Recombinant BRAF anticorps
Aperçu rapide pour Recombinant BRAF anticorps (ABIN7127359)
Antigène
Voir toutes BRAF AnticorpsType d'anticorp
Reactivité
Hôte
Clonalité
Conjugué
Application
Clone
-
-
Fonction
- BRAF Recombinant Monoclonal Antibody
-
Purification
- Affinity-chromatography
-
Immunogène
- A synthesized peptide derived from human B Raf
-
Isotype
- IgG
-
-
-
-
Indications d'application
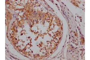
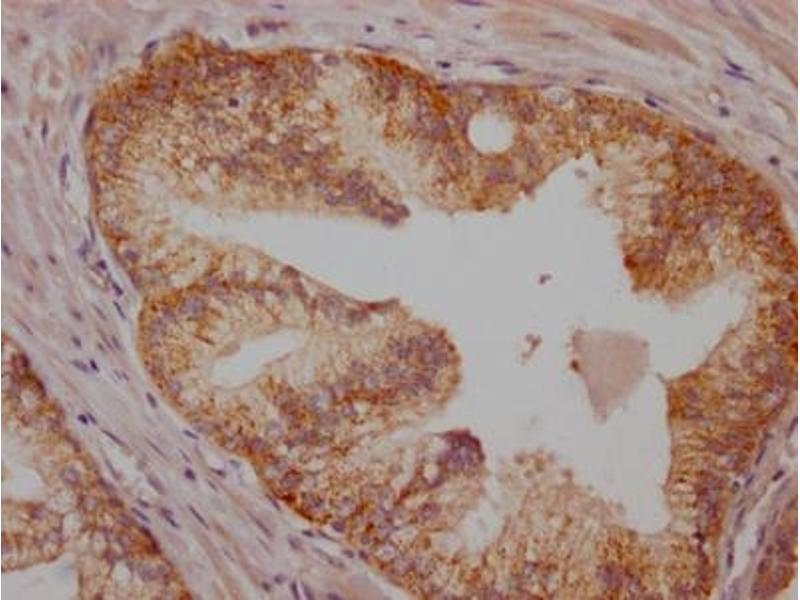
- IHC:1:50-1:200
-
Restrictions
- For Research Use only
-
-
-
Format
- Liquid
-
Buffer
- phosphate buffered saline, pH 7.4, 150 mM NaCl, 0.02 % sodium azide and 50 % glycerol.
-
Agent conservateur
- Sodium azide
-
Précaution d'utilisation
- This product contains Sodium azide: a POISONOUS AND HAZARDOUS SUBSTANCE which should be handled by trained staff only.
-
Stock
- -20 °C,-80 °C
-
Stockage commentaire
- Upon receipt, store at -20°C or -80°C. Avoid repeated freeze.
-
-
- BRAF (B-Raf proto-oncogene, serine/threonine kinase (BRAF))
-
Autre désignation
- BRAF
-
Sujet
-
Background: Protein kinase involved in the transduction of mitogenic signals from the cell membrane to the nucleus. May play a role in the postsynaptic responses of hippocampal neuron. Phosphorylates MAP2K1, and thereby contributes to the MAP kinase signal transduction pathway.
Aliases: Serine/threonine-protein kinase B-raf (EC 2.7.11.1) (Proto-oncogene B-Raf) (p94) (v-Raf murine sarcoma viral oncogene homolog B1), BRAF, BRAF1 RAFB1
-
UniProt
- P15056
-
Pathways
- Signalisation MAPK, Signalisation RTK, Neurotrophin Signaling Pathway, Ribonucleoprotein Complex Subunit Organization, Hepatitis C, Autophagy
Antigène
-