Tel:
+49 (0)241 95 163 153
Fax:
+49 (0)241 95 163 155
E-Mail:
orders@anticorps-enligne.fr

GLP-1 Anticorps

(Glucagon-like peptide 1 (GLP-1))

Your search for reliable GLP-1 antibodies ends here. GLP-1, known by aliases such as GCG, Gcg, is an integral part of our antibody range. Whether you're working with Human, Rat, Mouse, Cow, Dog, or other species, our range of GLP-1 antibodies offer precise detection across diverse samples. These specialized antibodies are tailored for various scientific applications like IF (cc), IF (p), ELISA, WB, IHC, providing you with options like polyclonal, recombinant, and monoclonal antibodies, sourced from different host species such as Rabbit, Mouse, Goat. The efficacy of our antibodies is well-established, demonstrated through multiple methods.

Detailed information, including references, images, and validations by other customers, can be found on each product page. Should you require assistance in finding a specific product, our customer service team is ready to assist. Utilize our GLP-1 antibodies in your research endeavors for dependable GLP-1 detection.

About GLP-1

Glucagon-like peptide-1 (GLP-1) is a hormone that plays a crucial role in glucose homeostasis and metabolism. GLP-1 antibodies are valuable research tools for further exploring the role of GLP-1. GLP-1 is produced in the gut and released in response to food intake. The main actions of GLP-1 are to stimulate insulin secretion from the pancreas and inhibit glucagon secretion, which helps to regulate blood sugar levels. GLP-1 also slows down gastric emptying, reduces appetite, and promotes satiety, leading to decreased food intake. Additionally, GLP-1 has been shown to have protective effects on pancreatic beta cells, promoting their survival and function. GLP-1 has been used as a therapeutic target for the treatment of type 2 diabetes, as GLP-1 receptor agonists (GLP-1RAs) can enhance insulin secretion, improve glycemic control, and promote weight loss. Overall, the role of GLP-1 is to regulate glucose metabolism, promote insulin secretion, inhibit glucagon secretion, and regulate appetite and food intake. Recently GLP-1 has attract broader attention as a GLP-1 receptor agonist drug (Semaglutide) has been approved by the FDA and EMA. Semaglutide targets areas of the brain that regulate appetite and food intake. This leads to a reduction in appetite, helping individuals eat fewer calories and lose weight.

81 Résultats

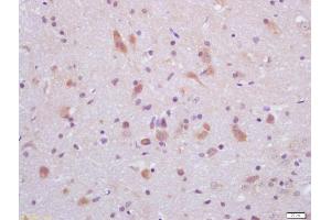
GLP-1 Reactivité: Humain, Souris, Rat ELISA, IF (p), IF (cc), IHC (p), IHC (fro) Hôte: Lapin Polyclonal unconjugated
Pubmed 1 reference
N° du produit ABIN724025
384,62 €
Plus frais de livraison 40,00 € et TVA
100 μL
Destination: France
Envoi sous 8 à 12 jours ouvrables
 
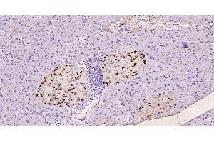
GLP-1 Reactivité: Humain, Souris, Rat ELISA, IF (p), IF (cc), IHC (p), IHC (fro) Hôte: Lapin Polyclonal unconjugated
N° du produit ABIN730003
384,62 €
Plus frais de livraison 40,00 € et TVA
100 μL
Destination: France
Envoi sous 8 à 12 jours ouvrables
 
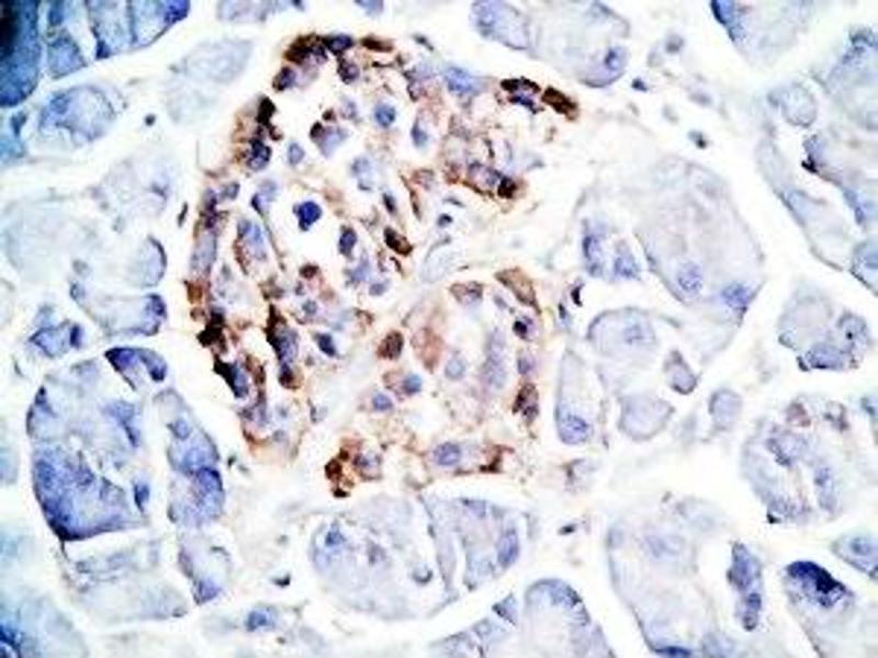
GLP-1 Reactivité: Humain, Souris, Rat IHC Hôte: Lapin Polyclonal unconjugated
N° du produit ABIN2872247
801,13 €
Plus frais de livraison 40,00 € et TVA
50 μL
Destination: France
Envoi sous 10 à 12 jours ouvrables
 
