Tel:
+49 (0)241 95 163 153
Fax:
+49 (0)241 95 163 155
E-Mail:
orders@anticorps-enligne.fr

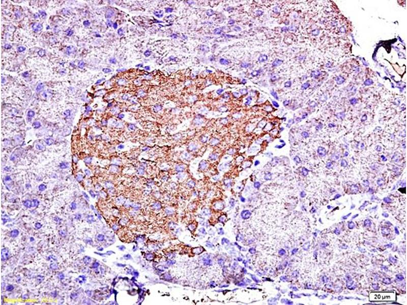
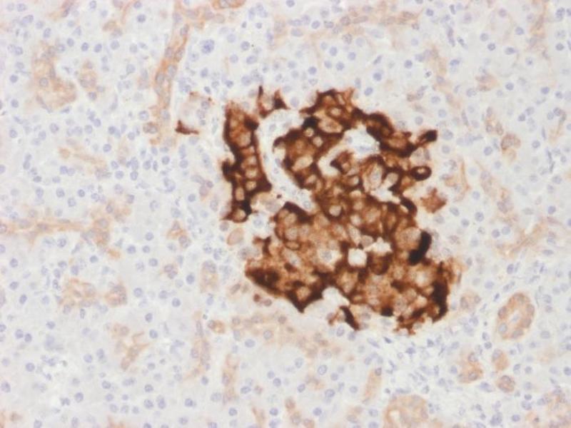
Insulin Anticorps

(Insulin (INS))
Insulin, a peptide hormone synthesized within the beta cells of the Islets of Langerhans in the pancreas, serves as a pivotal orchestrator in the intricate regulation of blood glucose concentrations. Operating through a series of intricate cellular mechanisms, insulin exerts its influence on glucose metabolism by modulating cellular glucose uptake, storage, and utilization.

Insulin antibodies are essential tools for studying insulin-related processes and investigating conditions like diabetes. Here are some primary applications for insulin research antibodies:

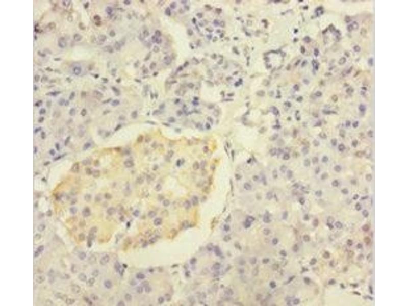
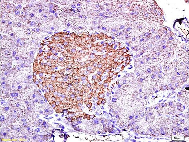
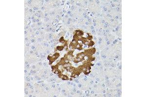
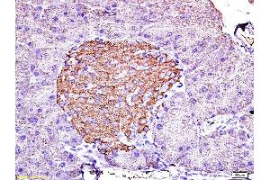
  • Immunohistochemistry (IHC) and Immunofluorescence (IF): Insulin antibodies are used to visualize the distribution and localization of insulin in tissues. IHC and IF techniques allow researchers to identify insulin-producing cells within pancreatic islets and study changes in insulin expression in response to different physiological or pathological conditions.
  • Cell Signaling Studies: Insulin is a potent signaling molecule that regulates glucose metabolism and cellular responses. Insulin antibodies are utilized to investigate insulin signaling pathways, including receptor activation, downstream kinase cascades, and transcriptional responses.
  • Pharmacological Studies: In drug development and testing, insulin antibodies are used to assess the effects of potential therapeutics on insulin expression, secretion, and signaling. This information is crucial for developing new treatments for diabetes and related conditions.
  • Immunoassays: Insulin antibodies are used in various immunoassays, such as enzyme-linked immunosorbent assays (ELISAs), to quantify insulin levels in biological samples like blood and tissue homogenates. These assays are valuable for clinical diagnosis and research studies.
  • Cell Culture and In Vitro Studies: In vitro studies often involve the use of insulin antibodies to modulate insulin signaling in cultured cells and assess the outcomes on cellular metabolism and growth.

