ARFGAP1 anticorps
Aperçu rapide pour ARFGAP1 anticorps (ABIN1496679)
Antigène
Voir toutes ARFGAP1 AnticorpsReactivité
Hôte
Clonalité
Conjugué
Application
Clone
-
-
Specificité
- Human ARFGAP1
-
Purification
- Protein A/G purified
-
Immunogène
-
Full length human recombinant protein of human ARFGAP1 (NP_783202) produced in HEK293T cell.
Type of Immunogen: Recombinant protein -
Isotype
- IgG2b
-
-
-
-
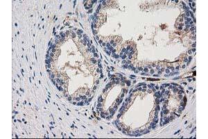
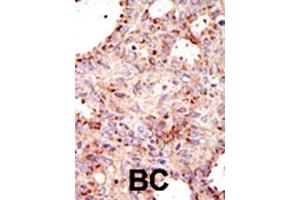
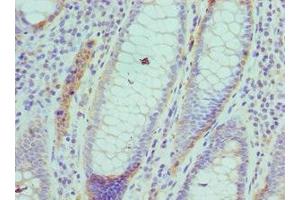
Indications d'application
- Approved: Flo (1:100), IF (1:100), IHC, IHC-P (1:150), WB (1:1000 - 1:2000)
-
Commentaires
-
Target Species of Antibody: Human
-
Restrictions
- For Research Use only
-
-
-
Format
- Liquid
-
Concentration
- Lot specific
-
Buffer
- PBS, pH 7.3, 1 % BSA, 50 % glycerol, 0.02 % sodium azide
-
Agent conservateur
- Sodium azide
-
Précaution d'utilisation
- This product contains Sodium azide: a POISONOUS AND HAZARDOUS SUBSTANCE which should be handled by trained staff only.
-
Conseil sur la manipulation
- Minimize freezing and thawing.
-
Stock
- -20 °C
-
Stockage commentaire
- Store at -20°C. Avoid freeze-thaw cycles.
-
-
- ARFGAP1 (ADP-Ribosylation Factor GTPase Activating Protein 1 (ARFGAP1))
-
Autre désignation
- ARFGAP1
-
Sujet
-
Name/Gene ID: ARFGAP1
Synonyms: ARFGAP1, ARF GAP 1, ARF1GAP, ARF1 GAP, BA261N11.3, GAP protein, HRIHFB2281 -
ID gène
- 55738
-
NCBI Accession
- NP_783202
-
UniProt
- Q8N6T3
-
Pathways
- Signalisation p53, ER-Nucleus Signaling, Unfolded Protein Response
Antigène
-