Tel:
+49 (0)241 95 163 153
Fax:
+49 (0)241 95 163 155
E-Mail:
orders@anticorps-enligne.fr

NUDT21 Anticorps

(Nudix (Nucleoside Diphosphate Linked Moiety X)-Type Motif 21 (NUDT21))

Choisissez l’un des 26 anticorps NUDT21 de notre liste de produits basés sur 24 images de validation.

Découvrez des anticorps NUDT21 fiables issus d’une large sélection de fabricants renommés. Notre portefeuille permet une détection précise de NUDT21 dans plusieurs espèces, y compris Human, Mouse, Rat, Dog, Zebrafish (Danio rerio), Cow, Guinea Pig, Horse, Rabbit, Bat, Chicken, Monkey, Xenopus laevis, et prend en charge diverses applications de recherche telles que WB, IHC, ELISA, IF, IHC (p).

Trouvez rapidement l’anticorps adapté grâce à nos outils de recherche, de filtrage et de comparaison. Chaque page produit fournit des données de validation détaillées, des références bibliographiques et des retours d’utilisateurs. Contrairement aux ressources dédiées uniquement à la comparaison, vous pouvez acheter directement les anticorps sur notre site. Choisissez parmi des anticorps polyclonaux, monoclonaux ou recombinants NUDT21, issus de différents hôtes tels que Rabbit, Mouse. Parcourez nos produits ci-dessous et commandez directement pour soutenir vos recherches en toute confiance.

Les noms alternatifs de NUDT21 sont NUDT21, Nudt21, nudt21, nudt21.L, ANI_1_1518144, AOR_1_2312154, PTRG_11035, PAAG_04662, MCYG_02022, VDBG_06706, MGYG_04057, cpsf5, PGTG_05353, Tsp_03672, LOC732888, AFUA_5G02030, NFIA_040090, ACLA_003240, CC1G_07993, PMAA_039710, AFLA_025180, TSTA_079060, BDBG_01565, TERG_04393.

26 Résultats

NUDT21 Reactivité: Humain WB, ELISA, IF, IHC (p) Hôte: Souris Monoclonal 3F8 unconjugated
N° du produit ABIN524443
651,20 €
Plus frais de livraison 40,00 € et TVA
100 μg
Destination: France
Envoi sous 8 à 9 jours ouvrables
 
KD Validated NUDT21 Reactivité: Humain WB, FACS Hôte: Souris Monoclonal 25GB5835 unconjugated
N° du produit ABIN7799688
598,92 €
Plus frais de livraison 40,00 € et TVA
100 μL
Destination: France
Envoi sous 7 à 10 jours ouvrables
 
NUDT21 Reactivité: Humain WB, IP, ICC, FACS, DB Hôte: Souris Monoclonal 2203C3 unconjugated
N° du produit ABIN933117
1.593,21 €
Plus frais de livraison 40,00 € et TVA
100 μg
Destination: France
Envoi sous 20 à 27 jours ouvrables
 
NUDT21 Reactivité: Humain WB, IHC, ELISA, IF Hôte: Lapin Polyclonal unconjugated
N° du produit ABIN7147921
328,90 €
Plus frais de livraison 40,00 € et TVA
100 μg (Autres quantités disponibles)
Destination: France
Envoi sous 11 à 15 jours ouvrables
 
NUDT21 Reactivité: Humain WB, IHC Hôte: Lapin Polyclonal unconjugated
N° du produit ABIN1681134
320,00 €
Plus frais de livraison 40,00 € et TVA
100 μg (Autres quantités disponibles)
Destination: France
Envoi sous 8 à 10 jours ouvrables
 
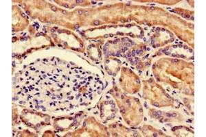
NUDT21 Reactivité: Humain, Souris, Rat, Chien, Poisson zèbre (Danio rerio) WB, IHC Hôte: Lapin Polyclonal unconjugated
N° du produit ABIN630019
1.075,31 €
Plus frais de livraison 40,00 € et TVA
100 μg
Destination: France
Envoi sous 13 à 17 jours ouvrables
 
NUDT21 Reactivité: Humain, Souris, Rat, Chien, Poisson zèbre (Danio rerio), Boeuf (Vache), Cobaye, Cheval, Lapin, Roussette (Chauve-souris), Poulet, Singe, Xenopus laevis WB, IHC, IHC (p) Hôte: Lapin Polyclonal unconjugated
N° du produit ABIN202092
741,67 €
Plus frais de livraison 40,00 € et TVA
100 μL
Destination: France
Envoi sous 15 à 20 jours ouvrables
 
NUDT21 Reactivité: Humain, Souris, Rat, Chien, Poisson zèbre (Danio rerio), Boeuf (Vache), Cobaye, Cheval, Lapin WB, IHC Hôte: Lapin Polyclonal unconjugated
N° du produit ABIN2779017
470,22 €
Plus frais de livraison 40,00 € et TVA
100 μL (Autres quantités disponibles)
Destination: France
Envoi sous 6 à 9 jours ouvrables
 
