Tel:
+49 (0)241 95 163 153
Fax:
+49 (0)241 95 163 155
E-Mail:
orders@anticorps-enligne.fr

CD73 Anticorps

(5'-Nucleotidase, Ecto (CD73) (NT5E))

Choisissez l’un des 240 anticorps CD73 de notre liste de produits basés sur 65 publications et 144 images de validation.

Découvrez des anticorps CD73 fiables issus d’une large sélection de fabricants renommés. Notre portefeuille permet une détection précise de CD73 dans plusieurs espèces, y compris Human, Mouse, Rat, Cow, Dog, Sheep, Non-Human Primate, Rabbit, Bat, Horse, Monkey, Pig, Zebrafish (Danio rerio), et prend en charge diverses applications de recherche telles que WB, FACS, IHC, ELISA, IF.

Trouvez rapidement l’anticorps adapté grâce à nos outils de recherche, de filtrage et de comparaison. Chaque page produit fournit des données de validation détaillées, des références bibliographiques et des retours d’utilisateurs. Contrairement aux ressources dédiées uniquement à la comparaison, vous pouvez acheter directement les anticorps sur notre site. Choisissez parmi des anticorps polyclonaux, monoclonaux ou recombinants CD73, issus de différents hôtes tels que Rabbit, Mouse, Rat. Parcourez nos produits ci-dessous et commandez directement pour soutenir vos recherches en toute confiance.

Les noms alternatifs de CD73 sont NT5E, nt5e, nt5e.S, PSPTO_2277, CBU_1233, MCA1322, Nt5e.

240 Résultats

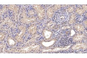
NT5E Reactivité: Humain, Souris WB, IHC (p) Hôte: Lapin Polyclonal RB02846 unconjugated
Pubmed 11 références
N° du produit ABIN388750
434,77 €
Plus frais de livraison 40,00 € et TVA
400 μL (Autres quantités disponibles)
Destination: France
Envoi sous 14 à 17 jours ouvrables
 
NT5E Reactivité: Humain WB, IHC, ELISA Hôte: Souris Monoclonal 4G6B10 unconjugated
Pubmed 1 reference
N° du produit ABIN1724945
498,33 €
Plus frais de livraison 40,00 € et TVA
100 μL
Destination: France
Envoi sous 7 à 10 jours ouvrables
 
NT5E Reactivité: Humain WB, IHC, ICC, IP Hôte: Lapin Polyclonal unconjugated
N° du produit ABIN7433327
298,22 €
Plus frais de livraison 40,00 € et TVA
100 μL (Autres quantités disponibles)
Destination: France
Envoi sous 11 à 15 jours ouvrables
 
NT5E Reactivité: Humain WB, IHC, FACS, IF, StM Hôte: Souris Monoclonal NT5E-2503 unconjugated
N° du produit ABIN6940227
639,45 €
Plus frais de livraison 40,00 € et TVA
100 μg (Autres quantités disponibles)
Destination: France
Envoi sous 6 à 10 jours ouvrables
 
NT5E Reactivité: Humain WB, IHC, FACS, IF, ELISA, StM, Coat Hôte: Souris Monoclonal NT5E-2545 unconjugated
N° du produit ABIN6940229
639,45 €
Plus frais de livraison 40,00 € et TVA
100 μg (Autres quantités disponibles)
Destination: France
Envoi sous 6 à 10 jours ouvrables
 
NT5E Reactivité: Humain WB, IHC Hôte: Lapin Polyclonal unconjugated
N° du produit ABIN3022734
385,00 €
Plus frais de livraison 40,00 € et TVA
100 μL (Autres quantités disponibles)
Destination: France
Envoi sous 8 à 10 jours ouvrables
 
NT5E Reactivité: Humain WB, IHC, FACS, ELISA Hôte: Souris Monoclonal 4G6E3 unconjugated
N° du produit ABIN2683003
498,33 €
Plus frais de livraison 40,00 € et TVA
100 μL
Destination: France
Envoi sous 7 à 10 jours ouvrables
 
NT5E Reactivité: Boeuf (Vache) WB, IHC, ICC, IP Hôte: Lapin Polyclonal unconjugated
N° du produit ABIN7443008
343,05 €
Plus frais de livraison 40,00 € et TVA
100 μL (Autres quantités disponibles)
Destination: France
Envoi sous 11 à 15 jours ouvrables
 
