Tel:
+49 (0)241 95 163 153
Fax:
+49 (0)241 95 163 155
E-Mail:
orders@anticorps-enligne.fr

CHEK1 anticorps (pSer345)

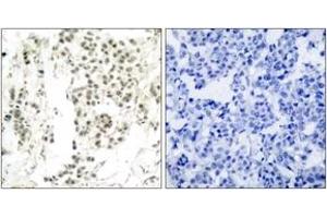
Cet anticorps Lapin Polyclonal détecte spécifiquement CHEK1 dans ELISA et IHC. Il présente une réactivité avec des échantillons de Humain, Souris et Rat.
N° du produit ABIN1531801
402,00 €
Plus frais de livraison 40,00 € et TVA
Destination: France
Envoi sous 6 à 9 jours ouvrables

Aperçu rapide pour CHEK1 anticorps (pSer345) (ABIN1531801)

Antigène

Voir toutes CHEK1 Anticorps
CHEK1 (Checkpoint Kinase 1 (CHEK1))

Reactivité

  • 225
  • 129
  • 77
  • 16
  • 11
  • 8
  • 7
  • 6
  • 6
  • 5
  • 4
  • 3
  • 2
  • 1
  • 1
Humain, Souris, Rat

Hôte

  • 236
  • 15
  • 5
  • 5
Lapin

Clonalité

  • 193
  • 69
Polyclonal

Conjugué

  • 132
  • 15
  • 9
  • 8
  • 7
  • 7
  • 7
  • 7
  • 7
  • 7
  • 4
  • 4
  • 4
  • 4
  • 4
  • 4
  • 4
  • 4
  • 4
  • 4
  • 4
  • 3
  • 3
  • 3
  • 3
Cet anticorp CHEK1 est non-conjugé

Application

  • 211
  • 86
  • 71
  • 69
  • 54
  • 41
  • 40
  • 34
  • 23
  • 15
  • 10
  • 7
  • 6
  • 3
  • 1
  • 1
ELISA, Immunohistochemistry (IHC)
  • Épitope

    • 38
    • 30
    • 20
    • 19
    • 17
    • 7
    • 7
    • 6
    • 5
    • 4
    • 2
    • 2
    • 2
    • 2
    • 2
    • 2
    • 2
    • 2
    • 2
    • 2
    • 2
    • 2
    • 2
    • 1
    • 1
    • 1
    • 1
    • 1
    • 1
    • 1
    • 1
    • 1
    • 1
    • 1
    • 1
    • 1
    • 1
    • 1
    • 1
    • 1
    • 1
    • 1
    • 1
    • 1
    • 1
    AA 310-359, pSer345

    Specificité

    Chk1 (Phospho-Ser345) Antibody detects endogenous levels of Chk1 only when phosphorylated at Ser345.

    PhosphorylationH:S345 M:S345 R:S345

    Purification

    The antibody was purified from rabbit antiserum by affinity-chromatography using phospho peptide. The antibody against non-phospho peptide was removed by chromatography using corresponding non-phospho peptide.

    Pureté

    > 95 %

    Immunogène

    The antiserum was produced against synthesized peptide derived from human Chk1 around the phosphorylation site of Ser345.

    Isotype

    IgG
  • Indications d'application

    IHC: 1:50~1:100 ELISA: 1:10000

    Commentaires

    Unigene-Number: Hs.24529 (NCBI Gene Symbol: CHEK1)

    Restrictions

    For Research Use only
  • Format

    Liquid

    Concentration

    1 mg/mL

    Buffer

    phosphate buffered saline (without Mg2+ and Ca2+), pH 7.4, 150 mM NaCl, 0.02 % sodium azide and 50 % glycerol.

    Agent conservateur

    Sodium azide

    Précaution d'utilisation

    This product contains sodium azide: a POISONOUS AND HAZARDOUS SUBSTANCE which should be handled by trained staff only.

    Stock

    -20 °C

    Stockage commentaire

    Stable at -20°C for at least 1 year.

    Date de péremption

    12 months
  • Antigène

    CHEK1 (Checkpoint Kinase 1 (CHEK1))

    Autre désignation

    Chk1

    Sujet

    Synonyms: CHEK1, Chk1, kinase Chk1

    NCBI Gene Symbol: CHEK1

    Poids moléculaire

    54 kDa

    ID gène

    1111

    OMIM

    603078

    UniProt

    O14757

    Pathways

    Signalisation p53, Apoptose, Cycle Cellulaire, Réparation de l'ADN
Vous êtes ici:
Chat with us!