320 Résultats

INS Reactivité: Humain IHC, WB, IF Hôte: Lapin Polyclonal unconjugated
Pubmed 1 reference
N° du produit ABIN3022885
320,00 €
Plus frais de livraison 40,00 € et TVA
100 μL (Autres quantités disponibles)
Destination: France
Envoi sous 8 à 10 jours ouvrables
 
INS Reactivité: Humain IHC, WB, IF Hôte: Lapin Monoclonal unconjugated
N° du produit ABIN7267886
330,00 €
Plus frais de livraison 40,00 € et TVA
100 μL (Autres quantités disponibles)
Destination: France
Envoi sous 8 à 10 jours ouvrables
 
INS Reactivité: Souris, Rat WB, ELISA, IHC (p), FACS, IF (p), IF (cc), IHC (fro) Hôte: Lapin Polyclonal unconjugated
Pubmed 1 reference
N° du produit ABIN724265
357,70 €
Plus frais de livraison 40,00 € et TVA
100 μL
Destination: France
Envoi sous 8 à 12 jours ouvrables
 
INS Reactivité: Souris IHC, WB, IP, ICC Hôte: Lapin Polyclonal unconjugated
N° du produit ABIN7429844
293,45 €
Plus frais de livraison 40,00 € et TVA
100 μL (Autres quantités disponibles)
Destination: France
Envoi sous 11 à 15 jours ouvrables
 
INS Reactivité: Rat IHC, WB, IP, ICC Hôte: Lapin Polyclonal unconjugated
N° du produit ABIN7429847
304,89 €
Plus frais de livraison 40,00 € et TVA
100 μL (Autres quantités disponibles)
Destination: France
Envoi sous 11 à 15 jours ouvrables
 
INS Reactivité: Humain, Souris, Porc, Boeuf (Vache), Rat, Lapin, Cobaye, Chien, Singe, Cat, Poulet, Âne, Chévre, Hamster, Cheval, Mouton, Avian WB, IHC (p), IHC (fro) Hôte: Chèvre Polyclonal unconjugated
N° du produit ABIN6254161
465,38 €
Plus frais de livraison 40,00 € et TVA
600 μg
Destination: France
Envoi sous 2 à 4 jours ouvrables
 
INS Reactivité: Humain IHC, WB, IP, ICC Hôte: Lapin Polyclonal unconjugated
N° du produit ABIN7429841
237,17 €
Plus frais de livraison 40,00 € et TVA
100 μL (Autres quantités disponibles)
Destination: France
Envoi sous 11 à 15 jours ouvrables
 
INS Reactivité: Humain IHC Hôte: Lapin Monoclonal HMV308 unconjugated Recombinant Antibody
N° du produit ABIN7826125
348,46 €
Plus frais de livraison 40,00 € et TVA
100 μL (Autres quantités disponibles)
Destination: France
Envoi sous 3 à 5 jours ouvrables
 
INS Reactivité: Humain IHC, WB, IP, ICC Hôte: Souris Monoclonal C1 unconjugated
N° du produit ABIN7425869
270,55 €
Plus frais de livraison 40,00 € et TVA
100 μL (Autres quantités disponibles)
Destination: France
Envoi sous 11 à 15 jours ouvrables
 
INS Reactivité: Boeuf (Vache) IHC, WB, IP, ICC Hôte: Lapin Polyclonal unconjugated
N° du produit ABIN7429853
329,69 €
Plus frais de livraison 40,00 € et TVA
100 μL (Autres quantités disponibles)
Destination: France
Envoi sous 11 à 15 jours ouvrables
 
INS Reactivité: Humain IHC, ELISA Hôte: Lapin Monoclonal 1F6 unconjugated Recombinant Antibody
N° du produit ABIN7127574
385,00 €
Plus frais de livraison 40,00 € et TVA
100 μL (Autres quantités disponibles)
Destination: France
Envoi sous 11 à 15 jours ouvrables
 
INS Reactivité: Humain, Souris, Porc, Boeuf (Vache), Rat IHC, ELISA, IHC (p), IHC (fro) Hôte: Souris Monoclonal D3E7 unconjugated
N° du produit ABIN768892
502,97 €
Plus frais de livraison 40,00 € et TVA
0.05 mg
Destination: France
Envoi sous 15 à 20 jours ouvrables
 
INS Reactivité: Humain IHC, ELISA, IHC (p) Hôte: Souris Monoclonal 8E2 HRP
N° du produit ABIN337134
512,07 €
Plus frais de livraison 40,00 € et TVA
50 μg
Destination: France
Envoi sous 15 à 20 jours ouvrables
 