NT5E Reactivité: Humain, Non-Human Primate FACS Hôte: Souris Monoclonal AD2 PE
Pubmed 9 références
N° du produit ABIN1176840
418,97 €
Plus frais de livraison 40,00 € et TVA
100 tests
Destination: France
Envoi sous 2 à 4 jours ouvrables
 
NT5E Reactivité: Humain, Souris, Rat, Boeuf (Vache), Chien, Mouton WB, FACS, ELISA, ICC, IHC (p), IF (p), IF (cc), IHC (fro) Hôte: Lapin Polyclonal unconjugated
Pubmed 13 références
N° du produit ABIN1385637
357,70 €
Plus frais de livraison 40,00 € et TVA
100 μL
Destination: France
Envoi sous 8 à 12 jours ouvrables
 
NT5E Reactivité: Souris WB, IHC, ICC, IP Hôte: Lapin Polyclonal unconjugated
N° du produit ABIN7436897
304,89 €
Plus frais de livraison 40,00 € et TVA
100 μL (Autres quantités disponibles)
Destination: France
Envoi sous 11 à 15 jours ouvrables
 
NT5E Reactivité: Humain WB, IHC, ICC, IP Hôte: Souris Monoclonal D1 unconjugated
N° du produit ABIN7427939
301,08 €
Plus frais de livraison 40,00 € et TVA
100 μL (Autres quantités disponibles)
Destination: France
Envoi sous 11 à 15 jours ouvrables
 
NT5E Reactivité: Humain WB, ELISA Hôte: Souris Monoclonal 4C4-2B5 unconjugated
Pubmed 3 références
N° du produit ABIN562052
651,20 €
Plus frais de livraison 40,00 € et TVA
100 μg
Destination: France
Envoi sous 8 à 9 jours ouvrables
 
NT5E Reactivité: Humain, Non-Human Primate FACS Hôte: Souris Monoclonal AD2 APC
N° du produit ABIN6240819
418,97 €
Plus frais de livraison 40,00 € et TVA
100 tests
Destination: France
Envoi sous 2 à 4 jours ouvrables
 
NT5E Reactivité: Humain, Souris, Rat WB, IHC, IF, ELISA, ICC Hôte: Lapin Polyclonal unconjugated
N° du produit ABIN6263750
525,71 €
Plus frais de livraison 40,00 € et TVA
100 μL (Autres quantités disponibles)
Destination: France
Envoi sous 9 à 11 jours ouvrables
 
NT5E Reactivité: Souris WB, IHC, FACS, IF, LCI Hôte: Lapin Polyclonal unconjugated
N° du produit ABIN7042877
977,85 €
Plus frais de livraison 40,00 € et TVA
50 μL (Autres quantités disponibles)
Destination: France
Envoi sous 8 à 9 jours ouvrables
 
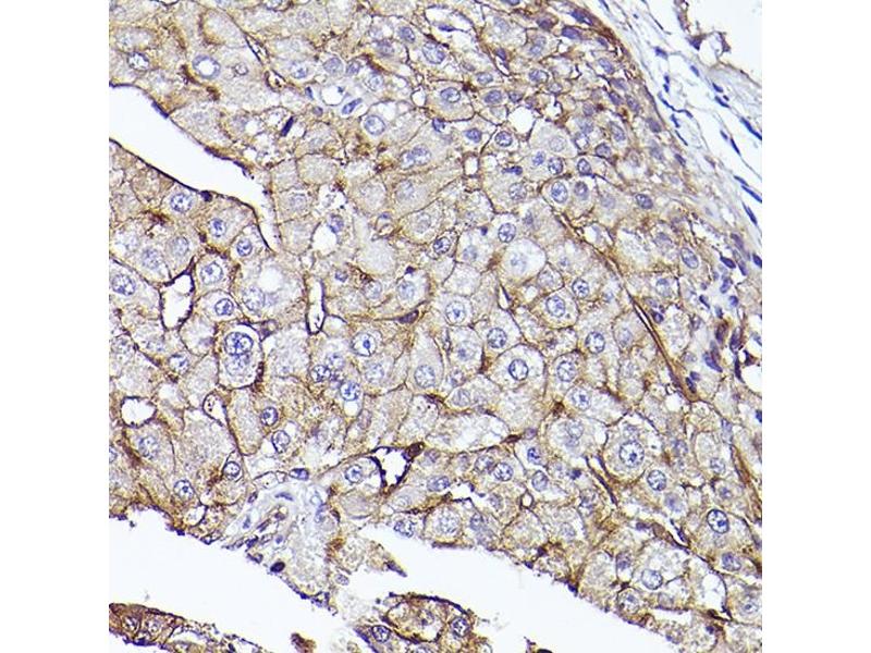
NT5E Reactivité: Humain IHC (p) Hôte: Lapin Polyclonal RB02844 unconjugated
Pubmed 4 références
N° du produit ABIN388749
434,77 €
Plus frais de livraison 40,00 € et TVA
400 μL (Autres quantités disponibles)
Destination: France
Envoi sous 14 à 17 jours ouvrables
 
