BCL10 anticorps
Aperçu rapide pour BCL10 anticorps (ABIN7797715)
Antigène
Voir toutes BCL10 AnticorpsReactivité
Hôte
Clonalité
Conjugué
Application
Classe de qualité
Clone
-
-
Fonction
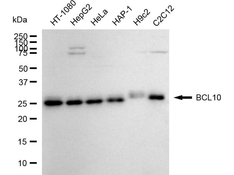
- KD-Validated BCL10 Mouse mAb
-
Réactivité croisée
- Souris, Rat
-
Purification
- Affinity Purified
-
Immunogène
- Recombinant protein of human BCL10
-
Isotype
- IgG1 kappa
-
-
-
-
Indications d'application
- Western Blotting (WB): 1:1,000-1:5,000, Flow Cytometry (FCM): 1:200-1:2,000
-
Commentaires
-
We assess the antibodies’ specificity and selectivity using knockdown techniques. Our validation approach is straightforward: if an antibody identifies a signal in wild-type (WT) cells, but this signal is absent or noticeably reduced in gene-silenced (KD) cells, we consider the antibody to be highly specific.
-
Restrictions
- For Research Use only
-
-
-
Format
- Liquid
-
Buffer
- PBS (pH 7.4) containing 50% glycerol and 0.02% sodium azide.
-
Agent conservateur
- Sodium azide
-
Précaution d'utilisation
- This product contains Sodium azide: a POISONOUS AND HAZARDOUS SUBSTANCE which should be handled by trained staff only.
-
Stock
- -20 °C
-
Stockage commentaire
- Store at -20 °C for one year.
-
Date de péremption
- 12 months
-
-
- BCL10 (B-Cell CLL/lymphoma 10 (BCL10))
-
Autre désignation
- BCL10
-
Poids moléculaire
- 26 kDa
-
ID gène
- 8915
-
UniProt
- O95999
-
Pathways
- TCR Signaling, Fc-epsilon Receptor Signaling Pathway, Activation of Innate immune Response, Positive Regulation of Immune Effector Process, Production of Molecular Mediator of Immune Response, Tube Formation, Positive Regulation of Endopeptidase Activity, BCR Signaling, Ubiquitin Proteasome Pathway, S100 Proteins
Antigène
-