INS Reactivité: Humain, Souris, Rat IHC, IF, IHC (p), ICC, FACS Hôte: Lapin Polyclonal unconjugated
N° du produit ABIN337249
639,37 €
Plus frais de livraison 40,00 € et TVA
50 μL
Destination: France
Envoi sous 15 à 20 jours ouvrables
 
INS Reactivité: Humain, Souris, Porc, Boeuf (Vache), Lapin IHC, StM Hôte: Souris Monoclonal rIRDN-805 unconjugated Recombinant Antibody
N° du produit ABIN6939797
639,45 €
Plus frais de livraison 40,00 € et TVA
100 μg (Autres quantités disponibles)
Destination: France
Envoi sous 6 à 10 jours ouvrables
 
INS Reactivité: Humain, Souris, Porc, Boeuf (Vache), Lapin IHC, StM Hôte: Lapin Monoclonal IRDN-1980R unconjugated Recombinant Antibody
N° du produit ABIN6939798
639,45 €
Plus frais de livraison 40,00 € et TVA
100 μg (Autres quantités disponibles)
Destination: France
Envoi sous 6 à 10 jours ouvrables
 
INS Reactivité: Humain, Souris, Porc, Boeuf (Vache) IHC, IF, IHC (p), FACS, ISt, StM Hôte: Souris Monoclonal 2D11-H5-same as INS05 unconjugated
N° du produit ABIN6939789
639,45 €
Plus frais de livraison 40,00 € et TVA
100 μg (Autres quantités disponibles)
Destination: France
Envoi sous 6 à 10 jours ouvrables
 
INS Reactivité: Humain, Souris WB, IHC (p) Hôte: Lapin Polyclonal unconjugated
N° du produit ABIN5530710
730,13 €
Plus frais de livraison 40,00 € et TVA
200 μL
Destination: France
Envoi sous 6 à 9 jours ouvrables
 
INS Reactivité: Humain, Porc, Boeuf (Vache) ELISA, IHC (p), ICC, RIA Hôte: Souris Monoclonal IN-05 unconjugated
Pubmed 2 références
N° du produit ABIN94408
279,31 €
Plus frais de livraison 40,00 € et TVA
100 μg
Destination: France
Envoi sous 2 à 4 jours ouvrables
 
INS Reactivité: Humain IHC, ELISA Hôte: Lapin Polyclonal unconjugated
N° du produit ABIN7156327
328,90 €
Plus frais de livraison 40,00 € et TVA
100 μg (Autres quantités disponibles)
Destination: France
Envoi sous 11 à 15 jours ouvrables
 