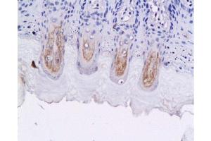
GLP-1 Reactivité: Humain IHC Hôte: Lapin Polyclonal unconjugated
N° du produit ABIN2872236
677,73 €
Plus frais de livraison 40,00 € et TVA
100 μL
Destination: France
Envoi sous 10 à 12 jours ouvrables
 
GLP-1 Reactivité: Humain WB, FACS Hôte: Lapin Polyclonal RB26991 unconjugated
N° du produit ABIN651691
467,50 €
Plus frais de livraison 40,00 € et TVA
400 μL (Autres quantités disponibles)
Destination: France
Envoi sous 14 à 17 jours ouvrables
 
GLP-1 Reactivité: Humain ICC, DB Hôte: Souris Monoclonal ID-GLP-1-18 unconjugated
Pubmed 1 reference
N° du produit ABIN109818
929,50 €
Plus frais de livraison 40,00 € et TVA
100 μg (Autres quantités disponibles)
Destination: France
Envoi sous 2 à 3 jours ouvrables
 
GLP-1 Reactivité: Humain IHC Hôte: Lapin Polyclonal unconjugated
N° du produit ABIN2872237
677,73 €
Plus frais de livraison 40,00 € et TVA
100 μL
Destination: France
Envoi sous 10 à 12 jours ouvrables
 
GLP-1 Reactivité: Humain, Souris, Rat IF (p), IF (cc) Hôte: Lapin Polyclonal AbBy Fluor® 750
N° du produit ABIN5003548
458,46 €
Plus frais de livraison 40,00 € et TVA
100 μL
Destination: France
Envoi sous 20 à 25 jours ouvrables
 
GLP-1 Reactivité: Humain, Souris, Rat IF (p), IF (cc) Hôte: Lapin Polyclonal AbBy Fluor® 680
N° du produit ABIN5003545
458,46 €
Plus frais de livraison 40,00 € et TVA
100 μL
Destination: France
Envoi sous 20 à 25 jours ouvrables
 
GLP-1 Reactivité: Humain, Souris, Rat IF (p), IF (cc) Hôte: Lapin Polyclonal AbBy Fluor® 680
N° du produit ABIN5003547
458,46 €
Plus frais de livraison 40,00 € et TVA
100 μL
Destination: France
Envoi sous 20 à 25 jours ouvrables
 
GLP-1 Reactivité: Humain, Souris, Rat IF (p), IF (cc) Hôte: Lapin Polyclonal AbBy Fluor® 750
N° du produit ABIN5003546
458,46 €
Plus frais de livraison 40,00 € et TVA
100 μL
Destination: France
Envoi sous 20 à 25 jours ouvrables
 
GLP-1 Reactivité: Humain ELISA Hôte: Souris Monoclonal M81373-B Biotin
N° du produit ABIN5617298
6.328,57 €
Plus frais de livraison 40,00 € et TVA
150 μL
Destination: France
Envoi sous 13 à 17 jours ouvrables
 
GLP-1 Reactivité: Humain ELISA Hôte: Souris Monoclonal M81385-B Biotin
N° du produit ABIN5617297
6.328,57 €
Plus frais de livraison 40,00 € et TVA
150 μL
Destination: France
Envoi sous 13 à 17 jours ouvrables
 
GLP-1 Reactivité: Humain WB, ELISA Hôte: Souris Monoclonal M81373 unconjugated
N° du produit ABIN5621195
5.641,96 €
Plus frais de livraison 40,00 € et TVA
400 μL
Destination: France
Envoi sous 13 à 17 jours ouvrables
 
GLP-1 Reactivité: Humain IHC, ELISA Hôte: Souris Monoclonal M81513 unconjugated
N° du produit ABIN5617279
5.641,96 €
Plus frais de livraison 40,00 € et TVA
400 μL
Destination: France
Envoi sous 13 à 17 jours ouvrables
 
GLP-1 Reactivité: Humain WB, ELISA Hôte: Souris Monoclonal M81385 unconjugated
N° du produit ABIN5617280
5.641,96 €
Plus frais de livraison 40,00 € et TVA
400 μL
Destination: France
Envoi sous 13 à 17 jours ouvrables
 
GLP-1 Reactivité: Humain, Souris, Rat IF (p), IF (cc) Hôte: Lapin Polyclonal AbBy Fluor® 488
N° du produit ABIN898988
458,46 €
Plus frais de livraison 40,00 € et TVA
100 μL
Destination: France
Envoi sous 20 à 25 jours ouvrables
 
