Tel:
+49 (0)241 95 163 153
Fax:
+49 (0)241 95 163 155
E-Mail:
orders@anticorps-enligne.fr

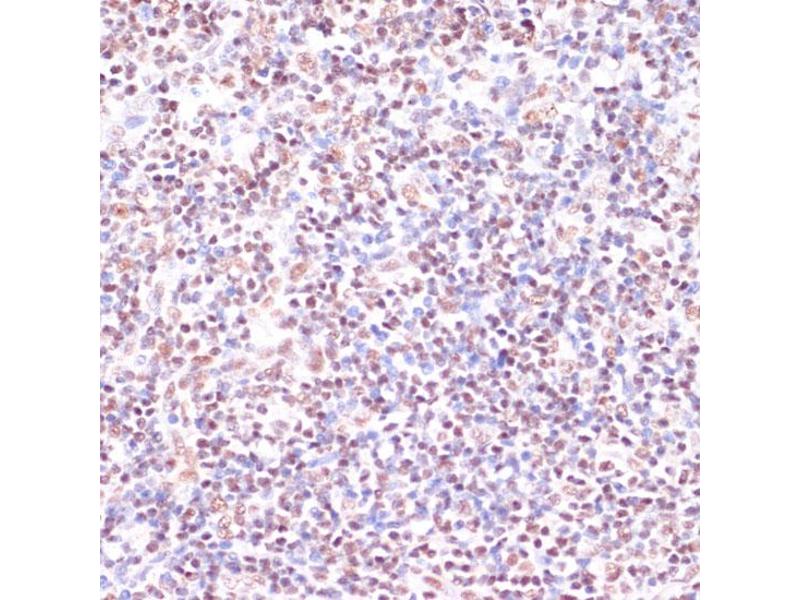
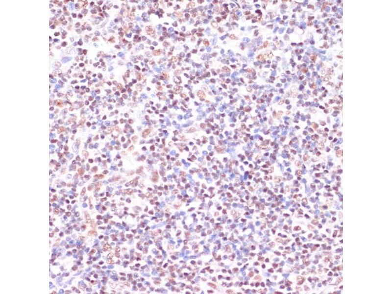
CREB1 anticorps (AA 1-341)

L’anticorps anti-CREB1 Polyclonal Lapin est utilisé pour la détection de CREB1 dans des échantillons de Humain. Il a été validé pour WB, IHC, IF et IP.
N° du produit ABIN7266053
320,00 €
Plus frais de livraison 40,00 € et TVA
Destination: France
Envoi sous 8 à 10 jours ouvrables

Aperçu rapide pour CREB1 anticorps (AA 1-341) (ABIN7266053)

Antigène

Voir toutes CREB1 Anticorps
CREB1 (cAMP Responsive Element Binding Protein 1 (CREB1))

Reactivité

  • 295
  • 229
  • 183
  • 33
  • 25
  • 20
  • 16
  • 15
  • 13
  • 10
  • 10
  • 10
  • 8
  • 5
  • 4
  • 3
  • 1
  • 1
Humain

Hôte

  • 267
  • 34
  • 1
  • 1
Lapin

Clonalité

  • 222
  • 81
Polyclonal

Conjugué

  • 152
  • 15
  • 10
  • 9
  • 9
  • 8
  • 8
  • 7
  • 7
  • 7
  • 7
  • 5
  • 5
  • 5
  • 5
  • 5
  • 5
  • 5
  • 5
  • 5
  • 5
  • 5
  • 3
  • 3
  • 3
Cet anticorp CREB1 est non-conjugé

Application

  • 252
  • 112
  • 103
  • 92
  • 66
  • 57
  • 56
  • 45
  • 42
  • 40
  • 16
  • 6
  • 3
  • 2
  • 2
  • 2
  • 1
  • 1
  • 1
Western Blotting (WB), Immunohistochemistry (IHC), Immunofluorescence (IF), Immunoprecipitation (IP)
  • Épitope

