Isotype

    Ig Fraction
  • Indications d'application

    ELISA: 1/1,000. Western Blot: 1/100-1/500. Immunohistochemistry: 1/50-1/100.
    Other applications not tested.
    Optimal dilutions are dependent on conditions and should be determined by the user.

    Restrictions

    For Research Use only
  • Format

    Liquid

    Concentration

    0.25 mg/mL

    Buffer

    PBS with 0.09 % (W/V) Sodium Azide as preservative.

    Agent conservateur

    Sodium azide

    Précaution d'utilisation

    This product contains sodium azide: a POISONOUS AND HAZARDOUS SUBSTANCE which should be handled by trained staff only.

    Conseil sur la manipulation

    Avoid repeated freezing and thawing.

    Stock

    4 °C/-20 °C

    Stockage commentaire

    Store the antibody undiluted at 2-8 °C for one month or (in aliquots) at-20 °C for longer.
  • Antigène

    AMFR (Autocrine Motility Factor Receptor (AMFR))

    Autre désignation

    AMFR / RNF45

    Sujet

    Autocrine motility factor (AMF) is a protein secreted by tumor cells that stimulates tumor motility. The gene for AMFR encodes a 323-amino acid polypeptide that has a single transmembrane domain and several putative glycosylation sites. The protein sequence has some homology to human tumor protein p53.Synonyms: AMF receptor isoform 2, Autocrine motility factor receptor isoform 2, RING finger protein 45, gp78

    Poids moléculaire

    34325 Da

    ID gène

    267

    NCBI Accession

    NP_001135

    UniProt

    Q9UKV5

    Pathways

    ER-Nucleus Signaling
Vous êtes ici:
Chat with us!