  • Type Primary
    • Primary
  • Application
    • Immunohistochemistry (IHC)
    • Western Blotting (WB)
    • ELISA
    • Immunofluorescence (IF)
    • Flow Cytometry (FACS)
    • Immunohistochemistry (Paraffin-embedded Sections) (IHC (p))
    • Immunofluorescence (Paraffin-embedded Sections) (IF (p))
    • Immunohistochemistry (Formalin-fixed Sections) (IHC (f))
    • Immunofluorescence (Cultured Cells) (IF (cc))
    • Immunocytochemistry (ICC)
    • Immunohistochemistry (Formalin-fixed Paraffin-embedded Sections) (IHC (fp))
    • Immunoprecipitation (IP)
    • Immunohistochemistry (Frozen Sections) (IHC (fro))
    • Immunostaining (ISt)
    • Radioimmunoassay (RIA)
    • Immunofluorescence (fixed cells) (IF/ICC)
    • Enzyme Immunoassay (EIA)
    • Staining Methods (StM)
    • Immunochromatography (IC)
    • Dot Blot (DB)
    • ELISA (Capture)
    • Functional Studies (Func)
    • ELISA (Detection)
    • Blocking Reagent (BR)
    • Immunoassay (IA)
    • Immunodiffusion (ID)
    • Lateral Flow (LF)
    • Neutralization (Neut)
    • Protein Assay (PrA)
    • Agglutination (AGG)
  • Réactivité
    • Human
    • Mouse
    • Pig
    • Cow
    • Rat
    • Rabbit
    • Guinea Pig
    • Dog
    • Monkey
    • Avian
    • Cat
    • Chicken
    • Donkey
    • Goat
    • Hamster
    • Horse
    • Mammalian
    • Sheep
  • Cité dans publications
  • Images disponible
  • Sans conservateur uniquement
  • Carrier free only
  • Hote
    • Mouse
    • Rabbit
    • Guinea Pig
    • Chicken
    • Goat
    • Sheep
  • Clonalité
    • Monoclonal
    • Polyclonal
    • Chimeric
  • Clone
    • 1G11
    • IRDN-1980R
    • rIRDN-805
    • 2D11-H5
    • IRDN-805
    • E2-E3
    • E2-E3 2D11-H5
    • IRDN-794
    • K36aC10
    • 1-B-1E16
    • 5C54
    • IN-05
    • ISL-8J
    • 1-B-1E15
    • 2D11-H5 or INS05
    • 7F8
    • 8E2
    • Ab 123
    • E2-E3 or INS04
    • E2E3
    • ML02I01
    • SPM139
    • 0H2
    • 1A399
    • 1A400
    • 1C5A
    • 1F6
    • 2D11-H5-same as INS05
    • 396CT20-4-4
    • 3E7
    • 5H7
    • 7C8
    • 9F3
    • C-PEP-01
    • C1
    • C7
    • CCI-3
    • D3E7
    • D3E7 (5B6-6)
    • D4B8cc
    • DEA-9
    • E2-E3-2D11-H5 or INS04-INS05
    • E6-E5 (7F8)
    • F1B2
    • GT1455
    • HMV308
    • INSC7C9
    • M322212
    • M83149
    • SAA0557
    Please use search to find more...
  • Epitope
    • AA 46-59
    • AA 25-110
    • C-Term
    • AA 1-84
    • AA 25-54
    • AA 1-110
    • AA 88-108
    • Beta Chain
    • AA 30-70
    • AA 48-62
    • AA 90-110
    • Center
    • N-Term
    • AA 21-52
    • AA 35-64
    • AA 49-98
    • AA 826-854
    • AA 93-108
    • Chain beta
    • Phe49
  • Conjugué
    • Inconjugué
    • Biotin
    • FITC
    • HRP
    • CF®405S
    • CF®488A
    • CF®568
    • CF®594
    • CF®640R
    • CF®647
    • CF®740
    • AbBy Fluor® 350
    • AbBy Fluor® 488
    • AbBy Fluor® 555
    • AbBy Fluor® 594
    • AbBy Fluor® 647
    • AbBy Fluor® 680
    • AbBy Fluor® 750
    • Cy3
    • Cy5
    • Cy5.5
    • Cy7
    • APC
    • Alexa Fluor 488
    • Alexa Fluor 555
    • Alexa Fluor 594
    • Alexa Fluor 647
    • Alexa Fluor 680
    • Alexa Fluor 750
    • PE
    • Sepharose
    • Alexa Fluor 350
    • Alexa Fluor 405
    • CF®680R
    • Magnetic Particles
  • Isotype
    • IgG
    • IgG1
    • IgG1 kappa
    • kappa
    • IgG2a
    • IgG kappa
    • Ig Fraction
    • IgG2b
    • IgG2a kappa
    • IgG3
    • IgM
    • IgY
  • Type Proteine
    • Recombinant Antibody
  • Format
    • Liquid
    • Lyophilized
  • Supplier
    • antibodies-online
    • Biotium
    • Signalway
    • USBio
    • Abbexa
    • Acris
    • ProteoGenix
    • NSJ Bioreagents
    • Biomatik
    • Cohesion Biosciences
    • Enogene Biotech
    • RayBiotech
    • ProSci
    • Assaypro
    • ANTIGENES
    • Assay Biotechnology Company, Inc.
    • Boster Bio
    • CUSABIO
    • Cloud-Clone
    • Covalab
    • ImmunoBioscience
    • Rockland

Dernières publications pour nos Insulin Anticorps

Chen, Ren, Zhou, Deng, Hu, Zhang, Li: "HWL-088, a new potent free fatty acid receptor 1 (FFAR1) agonist, improves glucolipid metabolism and acts additively with metformin in ob/ob diabetic mice." dans: British journal of pharmacology, Vol. 177, Issue 10, pp. 2286-2302, (2021) (PubMed).

