Tel:
+49 (0)241 95 163 153
Fax:
+49 (0)241 95 163 155
E-Mail:
orders@anticorps-enligne.fr

OGT Anticorps

(O-Linked N-Acetylglucosamine (GlcNAc) Transferase (UDP-N-Acetylglucosamine:polypeptide-N-Acetylglucosaminyl Transferase) (OGT))

Choisissez l’un des 70 anticorps OGT de notre liste de produits basés sur 1 publication et 56 images de validation.

Découvrez des anticorps OGT fiables issus d’une large sélection de fabricants renommés. Notre portefeuille permet une détection précise de OGT dans plusieurs espèces, y compris Human, Mouse, Rat, Cow, Dog, Guinea Pig, Horse, Rabbit, Zebrafish (Danio rerio), Bat, Chicken, E. coli, Monkey, Pig, Xenopus laevis, et prend en charge diverses applications de recherche telles que WB, IHC, IF, ELISA, ICC.

Trouvez rapidement l’anticorps adapté grâce à nos outils de recherche, de filtrage et de comparaison. Chaque page produit fournit des données de validation détaillées, des références bibliographiques et des retours d’utilisateurs. Contrairement aux ressources dédiées uniquement à la comparaison, vous pouvez acheter directement les anticorps sur notre site. Choisissez parmi des anticorps polyclonaux, monoclonaux ou recombinants OGT, issus de différents hôtes tels que Rabbit, Mouse, Goat. Parcourez nos produits ci-dessous et commandez directement pour soutenir vos recherches en toute confiance.

Les noms alternatifs de OGT sont ogt.L, sxc, ogt.1, OGT, ogt, GL50803_12081, GL50803_41701, THAPSDRAFT_264441, spyA, Ogt.

70 Résultats

OGT Reactivité: Humain WB, IHC, IF Hôte: Lapin Polyclonal unconjugated
N° du produit ABIN3022708
-15% Promotion 2026
272,00 €
320,00 €
Économisez 48,00 € (-15 %)
Plus frais de livraison 40,00 € et TVA
100 μL (Autres quantités disponibles)
Destination: France
Envoi sous 8 à 10 jours ouvrables
 
Verified OGT Reactivité: Humain, Rat WB, ELISA, IHC, IF, FACS Hôte: Chèvre Polyclonal unconjugated
N° du produit ABIN190863
-15% Promotion 2026
415,01 €
488,25 €
Économisez 73,24 € (-15 %)
Plus frais de livraison 40,00 € et TVA
100 μg
Destination: France
Envoi sous 5 à 7 jours ouvrables
 
OGT Reactivité: Humain WB, IF, ICC, FACS, IHC (p), IP Hôte: Lapin Polyclonal unconjugated
N° du produit ABIN2856718
-15% Promotion 2026
495,69 €
583,17 €
Économisez 87,48 € (-15 %)
Plus frais de livraison 40,00 € et TVA
100 μL
Destination: France
Envoi sous 7 à 9 jours ouvrables
 
OGT Reactivité: Humain WB, IF, ICC, IHC (p), IHC (wm) Hôte: Lapin Polyclonal unconjugated
N° du produit ABIN2856738
-15% Promotion 2026
495,69 €
583,17 €
Économisez 87,48 € (-15 %)
Plus frais de livraison 40,00 € et TVA
100 μL
Destination: France
Envoi sous 7 à 9 jours ouvrables
 
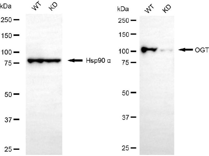
KD Validated OGT Reactivité: Humain WB, FACS Hôte: Lapin Monoclonal 25GB2185 unconjugated Recombinant Antibody
N° du produit ABIN7799694
-15% Promotion 2026
509,08 €
598,92 €
Économisez 89,84 € (-15 %)
Plus frais de livraison 40,00 € et TVA
100 μL
Destination: France
Envoi sous 7 à 9 jours ouvrables
 
