Tel:
+49 (0)241 95 163 153
Fax:
+49 (0)241 95 163 155
E-Mail:
orders@anticorps-enligne.fr

SNRNP200 Anticorps

(Small Nuclear Ribonucleoprotein 200kDa (U5) (SNRNP200))

Choisissez l’un des 12 anticorps SNRNP200 de notre liste de produits basés sur 14 images de validation.

Découvrez des anticorps SNRNP200 fiables issus d’une large sélection de fabricants renommés. Notre portefeuille permet une détection précise de SNRNP200 dans plusieurs espèces, y compris Human, Mouse, Rat, Cow, Horse, Dog, Rabbit, Chicken, Guinea Pig, Zebrafish (Danio rerio), Monkey, Pig, Xenopus laevis, et prend en charge diverses applications de recherche telles que WB, IP, ELISA, IHC, IF.

Trouvez rapidement l’anticorps adapté grâce à nos outils de recherche, de filtrage et de comparaison. Chaque page produit fournit des données de validation détaillées, des références bibliographiques et des retours d’utilisateurs. Contrairement aux ressources dédiées uniquement à la comparaison, vous pouvez acheter directement les anticorps sur notre site. Choisissez parmi des anticorps polyclonaux, monoclonaux ou recombinants SNRNP200, issus de différents hôtes tels que Rabbit. Parcourez nos produits ci-dessous et commandez directement pour soutenir vos recherches en toute confiance.

Les noms alternatifs de SNRNP200 sont SNRNP200.

12 Résultats

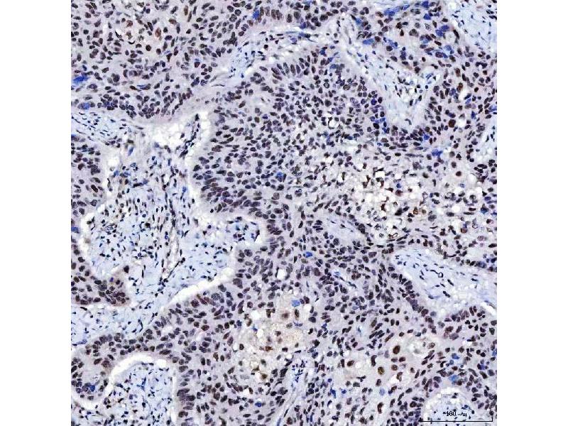
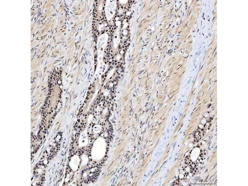
SNRNP200 Reactivité: Humain, Souris, Rat WB, IHC, IF Hôte: Lapin Polyclonal unconjugated
N° du produit ABIN7075632
592,31 €
Plus frais de livraison 40,00 € et TVA
100 μL
Destination: France
Envoi sous 13 à 20 jours ouvrables
 
SNRNP200 Reactivité: Humain, Souris WB, IP, IHC (fp) Hôte: Lapin Polyclonal unconjugated
N° du produit ABIN7454918
576,62 €
Plus frais de livraison 40,00 € et TVA
100 μg (Autres quantités disponibles)
Destination: France
Envoi sous 7 à 10 jours ouvrables
 
SNRNP200 Reactivité: Humain, Souris, Rat WB, ELISA, IHC, IF, FACS, ICC Hôte: Lapin Polyclonal unconjugated
N° du produit ABIN7602032
500,50 €
Plus frais de livraison 40,00 € et TVA
100 μg
Destination: France
Envoi sous 8 à 12 jours ouvrables
 
SNRNP200 Reactivité: Humain WB Hôte: Lapin Polyclonal unconjugated
N° du produit ABIN6148204
320,00 €
Plus frais de livraison 40,00 € et TVA
100 μL (Autres quantités disponibles)
Destination: France
Envoi sous 8 à 10 jours ouvrables
 
SNRNP200 Reactivité: Humain, Souris, Rat, Boeuf (Vache), Cheval, Chien, Lapin, Cobaye, Singe, Porc WB Hôte: Lapin Polyclonal unconjugated
N° du produit ABIN6747810
789,41 €
Plus frais de livraison 40,00 € et TVA
100 μL
Destination: France
Envoi sous 15 à 20 jours ouvrables
 
