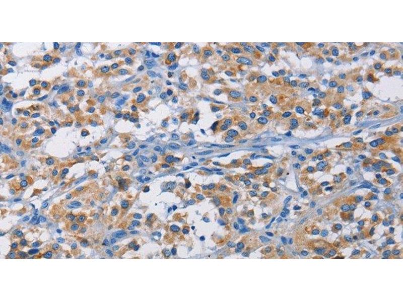
L’anticorps anti-RICTOR Polyclonal Lapin est utilisé pour la détection de RICTOR dans des échantillons de Humain et Souris. Il a été validé pour IHC et ELISA.
PBS with 0.05 % sodium azide and 50 % glycerol, PH7.4
Agent conservateur
Sodium azide
Précaution d'utilisation
This product contains Sodium azide: a POISONOUS AND HAZARDOUS SUBSTANCE which should be handled by trained staff only.
Stock
-20 °C
Stockage commentaire
Store at -20°C. Avoid freeze / thaw cycles.
Antigène
RICTOR
(RPTOR Independent Companion of mTOR, Complex 2 (RICTOR))
Autre désignation
RICTOR
Sujet
Rapamycin-insensitive companion of mTORis aproteinthat in humans is encoded by theRICTORgene. RICTOR and MTOR are components of a protein complex that integrates nutrient- and growth factor-derived signals to regulate cell growth. Subunit of mTORC2, which regulates cell growth and survival in response to hormonal signals. mTORC2 is activated by growth factors, but, in contrast to mTORC1, seems to be nutrient-insensitive. mTORC2 seems to function upstream of Rho GTPases to regulate the actin cytoskeleton, probably by activating one or more Rho-type guanine nucleotide exchange factors.