Tel:
+49 (0)241 95 163 153
Fax:
+49 (0)241 95 163 155
E-Mail:
orders@anticorps-enligne.fr

COL3 Anticorps

(Collagen, Type III (COL3))

Choisissez l’un des 72 anticorps COL3 de notre liste de produits basés sur 43 publications et 16 images de validation.

Découvrez des anticorps COL3 fiables issus d’une large sélection de fabricants renommés. Notre portefeuille permet une détection précise de COL3 dans plusieurs espèces, y compris Human, Rat, Mouse, Rabbit, Dog, Chicken, Cow, et prend en charge diverses applications de recherche telles que WB, ELISA, IF (cc), IF (p), IHC.

Trouvez rapidement l’anticorps adapté grâce à nos outils de recherche, de filtrage et de comparaison. Chaque page produit fournit des données de validation détaillées, des références bibliographiques et des retours d’utilisateurs. Contrairement aux ressources dédiées uniquement à la comparaison, vous pouvez acheter directement les anticorps sur notre site. Choisissez parmi des anticorps polyclonaux, monoclonaux ou recombinants COL3, issus de différents hôtes tels que Rabbit, Goat, Mouse. Parcourez nos produits ci-dessous et commandez directement pour soutenir vos recherches en toute confiance.

Les noms alternatifs de COL3 sont F2.

72 Résultats

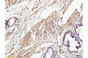
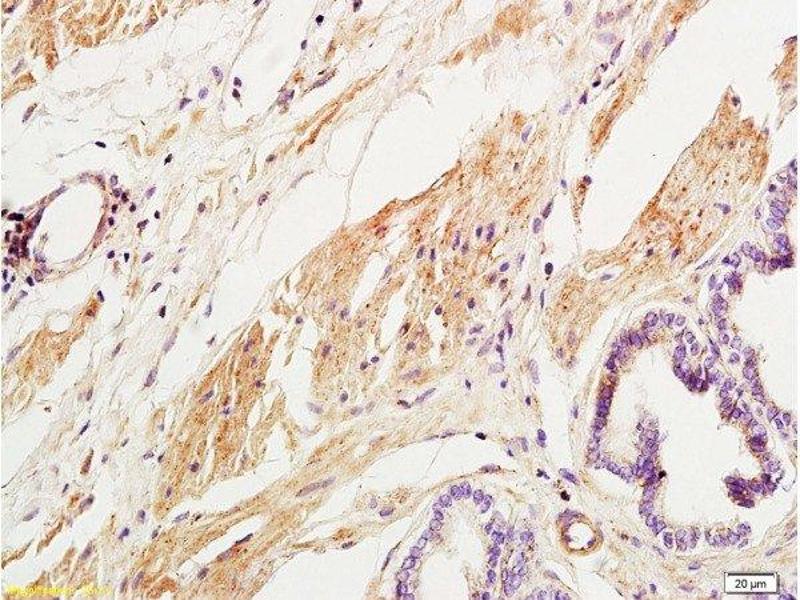
COL3 Reactivité: Humain, Rat, Souris, Lapin, Chien WB, ELISA, IF (cc), IF (p), IHC (fro), IHC (p) Hôte: Lapin Polyclonal unconjugated
Pubmed 11 références
N° du produit ABIN669981
357,70 €
Plus frais de livraison 40,00 € et TVA
100 μL
Destination: France
Envoi sous 8 à 12 jours ouvrables
 
COL3 Reactivité: Humain, Rat, Souris WB, ELISA, IF (cc), IF (p), IHC (fro), IHC (p) Hôte: Lapin Polyclonal unconjugated
Pubmed 1 reference
N° du produit ABIN730168
357,70 €
Plus frais de livraison 40,00 € et TVA
100 μL
Destination: France
Envoi sous 8 à 12 jours ouvrables
 
COL3 Reactivité: Humain ELISA Hôte: Chèvre Polyclonal unconjugated
Pubmed 29 références
N° du produit ABIN135050
534,10 €
Plus frais de livraison 40,00 € et TVA
200 μg
Destination: France
Envoi sous 7 à 10 jours ouvrables
 