SNRNP200 Reactivité: Humain, Souris WB, IP, IHC (fp) Hôte: Lapin Polyclonal unconjugated
N° du produit ABIN7453645
576,62 €
Plus frais de livraison 40,00 € et TVA
20 μg (Autres quantités disponibles)
Destination: France
Envoi sous 7 à 10 jours ouvrables
 
SNRNP200 Reactivité: Humain, Souris, Rat, Boeuf (Vache), Cheval, Lapin, Poisson zèbre (Danio rerio), Cobaye WB Hôte: Lapin Polyclonal unconjugated
N° du produit ABIN2775221
534,11 €
Plus frais de livraison 40,00 € et TVA
100 μL (Autres quantités disponibles)
Destination: France
Envoi sous 6 à 9 jours ouvrables
 
SNRNP200 Reactivité: Humain, Souris, Rat, Boeuf (Vache), Cheval, Chien, Poisson zèbre (Danio rerio), Poulet, Xenopus laevis WB, IP Hôte: Lapin Polyclonal unconjugated
N° du produit ABIN1936989
564,35 €
Plus frais de livraison 40,00 € et TVA
2 μg (Autres quantités disponibles)
Destination: France
Envoi sous 15 à 20 jours ouvrables
 
SNRNP200 Reactivité: Humain, Souris, Rat, Boeuf (Vache), Cheval, Chien, Lapin, Poulet WB, IP Hôte: Lapin Polyclonal unconjugated
N° du produit ABIN1936990
946,27 €
Plus frais de livraison 40,00 € et TVA
100 μL (Autres quantités disponibles)
Destination: France
Envoi sous 15 à 20 jours ouvrables
 
SNRNP200 Reactivité: Humain, Souris, Rat WB, ELISA, IHC Hôte: Lapin Polyclonal unconjugated
N° du produit ABIN7094853
525,71 €
Plus frais de livraison 40,00 € et TVA
100 μL (Autres quantités disponibles)
Destination: France
Envoi sous 9 à 11 jours ouvrables
 
SNRNP200 Reactivité: Humain, Souris WB, ELISA Hôte: Lapin Polyclonal unconjugated
N° du produit ABIN7119160
412,31 €
Plus frais de livraison 40,00 € et TVA
100 μg
Destination: France
Envoi sous 11 à 15 jours ouvrables
 
SNRNP200 Reactivité: Humain WB Hôte: Lapin Polyclonal unconjugated
N° du produit ABIN7839429
480,77 €
Plus frais de livraison 40,00 € et TVA
200 μL
Destination: France
Envoi sous 8 à 10 jours ouvrables
 
  • Type Primary
    • Primary
  • Application
    • Western Blotting (WB)
    • Immunoprecipitation (IP)
    • ELISA
    • Immunohistochemistry (IHC)
    • Immunofluorescence (IF)
    • Immunohistochemistry (Formalin-fixed Paraffin-embedded Sections) (IHC (fp))
    • Flow Cytometry (FACS)
    • Immunocytochemistry (ICC)
  • Réactivité
    • Human
    • Mouse
    • Rat
    • Cow
    • Horse
    • Dog
    • Rabbit
    • Chicken
    • Guinea Pig
    • Zebrafish (Danio rerio)
    • Monkey
    • Pig
    • Xenopus laevis
  • Images disponible
  • Hote
    • Rabbit
  • Clonalité
    • Polyclonal
  • Epitope
    • AA 1-50
    • AA 400-450
    • AA 1947-2136
    • AA 212-261
    • AA 557-2129
    • C-Term
    • N-Term
  • Conjugué
    • Inconjugué
  • Isotype
    • IgG
  • Format
    • Liquid
    • Lyophilized
  • Supplier
    • antibodies-online
    • Aviva Systems Biology
    • Boster Bio
    • Cohesion Biosciences

Pseudonymes pour SNRNP200 Anticorps

small nuclear ribonucleoprotein U5 subunit 200 (SNRNP200) Anticorps
ASCC3L1 Anticorps
BRR2 Anticorps
HELIC2 Anticorps
RP33 Anticorps
U5-200KD Anticorps
Vous êtes ici:
Chat with us!