OGT Reactivité: Humain, Souris, Rat, Chien, Boeuf (Vache), Cheval, Lapin, Cobaye, Poisson zèbre (Danio rerio) WB, IHC Hôte: Lapin Polyclonal unconjugated
Pubmed 1 reference
N° du produit ABIN2783662
534,11 €
Plus frais de livraison 40,00 € et TVA
100 μL (Autres quantités disponibles)
Destination: France
Envoi sous 6 à 8 jours ouvrables
 
OGT Reactivité: Humain ELISA, IHC, IF Hôte: Lapin Polyclonal unconjugated
N° du produit ABIN7174654
-15% Promotion 2026
279,56 €
328,90 €
Économisez 49,34 € (-15 %)
Plus frais de livraison 40,00 € et TVA
100 μg (Autres quantités disponibles)
Destination: France
Envoi sous 11 à 15 jours ouvrables
 
OGT Reactivité: Humain WB, IP Hôte: Lapin Monoclonal unconjugated
N° du produit ABIN7269074
-15% Promotion 2026
280,50 €
330,00 €
Économisez 49,50 € (-15 %)
Plus frais de livraison 40,00 € et TVA
100 μL (Autres quantités disponibles)
Destination: France
Envoi sous 8 à 10 jours ouvrables
 
OGT Reactivité: Humain WB, ELISA, IHC Hôte: Lapin Monoclonal 8G7 unconjugated Recombinant Antibody
N° du produit ABIN7127651
-15% Promotion 2026
327,25 €
385,00 €
Économisez 57,75 € (-15 %)
Plus frais de livraison 40,00 € et TVA
100 μL (Autres quantités disponibles)
Destination: France
Envoi sous 11 à 15 jours ouvrables
 
OGT Reactivité: Humain, Souris WB, IHC (p) Hôte: Lapin Polyclonal RB18524 unconjugated
N° du produit ABIN390649
-15% Promotion 2026
369,55 €
434,77 €
Économisez 65,22 € (-15 %)
Plus frais de livraison 40,00 € et TVA
400 μL (Autres quantités disponibles)
Destination: France
Envoi sous 14 à 16 jours ouvrables
 
OGT Reactivité: Humain, Souris, Rat WB, ELISA, IHC Hôte: Lapin Polyclonal unconjugated
N° du produit ABIN6263805
525,71 €
Plus frais de livraison 40,00 € et TVA
100 μL (Autres quantités disponibles)
Destination: France
Envoi sous 9 à 11 jours ouvrables
 
OGT Reactivité: Humain, Souris WB, ChIP-seq, ChIP Hôte: Lapin Polyclonal unconjugated
N° du produit ABIN6972463
-15% Promotion 2026
563,62 €
663,08 €
Économisez 99,46 € (-15 %)
Plus frais de livraison 40,00 € et TVA
100 μL
Destination: France
Envoi sous 2 à 4 jours ouvrables
 
OGT Reactivité: Humain, Souris, Rat WB, IHC, IF, IP, IC Hôte: Lapin Polyclonal unconjugated
N° du produit ABIN7306074
330,77 €
Plus frais de livraison 40,00 € et TVA
100 μL (Autres quantités disponibles)
Destination: France
Envoi sous 17 à 19 jours ouvrables
 
OGT Reactivité: Humain, Souris, Rat WB, IHC, IF, ICC, FACS Hôte: Lapin Polyclonal unconjugated
N° du produit ABIN3043893
500,50 €
Plus frais de livraison 40,00 € et TVA
100 μg
Destination: France
Envoi sous 8 à 11 jours ouvrables
 
OGT Reactivité: Humain, Souris WB, ELISA, IHC Hôte: Lapin Polyclonal unconjugated
N° du produit ABIN3032083
631,13 €
Plus frais de livraison 40,00 € et TVA
0.4 mL (Autres quantités disponibles)
Destination: France
Envoi sous 6 à 8 jours ouvrables
 
