ERK1 anticorps
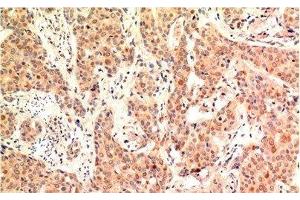
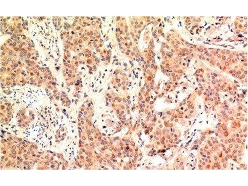
Aperçu rapide pour ERK1 anticorps (ABIN7250638)
Antigène
Voir toutes ERK1 (MAPK3) AnticorpsReactivité
Hôte
Clonalité
Conjugué
Application
Clone
-
-
Attributs du produit
- Monoclonal Antibody
-
Purification
- Protein A purification
-
Immunogène
- Recombinant Protein of ERK1 of MAPK3
-
Isotype
- IgG
-
-
-
-
Indications d'application
- IHC 1:100-200
-
Restrictions
- For Research Use only
-
-
-
Format
- Liquid
-
Concentration
- 1 mg/mL
-
Buffer
- PBS with 0.02 % sodium azide, 0.5 % BSA and 50 % glycerol, pH 7.4
-
Agent conservateur
- Sodium azide
-
Précaution d'utilisation
- This product contains Sodium azide: a POISONOUS AND HAZARDOUS SUBSTANCE which should be handled by trained staff only.
-
Stock
- -20 °C
-
Stockage commentaire
- Store at -20°C. Avoid freeze / thaw cycles.
-
-
- ERK1 (MAPK3) (Mitogen-Activated Protein Kinase 3 (MAPK3))
-
Autre désignation
- ERK 1
-
Sujet
- Involved in both the initiation and regulation of meiosis, mitosis, and postmitotic functions in differentiated cells by phosphorylating a number of transcription factors such as ELK-1. Phosphorylates EIF4EBP1, required for initiation of translation. Phosphorylates microtubule-associated protein 2 (MAP2). Phosphorylates SPZ1 (By similarity). Phosphorylates heat shock factor protein 4 (HSF4).
-
UniProt
- P27361
-
Pathways
- Signalisation MAPK, Signalisation RTK, Interferon-gamma Pathway, Fc-epsilon Receptor Signaling Pathway, Neurotrophin Signaling Pathway, Response to Growth Hormone Stimulus, Activation of Innate immune Response, Cellular Response to Molecule of Bacterial Origin, Hepatitis C, Protein targeting to Nucleus, Toll-Like Receptors Cascades, Signaling Events mediated by VEGFR1 and VEGFR2, Signaling of Hepatocyte Growth Factor Receptor, VEGFR1 Specific Signals, S100 Proteins
Antigène
-