HMGB1 anticorps (AA 1-216)
Aperçu rapide pour HMGB1 anticorps (AA 1-216) (ABIN574266)
Antigène
Voir toutes HMGB1 AnticorpsReactivité
Hôte
Clonalité
Conjugué
Application
Clone
-
-
Épitope
- AA 1-216
-
Purification
- Purified from ascites by Protein A
-
Immunogène
-
HMGB1 (AAH03378, 1 a.a. ~ 216 a.a) full length recombinant protein with GST tag. MW of the GST tag alone is 26 KDa.
Type of Immunogen: Recombinant protein -
Isotype
- IgG2a kappa
-
-
-
-
Indications d'application
-
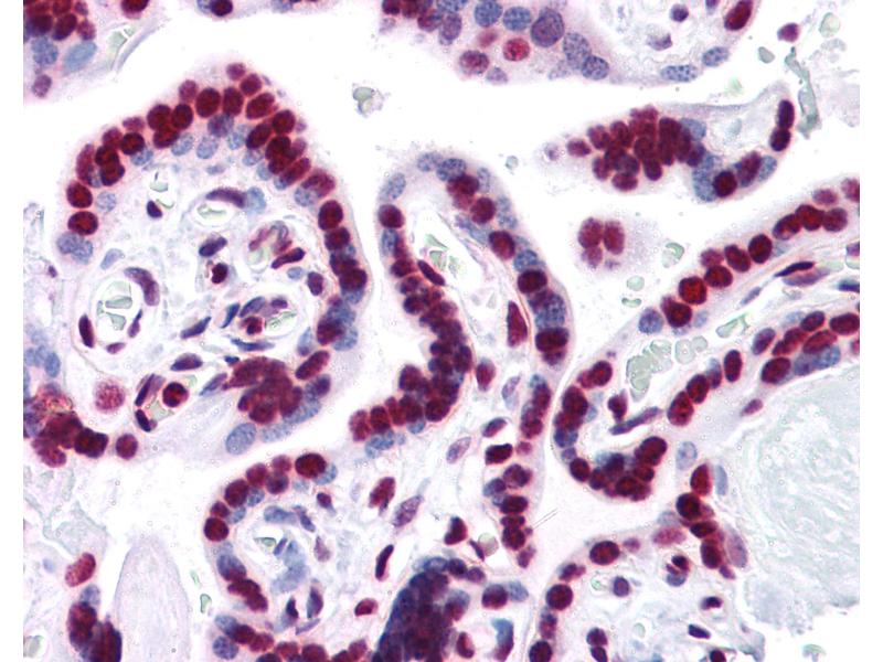
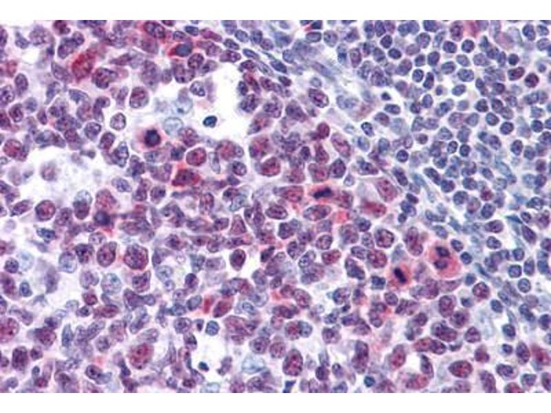
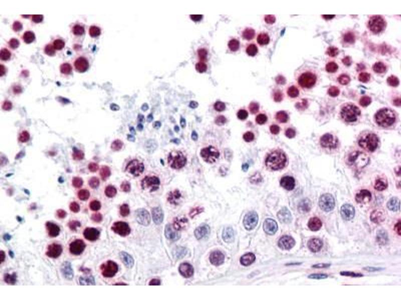
Approved: ELISA, IF (10 μg/mL), IHC, IHC-P (5 μg/mL), WB
Usage: Western Blot (Cell lysate) - positive control K-562. Western Blot (Transfected lysate) - positive control transfected 293T cell line. Immunofluorescence (10 μg/mL) - positive control HeLa cells. -
Commentaires
-
Target Species of Antibody: Human
-
Restrictions
- For Research Use only
-
-
-
Format
- Liquid
-
Concentration
- Lot specific
-
Buffer
- PBS, pH 7.4.
-
Conseil sur la manipulation
- Aliquot to Avoid freeze/thaw cycles.
-
Stock
- -20 °C
-
Stockage commentaire
- Store at -20°C. Aliquot to avoid freeze/thaw cycles.
-
-
- HMGB1 (High Mobility Group Box 1 (HMGB1))
-
Autre désignation
- HMG1 / HMGB1
-
Sujet
-
Name/Gene ID: HMGB1
Synonyms: HMGB1, Amphoterin, High mobility group protein B1, High mobility group box 1, High mobility group protein 1, HMG1, HMG3, SBP-1, High-mobility group box 1, HMG-1 -
ID gène
- 3146
-
UniProt
- P09429
-
Pathways
- Signalisation p53, Regulation of Muscle Cell Differentiation, Skeletal Muscle Fiber Development, Positive Regulation of Endopeptidase Activity, Regulation of Carbohydrate Metabolic Process, Toll-Like Receptors Cascades, Smooth Muscle Cell Migration, Inflammasome
Antigène
-