NUDT21 Reactivité: Humain WB, IP, IHC (p) Hôte: Lapin Polyclonal unconjugated
N° du produit ABIN7468691
765,00 €
Plus frais de livraison 40,00 € et TVA
100 μL
Destination: France
Envoi sous 7 à 10 jours ouvrables
 
NUDT21 Reactivité: Humain ELISA Hôte: Lapin Polyclonal HRP
N° du produit ABIN7147924
328,90 €
Plus frais de livraison 40,00 € et TVA
100 μg (Autres quantités disponibles)
Destination: France
Envoi sous 11 à 15 jours ouvrables
 
NUDT21 Reactivité: Humain Hôte: Lapin Polyclonal FITC
N° du produit ABIN7147923
328,90 €
Plus frais de livraison 40,00 € et TVA
100 μg (Autres quantités disponibles)
Destination: France
Envoi sous 11 à 15 jours ouvrables
 
NUDT21 Reactivité: Humain ELISA Hôte: Lapin Polyclonal Biotin
N° du produit ABIN7147922
328,90 €
Plus frais de livraison 40,00 € et TVA
100 μg (Autres quantités disponibles)
Destination: France
Envoi sous 11 à 15 jours ouvrables
 
NUDT21 Reactivité: Humain, Souris, Rat WB, IHC, ELISA, IF, IP Hôte: Lapin Polyclonal unconjugated
N° du produit ABIN7117081
393,85 €
Plus frais de livraison 40,00 € et TVA
100 μg
Destination: France
Envoi sous 11 à 15 jours ouvrables
 
NUDT21 Reactivité: Humain, Souris, Rat WB, IP, ICC, FACS, DB Hôte: Souris Monoclonal 2203C3 unconjugated
N° du produit ABIN1831895
1.730,57 €
Plus frais de livraison 40,00 € et TVA
100 μg
Destination: France
Envoi sous 15 à 20 jours ouvrables
 
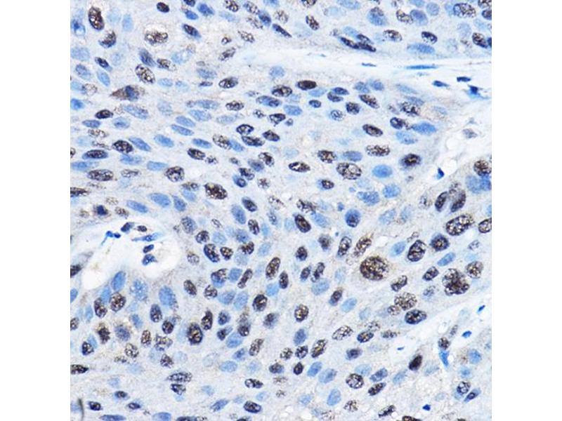
NUDT21 Reactivité: Humain WB, IHC, IF, IHC (p), ICC Hôte: Souris Monoclonal 13H1 unconjugated
N° du produit ABIN2626412
806,47 €
Plus frais de livraison 40,00 € et TVA
100 μL
Destination: France
Envoi sous 15 à 20 jours ouvrables
 
NUDT21 Reactivité: Humain WB, IHC, IHC (p) Hôte: Souris Monoclonal 5B3 unconjugated
N° du produit ABIN2626411
806,47 €
Plus frais de livraison 40,00 € et TVA
100 μL
Destination: France
Envoi sous 15 à 20 jours ouvrables
 
NUDT21 Reactivité: Humain, Souris, Rat WB, IF, IP, ICC, FACS, DB Hôte: Souris Monoclonal 2203C3 unconjugated
N° du produit ABIN2626414
896,83 €
Plus frais de livraison 40,00 € et TVA
100 μg
Destination: France
Envoi sous 15 à 20 jours ouvrables
 
NUDT21 Reactivité: Humain, Souris, Rat, Chien, Poisson zèbre (Danio rerio) WB, IHC, ELISA Hôte: Lapin Polyclonal unconjugated
N° du produit ABIN2462233
699,88 €
Plus frais de livraison 40,00 € et TVA
100 μL
Destination: France
Envoi sous 6 à 9 jours ouvrables
 
NUDT21 Reactivité: Humain ELISA Hôte: Lapin Polyclonal FITC
N° du produit ABIN6064663
628,83 €
Plus frais de livraison 40,00 € et TVA
100 μL (Autres quantités disponibles)
Destination: France
Envoi sous 7 à 13 jours ouvrables
 
NUDT21 Reactivité: Humain WB, IHC, ELISA, IF Hôte: Souris Monoclonal 3F8 unconjugated
N° du produit ABIN2316122
933,96 €
Plus frais de livraison 40,00 € et TVA
100 μg
Destination: France
Envoi sous 15 à 22 jours ouvrables
 