NT5E Reactivité: Humain WB, IHC, ELISA Hôte: Lapin Polyclonal unconjugated
N° du produit ABIN7142671
328,90 €
Plus frais de livraison 40,00 € et TVA
100 μL (Autres quantités disponibles)
Destination: France
Envoi sous 11 à 15 jours ouvrables
 
NT5E Reactivité: Humain IHC, ELISA Hôte: Lapin Monoclonal 6F6 unconjugated Recombinant Antibody
N° du produit ABIN7127408
385,00 €
Plus frais de livraison 40,00 € et TVA
100 μL (Autres quantités disponibles)
Destination: France
Envoi sous 11 à 15 jours ouvrables
 
NT5E Reactivité: Humain, Souris, Rat, Chien, Lapin, Roussette (Chauve-souris), Singe WB, IHC, IHC (p) Hôte: Lapin Polyclonal unconjugated
N° du produit ABIN1492672
610,95 €
Plus frais de livraison 40,00 € et TVA
50 μg
Destination: France
Envoi sous 15 à 20 jours ouvrables
 
  • Type Primary
    • Primary
  • Application
    • Western Blotting (WB)
    • Flow Cytometry (FACS)
    • Immunohistochemistry (IHC)
    • ELISA
    • Immunofluorescence (IF)
    • Immunocytochemistry (ICC)
    • Immunohistochemistry (Paraffin-embedded Sections) (IHC (p))
    • Immunofluorescence (Cultured Cells) (IF (cc))
    • Immunofluorescence (Paraffin-embedded Sections) (IF (p))
    • Immunoprecipitation (IP)
    • Immunohistochemistry (Formalin-fixed Paraffin-embedded Sections) (IHC (fp))
    • Immunohistochemistry (Frozen Sections) (IHC (fro))
    • Enzyme Immunoassay (EIA)
    • Intracellular Flow Cytometry (ICFC)
    • Immunofluorescence (fixed cells) (IF/ICC)
    • Functional Studies (Func)
    • Immunohistochemistry (Formalin-fixed Sections) (IHC (f))
    • Immunohistochemistry (Zinc-fixed Sections) (IHC (zinc))
    • Staining Methods (StM)
    • Coating (Coat)
    • Biochemical Assay (BCA)
    • Blocking Reagent (BR)
    • Immunochromatography (IC)
    • Immunohistochemistry (Fixed) (IHC (fx))
    • Live Cell Imaging (LCI)
    • Mass Spectrometry (MS)
    • Neutralization (Neut)
    • Proximity Ligation Assay (PLA)
    • Inhibition (Inh)
  • Réactivité
    • Human
    • Mouse
    • Rat
    • Cow
    • Dog
    • Sheep
    • Non-Human Primate
    • Rabbit
    • Bat
    • Horse
    • Monkey
    • Pig
    • Zebrafish (Danio rerio)
  • Cité dans publications
  • Images disponible
  • Sans conservateur uniquement
  • Carrier free only
  • Hote
    • Rabbit
    • Mouse
    • Rat
    • Human
    • Sheep
  • Clonalité
    • Monoclonal
    • Polyclonal
    • Chimeric
  • Clone
    • AD2
    • TY-23
    • NT5E-2503
    • TY-11-8
    • ABS0010
    • ABS0720
    • ABS1630
    • ABS1815
    • 2B6
    • 4-2#
    • 4C4-2B5
    • 4G4
    • 8G5
    • DM204
    • 24GB375
    • 25GB7190
    • 2C9
    • 4G6B10
    • 4G6E3
    • 5F-B9
    • 6F6
    • ABM40E2
    • AT89E9
    • BC010
    • BLR054F
    • BMS-986179
    • CM 326
    • D1
    • D7
    • INCA00186
    • IPH5301
    • JAB-BX102
    • NT5E-2545
    • NT5E-2646
    • OTI1G2
    • PM 1015
    • RB02844
    • RB02846
    • RM431
