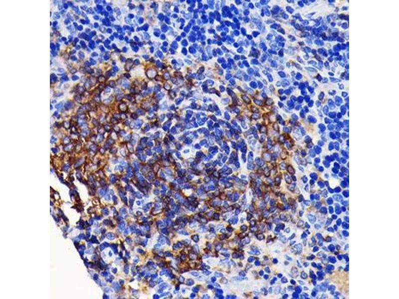
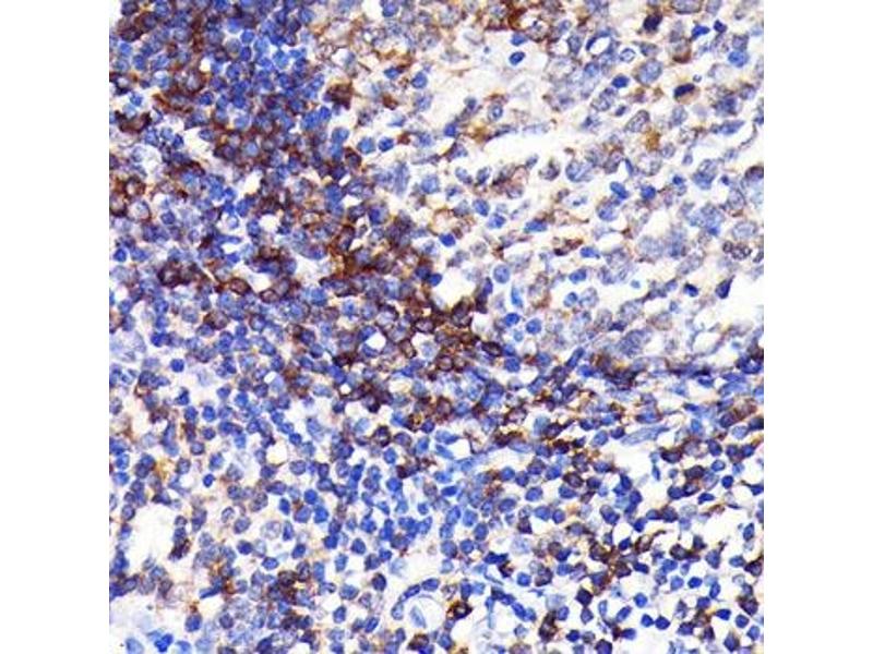
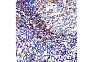
SHP1 anticorps
Aperçu rapide pour SHP1 anticorps (ABIN7269716)
Antigène
Voir toutes SHP1 (PTPN6) AnticorpsReactivité
Hôte
Clonalité
Conjugué
Application
-
-
Fonction
- SHP1 Rabbit mAb
-
Réactivité croisée
- Humain, Souris, Rat
-
Attributs du produit
- Monoclonal Antibodies
-
Purification
- Affinity purification
-
Immunogène
- A synthesized peptide derived from human SHP1
-
Isotype
- IgG
-
-
-
-
Indications d'application
- WB,1:500 - 1:2000,IHC,1:50 - 1:200,IF,1:50 - 1:200
-
Restrictions
- For Research Use only
-
-
-
Format
- Liquid
-
Buffer
- PBS with 0.02 % sodium azide,0.05 % BSA,50 % glycerol, pH 7.3.
-
Agent conservateur
- Sodium azide
-
Précaution d'utilisation
- This product contains Sodium azide: a POISONOUS AND HAZARDOUS SUBSTANCE which should be handled by trained staff only.
-
Stock
- -20 °C
-
Stockage commentaire
- Store at -20°C. Avoid freeze / thaw cycles.
-
-
- SHP1 (PTPN6) (Protein-tyrosine Phosphatase 1C (PTPN6))
-
Autre désignation
- PTPN6
-
Sujet
- The protein encoded by this gene is a member of the protein tyrosine phosphatase (PTP) family. PTPs are known to be signaling molecules that regulate a variety of cellular processes including cell growth, differentiation, mitotic cycle, and oncogenic transformation. N-terminal part of this PTP contains two tandem Src homolog (SH2) domains, which act as protein phospho-tyrosine binding domains, and mediate the interaction of this PTP with its substrates. This PTP is expressed primarily in hematopoietic cells, and functions as an important regulator of multiple signaling pathways in hematopoietic cells. This PTP has been shown to interact with, and dephosphorylate a wide spectrum of phospho-proteins involved in hematopoietic cell signaling. Multiple alternatively spliced variants of this gene, which encode distinct isoforms, have been reported. [provided by RefSeq, Jul 2008],HCP,HCPH,HPTP1C,PTP-1C,SH-PTP1,SHP-1,SHP-1L,SHP1,CTCN6,PTPN6,Apoptosis,B Cell Receptor Signaling Pathway,Cancer,Cell Biology & Developmental Biology,Cell Cycle,G protein signaling,G protein signaling_G-Protein-Coupled Receptors(GPCR),IL-6 Receptor Signaling Pathway,Immunology & Inflammation,Kinase,Kinase_Tyrosine kinases,Protein phosphorylation,Signal Transduction,PTPN6
-
Poids moléculaire
- 68kDa
-
ID gène
- 5777
-
UniProt
- P29350
-
Pathways
- Signalistation JAK/STAT, TCR Signaling, Signalisation TLR, Nuclear Receptor Transcription Pathway, Positive Regulation of Peptide Hormone Secretion, Steroid Hormone Mediated Signaling Pathway, Response to Growth Hormone Stimulus, Regulation of Leukocyte Mediated Immunity, CXCR4-mediated Signaling Events, Signaling Events mediated by VEGFR1 and VEGFR2, BCR Signaling
Antigène
-