  • Type Primary
    • Primary
  • Application
    • Western Blotting (WB)
    • Immunohistochemistry (IHC)
    • ELISA
    • Immunofluorescence (IF)
    • Immunohistochemistry (Paraffin-embedded Sections) (IHC (p))
    • Immunoprecipitation (IP)
    • Flow Cytometry (FACS)
    • Immunocytochemistry (ICC)
    • Dot Blot (DB)
  • Réactivité
    • Human
    • Mouse
    • Rat
    • Dog
    • Zebrafish (Danio rerio)
    • Cow
    • Guinea Pig
    • Horse
    • Rabbit
    • Bat
    • Chicken
    • Monkey
    • Xenopus laevis
  • Images disponible
  • Carrier free only
  • Hote
    • Rabbit
    • Mouse
  • Clonalité
    • Polyclonal
    • Monoclonal
  • Clone
    • 2203C3
    • 3F8
    • 13H1
    • 25GB5835
    • 5B3
  • Epitope
    • AA 2-227
    • AA 1-227
    • N-Term
    • AA 1-228
  • Conjugué
    • Inconjugué
    • FITC
    • Alexa Fluor 488
    • Alexa Fluor 555
    • Alexa Fluor 594
    • Alexa Fluor 647
    • Alexa Fluor 680
    • Alexa Fluor 750
    • Biotin
    • HRP
  • Isotype
    • IgG
    • IgG1
    • IgG1 kappa
  • Format
    • Liquid
    • Lyophilized
  • Grade
    • KD Validated
  • Supplier
    • antibodies-online
    • Signalway
    • Abbexa
    • Aviva Systems Biology
    • ProSci
    • USBio

Dernières publications pour nos NUDT21 Anticorps

Dettwiler, Aringhieri, Cardinale, Keller, Barabino: "Distinct sequence motifs within the 68-kDa subunit of cleavage factor Im mediate RNA binding, protein-protein interactions, and subcellular localization." dans: The Journal of biological chemistry, Vol. 279, Issue 34, pp. 35788-97, (2004) (PubMed).

Lehner, Sanderson: "A protein interaction framework for human mRNA degradation." dans: Genome research, Vol. 14, Issue 7, pp. 1315-23, (2004) (PubMed).

de Vries, Rüegsegger, Hübner, Friedlein, Langen, Keller: "Human pre-mRNA cleavage factor II(m) contains homologs of yeast proteins and bridges two other cleavage factors." dans: The EMBO journal, Vol. 19, Issue 21, pp. 5895-904, (2000) (PubMed).

Pseudonymes pour NUDT21 Anticorps

nudix hydrolase 21 (NUDT21) Anticorps
nudix (nucleoside diphosphate linked moiety X)-type motif 21 (Nudt21) Anticorps
nudix hydrolase 21 (Nudt21) Anticorps
nudix hydrolase 21 (nudt21) Anticorps
nudix hydrolase 21 L homeolog (nudt21.L) Anticorps
cleavage and polyadenylation specificity factor subunit 5 (ANI_1_1518144) Anticorps
cleavage and polyadenylation specificity factor subunit 5 (AOR_1_2312154) Anticorps
cleavage and polyadenylation specificity factor subunit 5 (PTRG_11035) Anticorps
cleavage and polyadenylation specificity factor subunit 5 (PAAG_04662) Anticorps
cleavage and polyadenylation specificity factor subunit 5 (MCYG_02022) Anticorps
cleavage and polyadenylation specificity factor subunit 5 (VDBG_06706) Anticorps
cleavage and polyadenylation specificity factor subunit 5 (MGYG_04057) Anticorps
cleavage and polyadenylation specific factor 5 (cpsf5) Anticorps
autocrine motility factor receptor (PGTG_05353) Anticorps
cleavage and polyadenylation specificity factor subunit 5 (Tsp_03672) Anticorps
cleavage and polyadenylation specific factor 5 (LOC732888) Anticorps
cleavage and polyadenylation specific factor 5 (AFUA_5G02030) Anticorps
cleavage and polyadenylation specific factor 5 (NFIA_040090) Anticorps
cleavage and polyadenylation specific factor 5 (ACLA_003240) Anticorps
cleavage and polyadenylation specific factor 5 (CC1G_07993) Anticorps
cleavage and polyadenylation specific factor 5 (PMAA_039710) Anticorps
cleavage and polyadenylation specific factor 5 (AFLA_025180) Anticorps
cleavage and polyadenylation specific factor 5 (TSTA_079060) Anticorps
cleavage and polyadenylation specific factor 5 (BDBG_01565) Anticorps
cleavage and polyadenylation specific factor 5 (TERG_04393) Anticorps
nudix hydrolase homolog 21 (NUDT21) Anticorps
25kDa Anticorps
3110048P04Rik Anticorps
5730530J16Rik Anticorps
Afu5g02030 Anticorps
An16g01870 Anticorps
AO090003001316 Anticorps
atnudt21 Anticorps
AU014860 Anticorps
AW549947 Anticorps
CFIM25 Anticorps
CPSF5 Anticorps
Cpsf5 Anticorps
cpsf5 Anticorps
nudix hydrolase homolog 21 Anticorps
T9L24.30 Anticorps
T9L24_30 Anticorps
zgc:63966 Anticorps
Vous êtes ici:
Chat with us!