    • SAA0032
    • SAA0033
    • SAA0267
    • Sym024
    • YDBYT 208-3
    • YDBYT 208-3YDBYT 208-3
  • Epitope
    • AA 151-250
    • AA 1-30
    • AA 520-550
    • AA 29-500
    • AA 29-550
    • C-Term
    • AA 27-252
    • AA 32-264
    • N-Term
    • AA 1-511
    • AA 29-549
    • AA 30-250
    • AA 429-433
    • Extracellular
    • AA 119-232
    • AA 145-346
    • AA 27-549
    • AA 27-552
    • AA 28-264
    • AA 28-265
    • AA 28-308
    • AA 290-550
    • AA 337-551
    • AA 431-480
    • AA 433-482
    • AA 48-527
    • Internal Region
  • Conjugué
    • Inconjugué
    • Biotin
    • FITC
    • APC
    • PE
    • Alexa Fluor 647
    • PerCP
    • Alexa Fluor 488
    • Alexa Fluor 555
    • Alexa Fluor 594
    • Alexa Fluor 680
    • Alexa Fluor 750
    • HRP
    • PE-Cy7
    • Elab Fluor®700
    • FineTest®647
    • FineTest®700
    • Pacific Blue
    • PerCP-Cy5.5
    • APC-Cy7
    • AbBy Fluor® 350
    • AbBy Fluor® 488
    • AbBy Fluor® 555
    • AbBy Fluor® 594
    • AbBy Fluor® 647
    • AbBy Fluor® 680
    • AbBy Fluor® 750
    • Alexa Fluor 350
    • Alexa Fluor 405
    • CF®405S
    • CF®488A
    • CF®568
    • CF®594
    • CF®640R
    • CF®647
    • CF®740
    • Cy3
    • Cy5
    • Cy5.5
    • Cy7
    • FineTest®488
    • PE-Cy5
    • PE-Cy5.5
    • PE-Dazzle™ 594
  • Isotype
    • IgG
    • IgG1
    • kappa
    • IgG1 kappa
    • IgG2a
    • IgG2b kappa
    • Ig Fraction
    • lambda
    • IgG2b
    • IgG2a kappa
    • A330S
    • C223S
    • F296Y
    • F300Y
    • G327A
    • IgG kappa
    • IgG2
    • M397V
    • P331S
    • Q274K
    • S378A
    • T339A
    • V309L
  • Type Proteine
    • Recombinant Antibody
  • Format
    • Liquid
    • Lyophilized
  • Grade
    • GMP Grade
    • KD Validated
    • Research Grade
  • Supplier
    • antibodies-online
    • ProteoGenix
    • Signalway
    • BioLegend
    • Biotium
    • Abbexa
    • Cohesion Biosciences
    • Wuhan Fine biotech
    • Acris
    • USBio
    • Alomone Labs
    • BD Biosciences
    • Biomatik
    • Elabscience
    • Abeomics
    • Angio-Proteomie
    • Assay Biotechnology Company, Inc.
    • Aviva Systems Biology
    • Boster Bio
    • Cloud-Clone
    • Covalab
    • NSJ Bioreagents
    • OriGene
    • ProSci
    • RayBiotech
    • RevMAb Biosciences

Dernières publications pour nos CD73 Anticorps

Al Saihati, Dessouky, Salim, Elgohary, El-Sherbiny, Ali, Moustafa, Shaheen, Forsyth, Badr, Ebrahim: "MSC-extracellular vesicle microRNAs target host cell-entry receptors in COVID-19: in silico modeling for in vivo validation." dans: Stem cell research & therapy, Vol. 15, Issue 1, pp. 316, (2024) (PubMed).

Krešić, Prišlin, Vlahović, Kostešić, Ljolje, Brnić, Turk, Musulin, Habrun: "The Expression Pattern of Surface Markers in Canine Adipose-Derived Mesenchymal Stem Cells." dans: International journal of molecular sciences, Vol. 22, Issue 14, (2021) (PubMed).