COL3 Reactivité: Humain ELISA Hôte: Chèvre Polyclonal Biotin
Pubmed 2 références
N° du produit ABIN135051
735,05 €
Plus frais de livraison 40,00 € et TVA
200 μg
Destination: France
Envoi sous 7 à 10 jours ouvrables
 
COL3 Reactivité: Humain, Rat, Souris IP Hôte: Souris Monoclonal Col-29 Magnetic Particles
N° du produit ABIN1496270
745,09 €
Plus frais de livraison 40,00 € et TVA
100 μg
Destination: France
Envoi sous 15 à 20 jours ouvrables
 
COL3 Reactivité: Humain, Rat, Souris WB Hôte: Souris Monoclonal Q76 unconjugated
N° du produit ABIN3181193
377,51 €
Plus frais de livraison 40,00 € et TVA
100 μL (Autres quantités disponibles)
Destination: France
Envoi sous 8 à 10 jours ouvrables
 
COL3 Reactivité: Humain, Rat, Souris IHC, IF Hôte: Souris Monoclonal unconjugated
N° du produit ABIN7212024
623,62 €
Plus frais de livraison 40,00 € et TVA
100 μL (Autres quantités disponibles)
Destination: France
Envoi sous 10 à 14 jours ouvrables
 
COL3 Reactivité: Humain, Rat, Souris ELISA, IHC, IF Hôte: Lapin Polyclonal unconjugated
N° du produit ABIN1533238
402,00 €
Plus frais de livraison 40,00 € et TVA
100 μL (Autres quantités disponibles)
Destination: France
Envoi sous 6 à 9 jours ouvrables
 
COL3 Reactivité: Humain, Rat, Souris WB, IF (cc), IF (p) Hôte: Lapin Polyclonal AbBy Fluor® 750
N° du produit ABIN5000316
426,37 €
Plus frais de livraison 40,00 € et TVA
100 μL
Destination: France
Envoi sous 20 à 25 jours ouvrables
 
COL3 Reactivité: Humain, Rat, Souris, Lapin, Chien WB, IF (cc), IF (p) Hôte: Lapin Polyclonal AbBy Fluor® 750
N° du produit ABIN5000314
426,37 €
Plus frais de livraison 40,00 € et TVA
100 μL
Destination: France
Envoi sous 20 à 25 jours ouvrables
 
COL3 Reactivité: Humain, Rat, Souris, Lapin, Chien WB, IF (cc), IF (p) Hôte: Lapin Polyclonal AbBy Fluor® 680
N° du produit ABIN5000313
426,37 €
Plus frais de livraison 40,00 € et TVA
100 μL
Destination: France
Envoi sous 20 à 25 jours ouvrables
 
COL3 Reactivité: Humain, Rat, Souris WB, IF (cc), IF (p) Hôte: Lapin Polyclonal AbBy Fluor® 680
N° du produit ABIN5000315
426,37 €
Plus frais de livraison 40,00 € et TVA
100 μL
Destination: France
Envoi sous 20 à 25 jours ouvrables
 
COL3 Reactivité: Humain ELISA, IHC (fro) Hôte: Souris Monoclonal MC3-HA unconjugated
N° du produit ABIN301855
414,86 €
Plus frais de livraison 40,00 € et TVA
1 mL
Destination: France
Envoi sous 3 à 5 jours ouvrables
 
COL3 Reactivité: Humain WB, ELISA, IHC (fro) Hôte: Chèvre Polyclonal unconjugated
N° du produit ABIN2473049
968,17 €
Plus frais de livraison 40,00 € et TVA
0.2 mg
Destination: France
Envoi sous 4 à 5 jours ouvrables
 
COL3 Reactivité: Rat, Souris ELISA, IF, IHC (fro), IHC (p), RIA Hôte: Lapin Polyclonal unconjugated
N° du produit ABIN2473054
554,50 €
Plus frais de livraison 40,00 € et TVA
0.1 mL
Destination: France
Envoi sous 4 à 5 jours ouvrables
 
