EGFR anticorps
Aperçu rapide pour EGFR anticorps (ABIN6939295)
Antigène
Voir toutes EGFR AnticorpsReactivité
Hôte
Clonalité
Conjugué
Application
Clone
-
-
Specificité
- This MAb recognizes a protein of 170 kDa, identified as EGFR. EGFR is type I receptor tyrosine kinase with sequence homology to erbB-1, -2, -3 -4 or HER-1, -2, -3 -4. It binds to Epidermal Growth Factor (EGF), Transforming Growth Factor-a (TGF-a), Heparin-binding EGF (HB-EGF), amphiregulin, betacellulin and epiregulin. EGFR is overexpressed in tumors of breast, brain, bladder, lung, gastric, head neck, esophagus, cervix, vulva, ovary, and endometrium. It is predominantly present in squamous cell carcinomas.
-
Purification
- Purified by Protein A/G
-
Immunogène
- Recombinant full-length human EGFR protein
-
Isotype
- IgG1 kappa
-
-
-
-
Indications d'application
-
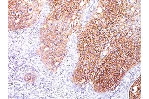
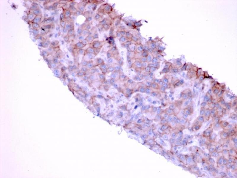
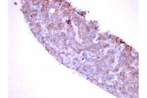
Positive Control: A431 cells. Placenta, breast, colon or bladder cancer (IHC).
Known Application: Immunohistochemistry (Formalin-fixed) (1-2 μg/mL for 30 minutes at RT)(Staining of formalin-fixed tissues requires boiling tissue sections in 10 mM citrate buffer, pH 6.0, for 10-20 min followed by cooling at RT for 20 minutes)Optimal dilution for a specific application should be determined.
-
Restrictions
- For Research Use only
-
-
-
Concentration
- 200 μg/mL
-
Buffer
- 10 mM PBS with 0.05 % BSA & 0.05 % azide.
-
Agent conservateur
- Sodium azide
-
Précaution d'utilisation
- This product contains Sodium azide: a POISONOUS AND HAZARDOUS SUBSTANCE which should be handled by trained staff only.
-
Stock
- 4 °C,-80 °C
-
Stockage commentaire
- Antibody with azide - store at 2 to 8°C. Antibody without azide - store at -20 to -80°C. Antibody is stable for 24 months. Non-hazardous. No MSDS required.
-
Date de péremption
- 24 months
-
-
- EGFR (Epidermal Growth Factor Receptor (EGFR))
-
Autre désignation
- EGFR
-
Poids moléculaire
- ~170kDa (wild type) and ~145kDa (vIII variant)
-
ID gène
- 1956
-
UniProt
- P00533
-
Pathways
- Signalisation NF-kappaB, Signalisation RTK, Fc-epsilon Receptor Signaling Pathway, EGFR Signaling Pathway, Neurotrophin Signaling Pathway, Stem Cell Maintenance, Hepatitis C, Positive Regulation of Response to DNA Damage Stimulus, Interaction of EGFR with phospholipase C-gamma, Thromboxane A2 Receptor Signaling, EGFR Downregulation, S100 Proteins
Antigène
-