OGT Reactivité: Humain, Souris, Rat, Chien, Boeuf (Vache), Cheval, Lapin, Cobaye, Poisson zèbre (Danio rerio), Roussette (Chauve-souris), Singe, Porc, Poulet, Xenopus laevis WB Hôte: Lapin Polyclonal unconjugated
N° du produit ABIN6738539
774,07 €
Plus frais de livraison 40,00 € et TVA
100 μL
Destination: France
Envoi sous 15 à 19 jours ouvrables
 
OGT Reactivité: Humain ELISA Hôte: Lapin Polyclonal Biotin
N° du produit ABIN7174655
-15% Promotion 2026
279,56 €
328,90 €
Économisez 49,34 € (-15 %)
Plus frais de livraison 40,00 € et TVA
100 μg (Autres quantités disponibles)
Destination: France
Envoi sous 11 à 15 jours ouvrables
 
OGT Reactivité: Humain Hôte: Lapin Polyclonal FITC
N° du produit ABIN7174656
-15% Promotion 2026
279,56 €
328,90 €
Économisez 49,34 € (-15 %)
Plus frais de livraison 40,00 € et TVA
100 μg (Autres quantités disponibles)
Destination: France
Envoi sous 11 à 15 jours ouvrables
 
OGT Reactivité: Humain ELISA Hôte: Lapin Polyclonal HRP
N° du produit ABIN7174657
-15% Promotion 2026
279,56 €
328,90 €
Économisez 49,34 € (-15 %)
Plus frais de livraison 40,00 € et TVA
100 μg (Autres quantités disponibles)
Destination: France
Envoi sous 11 à 15 jours ouvrables
 
OGT Reactivité: E. coli WB, ELISA Hôte: Lapin Polyclonal unconjugated
N° du produit ABIN7796246
-15% Promotion 2026
279,56 €
328,90 €
Économisez 49,34 € (-15 %)
Plus frais de livraison 40,00 € et TVA
100 μL
Destination: France
Envoi sous 11 à 15 jours ouvrables
 
  • Type Primary
    • Primary
  • Application
    • Western Blotting (WB)
    • Immunohistochemistry (IHC)
    • Immunofluorescence (IF)
    • ELISA
    • Immunocytochemistry (ICC)
    • Flow Cytometry (FACS)
    • Immunohistochemistry (Paraffin-embedded Sections) (IHC (p))
    • Immunoprecipitation (IP)
    • ChIP DNA-Sequencing (ChIP-seq)
    • Chromatin Immunoprecipitation (ChIP)
    • Enzyme Immunoassay (EIA)
    • Immunochromatography (IC)
    • Immunofluorescence (Cultured Cells) (IF (cc))
    • Immunofluorescence (Paraffin-embedded Sections) (IF (p))
    • Immunohistochemistry (Formalin-fixed Paraffin-embedded Sections) (IHC (fp))
    • Immunohistochemistry (Frozen Sections) (IHC (fro))
    • Immunohistochemistry (Whole Mount) (IHC (wm))
    • Immunofluorescence (fixed cells) (IF/ICC)
  • Réactivité
    • Human
    • Mouse
    • Rat
    • Cow
    • Dog
    • Guinea Pig
    • Horse
    • Rabbit
    • Zebrafish (Danio rerio)
    • Bat
    • Chicken
    • E. coli
    • Monkey
    • Pig
    • Xenopus laevis
  • Cité dans publications
  • Images disponible
  • Sans conservateur uniquement
  • Carrier free only
  • Hote
    • Rabbit
    • Mouse
    • Goat
  • Clonalité
    • Polyclonal
    • Monoclonal
  • Clone
    • 25GB2185
    • 8G7
    • AEDG-15
    • GT2037
    • GT678
    • R05-5C2
    • RB18524
  • Epitope
    • AA 606-1022
    • N-Term
    • C-Term
    • AA 1017-1046
    • AA 223-502
    • AA 1-171
    • AA 1-240
    • AA 1-280
    • AA 1008-1046
    • AA 177-526
    • AA 213-462
    • AA 857-1036
    • AA 951-1046
    • Internal Region
  • Conjugué
    • Inconjugué
    • Alexa Fluor 488
    • Alexa Fluor 555
    • Alexa Fluor 594
    • Alexa Fluor 647
    • Alexa Fluor 680
    • Alexa Fluor 750
    • Biotin
    • FITC
    • Alexa Fluor 350
    • Alexa Fluor 405
    • HRP
  • Isotype
    • IgG
    • Ig Fraction
    • IgG1
    • IgG2a
  • Type Proteine
    • Recombinant Antibody
  • Format
    • Liquid
    • Lyophilized
  • Grade
    • KD Validated
    • Verified
  • Supplier
    • Signalway
    • antibodies-online
    • Boster Bio
    • FabGennix
    • Acris
    • Aviva Systems Biology
    • CUSABIO
    • Cohesion Biosciences
    • NSJ Bioreagents
    • ProteoGenix
    • RayBiotech
    • USBio
    • Wuhan Fine biotech