COL3 Reactivité: Humain WB, IHC, IP, ICC Hôte: Lapin Polyclonal unconjugated
N° du produit ABIN7637179
287,72 €
Plus frais de livraison 40,00 € et TVA
100 μL (Autres quantités disponibles)
Destination: France
Envoi sous 11 à 15 jours ouvrables
 
COL3 Reactivité: Poulet WB, ELISA, IF, IHC (p), RIA Hôte: Lapin Polyclonal unconjugated
N° du produit ABIN7478854
680,40 €
Plus frais de livraison 40,00 € et TVA
0.1 mL
Destination: France
Envoi sous 2 à 4 jours ouvrables
 
COL3 Reactivité: Rat ELISA, IF, IHC (p), RIA Hôte: Lapin Polyclonal unconjugated
N° du produit ABIN7478855
680,40 €
Plus frais de livraison 40,00 € et TVA
0.1 mL
Destination: France
Envoi sous 2 à 4 jours ouvrables
 
COL3 Reactivité: Humain, Rat, Souris WB, IF (cc), IF (p) Hôte: Lapin Polyclonal AbBy Fluor® 350
N° du produit ABIN891704
426,37 €
Plus frais de livraison 40,00 € et TVA
100 μL
Destination: France
Envoi sous 20 à 25 jours ouvrables
 
COL3 Reactivité: Humain, Rat, Souris WB, IF (cc), IF (p) Hôte: Lapin Polyclonal AbBy Fluor® 647
N° du produit ABIN891707
426,37 €
Plus frais de livraison 40,00 € et TVA
100 μL
Destination: France
Envoi sous 20 à 25 jours ouvrables
 
  • Type Primary
    • Primary
  • Application
    • Western Blotting (WB)
    • ELISA
    • Immunofluorescence (Cultured Cells) (IF (cc))
    • Immunofluorescence (Paraffin-embedded Sections) (IF (p))
    • Immunohistochemistry (IHC)
    • Immunofluorescence (IF)
    • Immunohistochemistry (Frozen Sections) (IHC (fro))
    • Immunoprecipitation (IP)
    • Immunocytochemistry (ICC)
    • Immunohistochemistry (Paraffin-embedded Sections) (IHC (p))
    • Flow Cytometry (FACS)
    • Radioimmunoassay (RIA)
    • Immunochromatography (IC)
  • Réactivité
    • Human
    • Rat
    • Mouse
    • Rabbit
    • Dog
    • Chicken
    • Cow
  • Cité dans publications
  • Images disponible
  • Sans conservateur uniquement
  • Carrier free only
  • Hote
    • Rabbit
    • Goat
    • Mouse
  • Clonalité
    • Polyclonal
    • Monoclonal
  • Clone
    • Col-29
    • MC3-HA
    • PT0180R
    • Q76
  • Epitope
    • AA 1301-1400
    • AA 801-900
    • AA 24-152
    • N-Term
    • AA 1-1163
    • AA 1059-1466
    • AA 1197-1389
    • AA 81-130
    • cleaved
  • Conjugué
    • Inconjugué
    • Biotin
    • AbBy Fluor® 350
    • AbBy Fluor® 488
    • AbBy Fluor® 555
    • AbBy Fluor® 594
    • AbBy Fluor® 647
    • AbBy Fluor® 680
    • AbBy Fluor® 750
    • Cy3
    • Cy5
    • Cy5.5
    • Cy7
    • FITC
    • HRP
    • Alexa Fluor 350
    • Alexa Fluor 405
    • Alexa Fluor 488
    • Alexa Fluor 555
    • Alexa Fluor 594
    • Alexa Fluor 647
    • Alexa Fluor 680
    • Alexa Fluor 750
    • Magnetic Particles
    • Sepharose
  • Isotype
    • IgG
    • IgG1
    • IgG1 kappa
    • IgM
    • kappa
  • Type Proteine
    • Recombinant Antibody
  • Format
    • Liquid
    • Lyophilized
  • Supplier
    • antibodies-online
    • Signalway
    • USBio
    • Assay Biotechnology Company, Inc.
    • Biomatik
    • Wuhan Fine biotech

Dernières publications pour nos COL3 Anticorps

Yang, Li, Guo, Pan, Yan, Chen: "Hirudo Lyophilized Powder Ameliorates Renal Injury in Diabetic Rats by Suppressing Oxidative Stress and Inflammation." dans: Evidence-based complementary and alternative medicine : eCAM, Vol. 2021, pp. 6657673, (2021) (PubMed).