    • 69
    • 28
    • 20
    • 17
    • 16
    • 16
    • 11
    • 8
    • 7
    • 5
    • 4
    • 3
    • 3
    • 3
    • 3
    • 2
    • 2
    • 2
    • 2
    • 2
    • 2
    • 2
    • 2
    • 2
    • 2
    • 2
    • 2
    • 2
    • 1
    • 1
    • 1
    • 1
    • 1
    • 1
    • 1
    • 1
    • 1
    • 1
    • 1
    • 1
    • 1
    • 1
    • 1
    • 1
    • 1
    • 1
    • 1
    • 1
    • 1
    • 1
    AA 1-341

    Fonction

    CREB1 Rabbit pAb

    Séquence

    MTMESGAENQ QSGDAAVTEA ENQQMTVQAQ PQIATLAQVS MPAAHATSSA PTVTLVQLPN GQTVQVHGVI QAAQPSVIQS PQVQTVQSSC KDLKRLFSGT QISTIAESED SQESVDSVTD SQKRREILSR RPSYRKILND LSSDAPGVPR IEEEKSEEET SAPAITTVTV PTPIYQTSSG QYIAITQGGA IQLANNGTDG VQGLQTLTMT NAAATQPGTT ILQYAQTTDG QQILVPSNQV VVQAASGDVQ TYQIRTAPTS TIAPGVVMAS SPALPTQPAE EAARKREVRL MKNREAAREC RRKKKEYVKC LENRVAVLEN QNKTLIEELK ALKDLYCHKS D

     Réactivité croisée

    Humain, Souris, Rat

    Attributs du produit

    Polyclonal Antibodies

    Purification

    Affinity purification

    Immunogène

    Recombinant fusion protein containing a sequence corresponding to amino acids 1-341 of human CREB1 (NP_604391.1).

    Isotype

    IgG
  • Indications d'application

    WB,1:500 - 1:2000,IHC,1:50 - 1:200,IF,1:50 - 1:200,IP,1:50 - 1:100

    Restrictions

    For Research Use only
  • Format

    Liquid

    Buffer

    PBS with 0.02 % sodium azide,50 % glycerol, pH 7.3.

    Agent conservateur

    Sodium azide

    Précaution d'utilisation

    This product contains Sodium azide: a POISONOUS AND HAZARDOUS SUBSTANCE which should be handled by trained staff only.

    Stock

    -20 °C

    Stockage commentaire

    Store at -20°C. Avoid freeze / thaw cycles.
  • Antigène

    CREB1 (cAMP Responsive Element Binding Protein 1 (CREB1))

    Autre désignation

    CREB1

    Sujet

    This gene encodes a transcription factor that is a member of the leucine zipper family of DNA binding proteins. This protein binds as a homodimer to the cAMP-responsive element, an octameric palindrome. The protein is phosphorylated by several protein kinases, and induces transcription of genes in response to hormonal stimulation of the cAMP pathway. Alternate splicing of this gene results in several transcript variants encoding different isoforms.,CREB1,CREB,CREB-1,Epigenetics & Nuclear Signaling,Transcription Factors,Signal Transduction,G protein signaling,ErbB-HER Signaling Pathway,MAPK-Erk Signaling Pathway,MAPK-P38 Signaling Pathway,Cell Biology & Developmental Biology,Apoptosis,Inhibition of Apoptosis,Notch Signaling Pathway,Endocrine & Metabolism,Mitochondrial metabolism,Immunology & Inflammation,B Cell Receptor Signaling Pathway,T Cell Receptor Signaling Pathway,Toll-like Receptor Signaling Pathway,Cell Intrinsic Innate Immunity Signaling Pathway,TLR Signaling,Neuroscience,Neurodegenerative Diseases,Dopamine Signaling in Parkinson's Disease,CREB1

    Poids moléculaire

    25kDa/35kDa/36kDa

    ID gène

    1385

    UniProt

    P16220

    Pathways

    Signalisation TLR, Fc-epsilon Receptor Signaling Pathway, EGFR Signaling Pathway, Neurotrophin Signaling Pathway, Thyroid Hormone Synthesis, Activation of Innate immune Response, Myometrial Relaxation and Contraction, Regulation of Cell Size, Toll-Like Receptors Cascades, G-protein mediated Events, Interaction of EGFR with phospholipase C-gamma, Positive Regulation of fat Cell Differentiation
Vous êtes ici:
Chat with us!