Goričan, Gole, Potočnik: "Head and Neck Cancer Stem Cell-Enriched Spheroid Model for Anticancer Compound Screening." dans: Cells, Vol. 9, Issue 7, (2020) (PubMed).

Calabrese, Giuffrida, Forte, Fabbi, Figallo, Salvatorelli, Memeo, Parenti, Gulisano, Gulino: "Human adipose-derived mesenchymal stem cells seeded into a collagen-hydroxyapatite scaffold promote bone augmentation after implantation in the mouse." dans: Scientific reports, Vol. 7, Issue 1, pp. 7110, (2019) (PubMed).

de Lourdes Mora-García, López-Cisneros, Gutiérrez-Serrano, García-Rocha, Weiss-Steider, Hernández-Montes, Sánchez-Peña, Ávila-Ibarra, Don-López, Muñóz-Godínez, Pineda, Chacón-Salinas et al.: "HPV-16 Infection Is Associated with a High Content of CD39 and CD73 Ectonucleotidases in Cervical Samples from Patients with CIN-1. ..." dans: Mediators of inflammation, Vol. 2019, pp. 4651627, (2019) (PubMed).

Soleimanifar, Mortazavi, Nadri, Soleimani: "Conjunctiva derived mesenchymal stem cell (CJMSCs) as a potential platform for differentiation into corneal epithelial cells on bioengineered electrospun scaffolds." dans: Journal of biomedical materials research. Part A, Vol. 105, Issue 10, pp. 2703-2711, (2018) (PubMed).

Yu, Wang, Lu, Wang, Li, Liao, Zhu, Lv, Zhi, Yu, Jin, Zou, Ou, Liu, Zhou: "Extracellular 5'-nucleotidase (CD73) promotes human breast cancer cells growth through AKT/GSK-3β/β-catenin/cyclinD1 signaling pathway." dans: International journal of cancer, Vol. 142, Issue 5, pp. 959-967, (2018) (PubMed).

Bayraktar, Jungbluth, Deenen, Grassmann, Schneppendahl, Eschbach, Scholz, Windolf, Suschek, Grotheer: "Molecular- and microarray-based analysis of diversity among resting and osteogenically induced porcine mesenchymal stromal cells of several tissue origin." dans: Journal of tissue engineering and regenerative medicine, Vol. 12, Issue 1, pp. 114-128, (2018) (PubMed).

Samanta, Park, Ni, Li, Zahnow, Gabrielson, Pan, Semenza: "Chemotherapy induces enrichment of CD47+/CD73+/PDL1+ immune evasive triple-negative breast cancer cells." dans: Proceedings of the National Academy of Sciences of the United States of America, Vol. 115, Issue 6, pp. E1239-E1248, (2018) (PubMed).

Kaniewska-Bednarczuk, Kutryb-Zajac, Sarathchandra, Pelikant-Malecka, Sielicka, Piotrowska, Slominska, Chester, Yacoub, Smolenski: "CD39 and CD73 in the aortic valve-biochemical and immunohistochemical analysis in valve cell populations and its changes in valve mineralization." dans: Cardiovascular pathology : the official journal of the Society for Cardiovascular Pathology, Vol. 36, pp. 53-63, (2018) (PubMed).

Pseudonymes pour CD73 Anticorps

5'-nucleotidase ecto (NT5E) Anticorps
5'-nucleotidase, ecto (CD73) (nt5e) Anticorps
5'-nucleotidase, ecto (CD73) (nt5e.S) Anticorps
5'-nucleotidase (PSPTO_2277) Anticorps
5'-nucleotidase (CBU_1233) Anticorps
5'-nucleotidase (MCA1322) Anticorps
5' nucleotidase, ecto (Nt5e) Anticorps
2210401F01Rik Anticorps
AI447961 Anticorps
CALJA Anticorps
CD73 Anticorps
E5NT Anticorps
eN Anticorps
eNT Anticorps
MGC114869 Anticorps
NT Anticorps
NT5 Anticorps
Nt5 Anticorps
NT5E Anticorps
NTE Anticorps
PSPTO2277 Anticorps
zgc:63784 Anticorps
Vous êtes ici:
Chat with us!