Jiao, Bai, Yin, Liu, Sun, Su, Zeng, Wen: "Therapeutic Effects of an Inhibitor of Thioredoxin Reductase on Liver Fibrosis by Inhibiting the Transforming Growth Factor-β1/Smads Pathway." dans: Frontiers in molecular biosciences, Vol. 8, pp. 690170, (2021) (PubMed).

Fernandes, Reilly, Schrock, Hocking, Oakes, Fowell: "CD4+ T Cell Interstitial Migration Controlled by Fibronectin in the Inflamed Skin." dans: Frontiers in immunology, Vol. 11, pp. 1501, (2020) (PubMed).

Sembach, Fink, Johansen, Boland, Secher, Thrane, Nielsen, Fosgerau, Vrang, Jelsing, Pedersen, Østergaard: "Impact of sex on diabetic nephropathy and the renal transcriptome in UNx db/db C57BLKS mice." dans: Physiological reports, Vol. 7, Issue 24, pp. e14333, (2020) (PubMed).

Becker, OConnell, Vo, Cain, Tampe, Bizarro, Sugimoto, McGow, Asara, Lovisa, McAndrews, Zielinski, Lorenzi, Zeisberg, Raza, LeBleu, Kalluri: "Epigenetic Reprogramming of Cancer-Associated Fibroblasts Deregulates Glucose Metabolism and Facilitates Progression of Breast Cancer." dans: Cell reports, Vol. 31, Issue 9, pp. 107701, (2020) (PubMed).

Buhl, Djudjaj, Klinkhammer, Ermert, Puelles, Lindenmeyer, Cohen, He, Borkham-Kamphorst, Weiskirchen, Denecke, Trairatphisan, Saez-Rodriguez, Huber, Olson, Floege, Boor: "Dysregulated mesenchymal PDGFR-β drives kidney fibrosis." dans: EMBO molecular medicine, Vol. 12, Issue 3, pp. e11021, (2020) (PubMed).

Dobie, Wilson-Kanamori, Henderson, Smith, Matchett, Portman, Wallenborg, Picelli, Zagorska, Pendem, Hudson, Wu, Budas, Breckenridge, Harrison, Mole, Wigmore, Ramachandran, Ponting, Teichmann, Marioni et al.: "Single-Cell Transcriptomics Uncovers Zonation of Function in the Mesenchyme during Liver Fibrosis. ..." dans: Cell reports, Vol. 29, Issue 7, pp. 1832-1847.e8, (2020) (PubMed).

Guan, Wang, Cai, Li, Wang, Li, Xu, Li, Yao, Liu, Deng, Lu: "Hydrogen sulfide attenuates cigarette smoke-induced airway remodeling by upregulating SIRT1 signaling pathway." dans: Redox biology, Vol. 28, pp. 101356, (2020) (PubMed).

Welc, Flores, Wehling-Henricks, Ramos, Wang, Bertoni, Tidball: "Targeting a therapeutic LIF transgene to muscle via the immune system ameliorates muscular dystrophy." dans: Nature communications, Vol. 10, Issue 1, pp. 2788, (2019) (PubMed).

Delestre-Delacour, Carmon, Laguerre, Estay-Ahumada, Courel, Elias, Jeandel, Rayo, Peinado, Sengmanivong, Gasman, Coudrier, Anouar, Montero-Hadjadje: "Myosin 1b and F-actin are involved in the control of secretory granule biogenesis." dans: Scientific reports, Vol. 7, Issue 1, pp. 5172, (2019) (PubMed).

Pseudonymes pour COL3 Anticorps

coagulation factor II, thrombin (F2) Anticorps
coagulation factor II (F2) Anticorps
Cf-2 Anticorps
Cf2 Anticorps
FII Anticorps
prothrombin Anticorps
PT Anticorps
RPRGL2 Anticorps
THPH1 Anticorps
thrombin Anticorps
Vous êtes ici:
Chat with us!