GLP-1 Reactivité: Humain, Souris, Rat IF (p), IF (cc) Hôte: Lapin Polyclonal AbBy Fluor® 647
N° du produit ABIN898987
458,46 €
Plus frais de livraison 40,00 € et TVA
100 μL
Destination: France
Envoi sous 20 à 25 jours ouvrables
 
GLP-1 Reactivité: Humain, Souris, Rat IF (p), IF (cc) Hôte: Lapin Polyclonal AbBy Fluor® 555
N° du produit ABIN898989
458,46 €
Plus frais de livraison 40,00 € et TVA
100 μL
Destination: France
Envoi sous 20 à 25 jours ouvrables
 
GLP-1 Reactivité: Humain, Souris, Rat IF (p), IF (cc) Hôte: Lapin Polyclonal AbBy Fluor® 350
N° du produit ABIN898985
458,46 €
Plus frais de livraison 40,00 € et TVA
100 μL
Destination: France
Envoi sous 20 à 25 jours ouvrables
 
  • Type Primary
    • Primary
  • Application
    • Immunofluorescence (Cultured Cells) (IF (cc))
    • Immunofluorescence (Paraffin-embedded Sections) (IF (p))
    • Western Blotting (WB)
    • Immunohistochemistry (IHC)
    • ELISA
    • Immunocytochemistry (ICC)
    • Immunofluorescence (IF)
    • Immunohistochemistry (Paraffin-embedded Sections) (IHC (p))
    • Immunohistochemistry (Frozen Sections) (IHC (fro))
    • Immunoprecipitation (IP)
    • Dot Blot (DB)
    • Flow Cytometry (FACS)
    • Enzyme Immunoassay (EIA)
    • Immunochromatography (IC)
    • Radioimmunoassay (RIA)
    • Cellular Assay (CA)
    • Immunoassay (IA)
    • Immunostaining (ISt)
    • Immunofluorescence (fixed cells) (IF/ICC)
  • Réactivité
    • Human
    • Mouse
    • Rat
    • Pig
    • Cow
    • Dog
    • Guinea Pig
    • Sheep
  • Cité dans publications
  • Images disponible
  • Sans conservateur uniquement
  • Carrier free only
  • Hote
    • Rabbit
    • Mouse
    • Goat
  • Clonalité
    • Polyclonal
    • Monoclonal
  • Clone
    • C4
    • GLP-1-18
    • 2B2-6
    • 68-26A
    • 77-31B
    • A229
    • ID-GLP-1-18
    • M81373
    • M81373-B
    • M81385
    • M81385-B
    • M81513
    • RB26991
  • Epitope
    • AA 7-36
    • AA 1-31
    • AA 7-37
    • Internal Region
    • amidated
    • AA 12-24
    • AA 2-24
    • AA 85-112
    • AA 92-121
    • AA 92-128
    • AA 98-128
    • C-Term
    • Center
    • Non-amidated
  • Conjugué
    • Inconjugué
    • Biotin
    • FITC
    • AbBy Fluor® 350
    • AbBy Fluor® 488
    • AbBy Fluor® 555
    • AbBy Fluor® 594
    • AbBy Fluor® 647
    • AbBy Fluor® 680
    • AbBy Fluor® 750
    • Alexa Fluor 488
    • Alexa Fluor 555
    • Alexa Fluor 594
    • Alexa Fluor 647
    • Alexa Fluor 680
    • Alexa Fluor 750
    • Cy3
    • Cy5
    • Cy5.5
    • Cy7
    • HRP
    • APC
    • Alexa Fluor 350
    • Alexa Fluor 405
  • Isotype
    • IgG
    • IgG1
    • IgG1 kappa
    • IgG2a kappa
    • Ig Fraction
    • IgG2b
    • kappa
  • Type Proteine
    • Recombinant Antibody
  • Format
    • Liquid
    • Lyophilized
    • Lyophilized or Liquid
  • Supplier
    • antibodies-online
    • Signalway
    • Phoenix Europe
    • Biomatik
    • USBio
    • Ansh Labs
    • Assaypro
    • Abbexa
    • ProSci
    • RayBiotech

Dernières publications pour nos GLP-1 Anticorps

Watanabe, Nishimura, Monir, Takemoto, Hiramatsu: "Immunoelectron microscopic observation of chicken glucagon-like peptide (GLP)-1-containing cells in tissues derived from thin section, paraffin block and conventional method." dans: The Journal of veterinary medical science, Vol. 76, Issue 3, pp. 389-94, (2014) (PubMed).

Zhang, Li, Liang, Luo, Zen, Zhang: "Uncoupling protein 2 negatively regulates glucose-induced glucagon-like peptide 1 secretion." dans: Journal of molecular endocrinology, Vol. 48, Issue 2, pp. 151-8, (2012) (PubMed).

Pseudonymes pour GLP-1 Anticorps

glucagon (GCG) Anticorps
glucagon (Gcg) Anticorps
GLP-1 Anticorps
GLP1 Anticorps
GLP2 Anticorps
Glu Anticorps
GRPP Anticorps
PPG Anticorps
Vous êtes ici:
Chat with us!