Tel:
+49 (0)241 95 163 153
Fax:
+49 (0)241 95 163 155
E-Mail:
orders@anticorps-enligne.fr

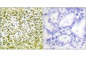
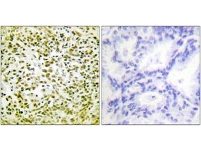
p53 anticorps (AA 283-332)

Cet anticorps Lapin Polyclonal détecte spécifiquement p53 dans WB, IHC, ELISA et IF. Il présente une réactivité avec des échantillons de Humain, Souris et Rat.
N° du produit ABIN1535547
402,00 €
Plus frais de livraison 40,00 € et TVA
Destination: France
Envoi sous 6 à 9 jours ouvrables

Aperçu rapide pour p53 anticorps (AA 283-332) (ABIN1535547)

Antigène

Voir toutes p53 (TP53) Anticorps
p53 (TP53) (Tumor Protein P53 (TP53))

Reactivité

  • 1003
  • 324
  • 256
  • 141
  • 71
  • 71
  • 61
  • 36
  • 12
  • 12
  • 11
  • 8
  • 6
  • 4
  • 4
  • 3
  • 3
  • 2
  • 2
  • 1
  • 1
  • 1
  • 1
Humain, Souris, Rat

Hôte

  • 766
  • 265
  • 5
  • 3
  • 2
  • 2
Lapin

Clonalité

  • 582
  • 460
  • 1
Polyclonal

Conjugué

  • 504
  • 55
  • 32
  • 23
  • 23
  • 22
  • 22
  • 22
  • 22
  • 19
  • 19
  • 14
  • 14
  • 14
  • 14
  • 14
  • 14
  • 14
  • 14
  • 14
  • 13
  • 13
  • 13
  • 13
  • 13
  • 13
  • 12
  • 11
  • 11
  • 11
  • 11
  • 11
  • 2
  • 2
  • 2
  • 1
  • 1
  • 1
Cet anticorp p53 est non-conjugé

Application

  • 804
  • 299
  • 288
  • 278
  • 254
  • 156
  • 154
  • 149
  • 131
  • 122
  • 65
  • 64
  • 35
  • 15
  • 12
  • 12
  • 10
  • 8
  • 8
  • 6
  • 4
  • 3
  • 3
  • 3
  • 2
  • 2
  • 2
  • 2
  • 1
  • 1
  • 1
  • 1
  • 1
  • 1
  • 1
  • 1
  • 1
  • 1
Western Blotting (WB), Immunohistochemistry (IHC), ELISA, Immunofluorescence (IF)
  • Épitope

    • 48
    • 39
    • 38
    • 34
    • 33
    • 32
    • 29
    • 27
    • 27
    • 25
    • 20
    • 20
    • 20
    • 20
    • 19
    • 18
    • 17
    • 16
    • 15
    • 15
    • 13
    • 12
    • 10
    • 8
    • 7
    • 7
    • 7
    • 7
    • 7
    • 6
    • 6
    • 6
    • 6
    • 6
    • 5
    • 5
    • 4
    • 4
    • 4
    • 4
    • 4
    • 4
    • 3
    • 3
    • 3
    • 3
    • 3
    • 3
    • 3
    • 3
    AA 283-332

    Specificité

    p53 Antibody detects endogenous levels of total p53 protein.

    Purification

    The antibody was purified from rabbit antiserum by affinity-chromatography using immunogen.

    Pureté

    > 95 %

    Immunogène

    The antiserum was produced against synthesized peptide derived from human p53.

    Isotype

    IgG
  • Indications d'application

    WB: 1:500~1:1000 IHC: 1:50~1:100 IF: 1:100~1:500 ELISA: 1:10000

    Commentaires

    Unigene-Number: Hs.654481 (NCBI Gene Symbol: TP53)

    Restrictions

    For Research Use only
  • Format

    Liquid

    Concentration

    1 mg/mL

    Buffer

    phosphate buffered saline (without Mg2+ and Ca2+), pH 7.4, 150 mM NaCl, 0.02 % sodium azide and 50 % glycerol.

    Agent conservateur

    Sodium azide

    Précaution d'utilisation

    This product contains sodium azide: a POISONOUS AND HAZARDOUS SUBSTANCE which should be handled by trained staff only.

    Stock

    -20 °C

    Stockage commentaire

    Stable at -20°C for at least 1 year.

    Date de péremption

    12 months
  • Antigène

    p53 (TP53) (Tumor Protein P53 (TP53))

    Autre désignation

    p53

    Sujet

    Synonyms: Antigen NY-CO-13, Cellular tumor antigen p53, Phosphoprotein p53, TP53, tumor protein p53, Tumor suppressor p53

    NCBI Gene Symbol: TP53

    Poids moléculaire

    43 kDa

    ID gène

    7157

    OMIM

    133239

    UniProt

    P04637

    Pathways

    Signalisation p53, Signalisation MAPK, Signalisation PI3K-Akt, Apoptose, AMPK Signaling, Chromatin Binding, ER-Nucleus Signaling, Positive Regulation of Endopeptidase Activity, Hepatitis C, Protein targeting to Nucleus, Autophagy, L'effet Warburg
Vous êtes ici:
Chat with us!