Dernières publications pour nos OGT Anticorps

Ise, Goto, Komura, Akaike: "Engulfment and clearance of apoptotic cells based on a GlcNAc-binding lectin-like property of surface vimentin." dans: Glycobiology, Vol. 22, Issue 6, pp. 788-805, (2012) (PubMed).

Taylor, Parker, Hazel, Soesanto, Fuller, Yazzie, McClain: "Glucose deprivation stimulates O-GlcNAc modification of proteins through up-regulation of O-linked N-acetylglucosaminyltransferase." dans: The Journal of biological chemistry, Vol. 283, Issue 10, pp. 6050-7, (2008) (PubMed).

Majumdar, Wright, Markowitz, Martinez-Hernandez, Raghow, Solomon: "Insulin stimulates and diabetes inhibits O-linked N-acetylglucosamine transferase and O-glycosylation of Sp1." dans: Diabetes, Vol. 53, Issue 12, pp. 3184-92, (2004) (PubMed).

Pseudonymes pour OGT Anticorps

O-linked N-acetylglucosamine (GlcNAc) transferase L homeolog (ogt.L) Anticorps
super sex combs (sxc) Anticorps
O-linked N-acetylglucosamine (GlcNAc) transferase, tandem duplicate 1 (ogt.1) Anticorps
O-linked N-acetylglucosamine (GlcNAc) transferase (OGT) Anticorps
O-linked N-acetylglucosamine (GlcNAc) transferase (ogt) Anticorps
O-linked GlcNAc transferase (GL50803_12081) Anticorps
O-linked GlcNAc transferase (GL50803_41701) Anticorps
o-linked GlcNAc transferase (THAPSDRAFT_264441) Anticorps
O-linked GlcNAc transferase (spyA) Anticorps
O-linked N-acetylglucosamine (GlcNAc) transferase (Ogt) Anticorps
O-linked N-acetylglucosamine (GlcNAc) transferase (UDP-N-acetylglucosamine:polypeptide-N-acetylglucosaminyl transferase) (Ogt) Anticorps
1110038P24Rik Anticorps
4831420N21Rik Anticorps
AI115525 Anticorps
BcDNA:GH04245 Anticorps
CG10392 Anticorps
Dmel\\CG10392 Anticorps
fm81g08 Anticorps
HRNT1 Anticorps
l(2)02637 Anticorps
l(2)NC130 Anticorps
O-GLCNAC Anticorps
OGT Anticorps
Ogt Anticorps
ogt Anticorps
Ogtl Anticorps
P1201 Anticorps
SXC Anticorps
Sxc Anticorps
sxc/Ogt Anticorps
wu:fc12b01 Anticorps
wu:fm81g08 Anticorps
Vous êtes ici:
Chat with us!