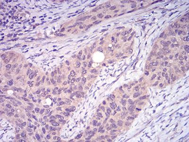
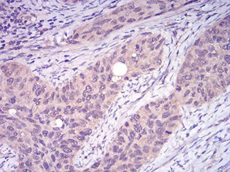
TRAF2 anticorps (AA 39-188)
Aperçu rapide pour TRAF2 anticorps (AA 39-188) (ABIN5896378)
Antigène
Voir toutes TRAF2 AnticorpsReactivité
Hôte
Clonalité
Conjugué
Application
-
-
Épitope
- AA 39-188
-
Attributs du produit
- Isotype: Mouse IgG1
-
Immunogène
- Purified recombinant fragment of human TRAF2 (AA: 39-188) expressed in E. Coli.
-
Isotype
- IgG1
-
-
-
-
Restrictions
- For Research Use only
-
-
-
Format
- Liquid
-
Buffer
- Purified antibody in PBS with 0.05 % sodium azide.
-
Agent conservateur
- Sodium azide
-
Précaution d'utilisation
- This product contains Sodium azide: a POISONOUS AND HAZARDOUS SUBSTANCE which should be handled by trained staff only.
-
Stock
- -20 °C
-
Stockage commentaire
- Aliquot and store at -20 °C. Avoid repeated freeze/thaw cycles.
-
-
- TRAF2 (TNF Receptor-Associated Factor 2 (TRAF2))
-
Autre désignation
- TRAF2
-
Poids moléculaire
- 55.8KD
-
ID gène
- 7186
-
UniProt
- Q12933
-
Pathways
- Signalisation NF-kappaB, Apoptose, Caspase Cascade in Apoptosis, Regulation of Leukocyte Mediated Immunity, Positive Regulation of Immune Effector Process, Production of Molecular Mediator of Immune Response, Positive Regulation of Endopeptidase Activity, Hepatitis C, Unfolded Protein Response, S100 Proteins
Antigène
-