Zhao, Wang, Zhu, Xia, Zhang, Wang, Zhang, Xu, Chen, Jiang, Liu, Wu, Wu, Zhang, Bai, Fotina, Hu: "The Antimicrobial Peptide Mastoparan X Protects Against Enterohemorrhagic Escherichia coli O157:H7 Infection, Inhibits Inflammation, and Enhances the Intestinal Epithelial Barrier." dans: Frontiers in microbiology, Vol. 12, pp. 644887, (2021) (PubMed).

Meesaragandla, Karanth, Janke, Delcea: "Biopolymer-coated gold nanoparticles inhibit human insulin amyloid fibrillation." dans: Scientific reports, Vol. 10, Issue 1, pp. 7862, (2020) (PubMed).

Fang, Weng, Li, Tao, Mai, Liu, Lu, Lai, Duan, Alvarez, Arvan, Wynshaw-Boris, Li, Pei, Jin, Li: "Single-Cell Heterogeneity Analysis and CRISPR Screen Identify Key ��-Cell-Specific Disease Genes." dans: Cell reports, Vol. 26, Issue 11, pp. 3132-3144.e7, (2019) (PubMed).

Xu, Huang, Guo, Xiong, Zhu, Xu, Lu, Li, Wan, Lu, Wang: "microRNA-690 regulates induced pluripotent stem cells (iPSCs) differentiation into insulin-producing cells by targeting Sox9." dans: Stem cell research & therapy, Vol. 10, Issue 1, pp. 59, (2019) (PubMed).

Chen, Zeng, Liu, Guo, Zhang, Chen, Lin, Wen, Zhao, Lin, Gao: "Adropin deficiency worsens HFD-induced metabolic defects." dans: Cell death & disease, Vol. 8, Issue 8, pp. e3008, (2018) (PubMed).

Zheng, Cao, Zhang, Yan, Xu, Zhao, Zhu, Zhang, Li, Zhu: "Abnormal gene methylation during embryonic development after preimplantation genetic testing increases risk of liver-derived insulin resistance." dans: Annals of the New York Academy of Sciences, (2018) (PubMed).

Cao, Kakar, Hossen, Wu, Chen: "Sustained epidermal powder drug delivery via skin microchannels." dans: Journal of controlled release : official journal of the Controlled Release Society, Vol. 249, pp. 94-102, (2017) (PubMed).

Dooley, Tian, Schonefeldt, Delghingaro-Augusto, Garcia-Perez, Pasciuto, Di Marino, Carr, Oskolkov, Lyssenko, Franckaert, Lagou, Overbergh, Vandenbussche, Allemeersch, Chabot-Roy, Dahlstrom, Laybutt et al.: "Genetic predisposition for beta cell fragility underlies type 1 and type 2 diabetes. ..." dans: Nature genetics, Vol. 48, Issue 5, pp. 519-27, (2017) (PubMed).

Zöllner, Jouni, Panzer, Khadour, Janzen, Wesche, Ten Berg, Schellong, Heinken, Greinacher, Bakchoul: "Platelet activation in the presence of neutral protamine Hagedorn insulin: a new feature of antibodies against protamine/heparin complexes." dans: Journal of thrombosis and haemostasis : JTH, (2016) (PubMed).

Pseudonymes pour Insulin Anticorps

insulin (INS) Anticorps
insulin (INS-IGF2) Anticorps
insulin (ins) Anticorps
insulin (Ins) Anticorps
insulin precursor (PIN) Anticorps
insulin II (Ins2) Anticorps
preproinsulin (ins) Anticorps
insulin L homeolog (ins.L) Anticorps
insulin S homeolog (ins.S) Anticorps
AA986540 Anticorps
IDDM2 Anticorps
igf2-A Anticorps
ILPR Anticorps
ins Anticorps
Ins-2 Anticorps
ins-a Anticorps
ins-b Anticorps
ins1 Anticorps
ins1-a Anticorps
InsII Anticorps
Insulin Anticorps
IRDN Anticorps
Mody Anticorps
Mody4 Anticorps
MODY10 Anticorps
proinsulin Anticorps
xins Anticorps
zgc:109842 Anticorps
Vous êtes ici:
Chat with us!