Insulin anticorps
Aperçu rapide pour Insulin anticorps (ABIN5707536)
Antigène
Voir toutes Insulin (INS) AnticorpsReactivité
Hôte
Clonalité
Conjugué
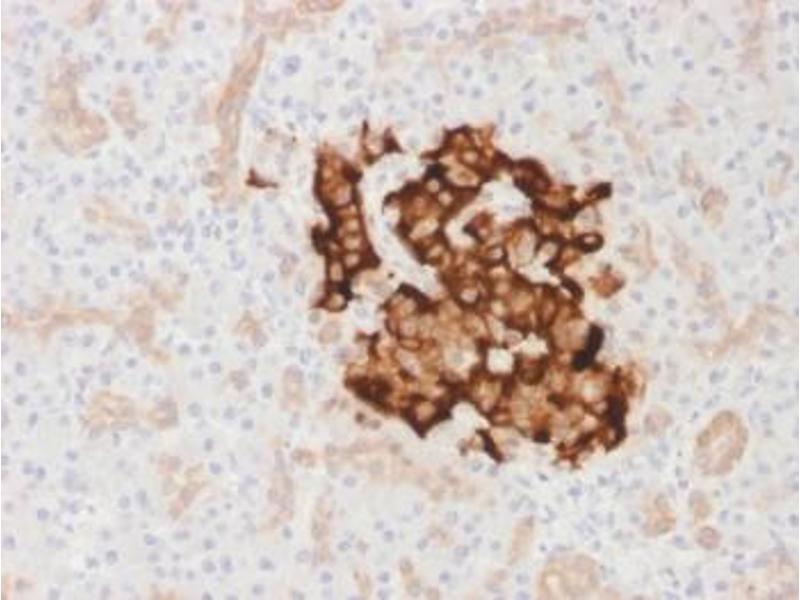
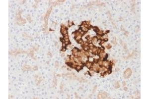
Application
Clone
-
-
Purification
- Purified
-
Pureté
- Protein A affinity chromatography
-
Immunogène
- Purified pig insulin conjugated to KLH was used as the immunogen for the recombinant INS antibody.
-
Isotype
- IgG kappa
-
-
-
-
Indications d'application
-
Optimal dilution of the recombinant INS antibody should be determined by the researcher.
1. The prediluted format is supplied in a dropper bottle and is optimized for use in IHC. After epitope retrieval step (if required), drip mAb solution onto the tissue section and incubate at RT for 30 min.\. Immunohistochemistry (FFPE): 0.5-1 μg/mL for 30 min at RT,Prediluted IHC only format: incubate for 30 min at RT (1) -
Restrictions
- For Research Use only
-
-
-
Buffer
- 1 mg/mL in 1X PBS, BSA free, sodium azide free
-
Agent conservateur
- Azide free
-
Stock
- 4 °C,-20 °C
-
Stockage commentaire
- Store the recombinant INS antibody at 2-8oC (with azide) or aliquot and store at -20oC or colder (without azide).
-
-
- Insulin (INS)
-
Autre désignation
- Insulin
-
Sujet
- Insulin decreases blood glucose concentration. It increases cell permeability to monosaccharides, amino acids and fatty acids. It accelerates glycolysis, the pentose phosphate cycle, and glycogen synthesis in liver. [UniProt]
-
Pathways
- Signalisation NF-kappaB, Signalisation RTK, Positive Regulation of Peptide Hormone Secretion, Peptide Hormone Metabolism, Hormone Activity, Carbohydrate Homeostasis, ER-Nucleus Signaling, Regulation of Carbohydrate Metabolic Process, Feeding Behaviour, Autophagy, Negative Regulation of intrinsic apoptotic Signaling, Brown Fat Cell Differentiation, Positive Regulation of fat Cell Differentiation
Antigène
-