Recombinant CREB1 anticorps (pSer133)
Aperçu rapide pour Recombinant CREB1 anticorps (pSer133) (ABIN7127685)
Antigène
Voir toutes CREB1 AnticorpsType d'anticorp
Reactivité
Hôte
Clonalité
Conjugué
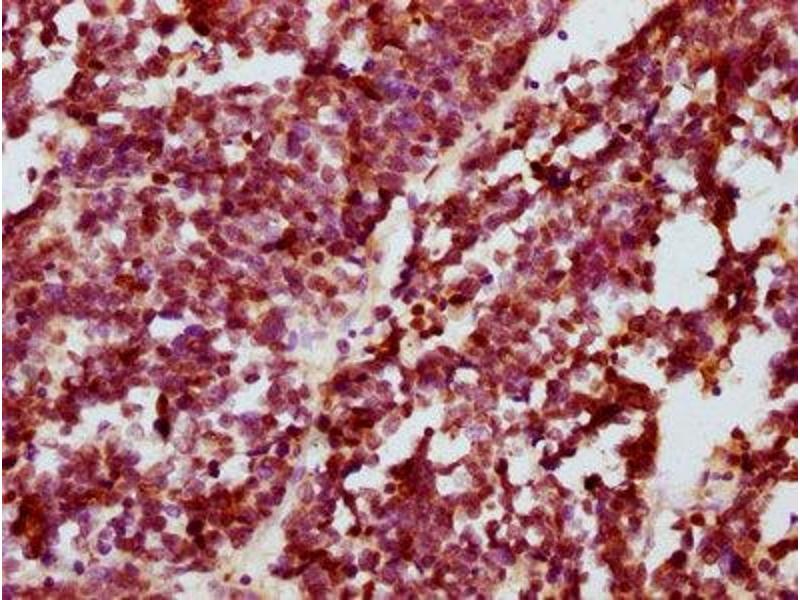
Application
Clone
-
-
Épitope
- pSer133
-
Fonction
- Phospho-CREB1 (S133) Recombinant Monoclonal Antibody
-
Purification
- Affinity-chromatography
-
Immunogène
- A synthesized peptide derived from human Phospho-CREB1 (S133)
-
Isotype
- IgG
-
-
-
-
Indications d'application
- WB:1:500-1:5000, IHC:1:50-1:200, IF:1:20-1:200
-
Restrictions
- For Research Use only
-
-
-
Format
- Liquid
-
Buffer
- phosphate buffered saline , pH 7.4, 150 mM NaCl, 0.02 % sodium azide and 50 % glycerol.
-
Agent conservateur
- Sodium azide
-
Précaution d'utilisation
- This product contains Sodium azide: a POISONOUS AND HAZARDOUS SUBSTANCE which should be handled by trained staff only.
-
Stock
- -20 °C,-80 °C
-
Stockage commentaire
- Upon receipt, store at -20°C or -80°C. Avoid repeated freeze.
-
-
- CREB1 (cAMP Responsive Element Binding Protein 1 (CREB1))
-
Autre désignation
- CREB1
-
Sujet
-
Background: Phosphorylation-dependent transcription factor that stimulates transcription upon binding to the DNA cAMP response element (CRE), a sequence present in many viral and cellular promoters. Transcription activation is enhanced by the TORC coactivators which act independently of Ser-133 phosphorylation. Involved in different cellular processes including the synchronization of circadian rhythmicity and the differentiation of adipose cells.
Aliases: Cyclic AMP-responsive element-binding protein 1, CREB-1, cAMP-responsive element-binding protein 1, CREB1
-
UniProt
- P16220
-
Pathways
- Signalisation TLR, Fc-epsilon Receptor Signaling Pathway, EGFR Signaling Pathway, Neurotrophin Signaling Pathway, Thyroid Hormone Synthesis, Activation of Innate immune Response, Myometrial Relaxation and Contraction, Regulation of Cell Size, Toll-Like Receptors Cascades, G-protein mediated Events, Interaction of EGFR with phospholipase C-gamma, Positive Regulation of fat Cell Differentiation
Antigène
-