C-JUN anticorps
Aperçu rapide pour C-JUN anticorps (ABIN968994)
Antigène
Voir toutes C-JUN (JUN) AnticorpsReactivité
Hôte
Clonalité
Conjugué
Application
Clone
-
-
Fonction
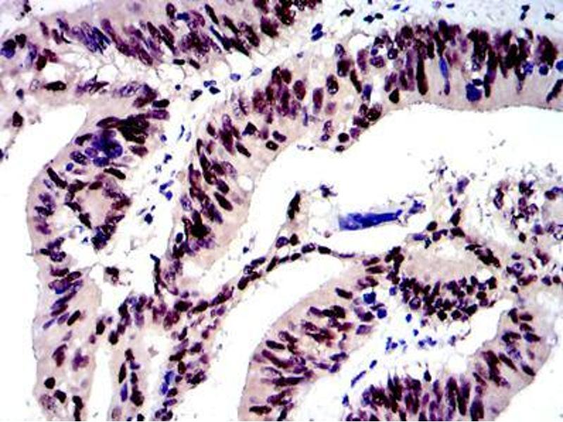
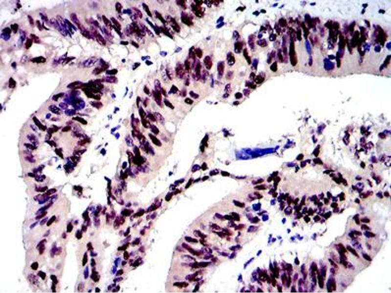
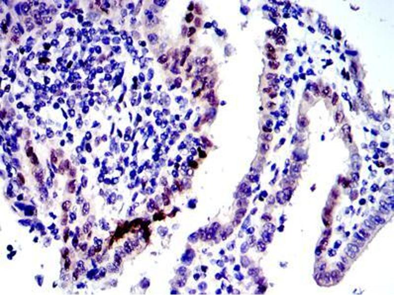
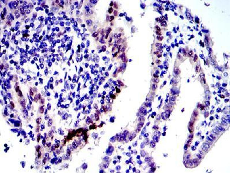
- c-Jun Antibody
-
Purification
- Ascitic fluid
-
Immunogène
- Purified recombinant fragment of human c-Jun expressed in E. Coli.
-
Isotype
- IgG1
-
-
-
-
Indications d'application
-
ELISA: 1/10000
FCM: 1/200 - 1/400
ICC: 1/200 - 1/1000
-
Restrictions
- For Research Use only
-
-
-
Format
- Liquid
-
Buffer
- Ascitic fluid containing 0.03 % sodium azide.
-
Agent conservateur
- Sodium azide
-
Précaution d'utilisation
- This product contains Sodium azide: a POISONOUS AND HAZARDOUS SUBSTANCE which should be handled by trained staff only.
-
Stock
- 4 °C,-20 °C
-
Stockage commentaire
- Store at 4°C short term. Aliquot and store at -20°C long term. Avoid freeze/thaw cycles.
-
-
-
: "c-Jun induces mammary epithelial cellular invasion and breast cancer stem cell expansion." dans: The Journal of biological chemistry, Vol. 285, Issue 11, pp. 8218-26, (2010) (PubMed).
-
-
- C-JUN (JUN) (Jun Proto-Oncogene (JUN))
-
Autre désignation
- c-Jun
-
Sujet
- This gene is the putative transforming gene of avian sarcoma virus 17. It encodes a protein which is highly similar to the viral protein, and which interacts directly with specific target DNA sequences to regulate gene expression. This gene is intronless and is mapped to 1p32-p31, a chromosomal region involved in both translocations and deletions in human malignancies.
-
Poids moléculaire
- 43 kDa
-
ID gène
- 3725
-
UniProt
- P05412
-
Pathways
- Signalisation MAPK, Signalisation RTK, Signalisation WNT, Fc-epsilon Receptor Signaling Pathway, Activation of Innate immune Response, Myometrial Relaxation and Contraction, Skeletal Muscle Fiber Development, Protein targeting to Nucleus, Toll-Like Receptors Cascades, Autophagy, Signaling of Hepatocyte Growth Factor Receptor, BCR Signaling, S100 Proteins
Antigène
-