Tel:
+49 (0)241 95 163 153
Fax:
+49 (0)241 95 163 155
E-Mail:
orders@anticorps-enligne.fr

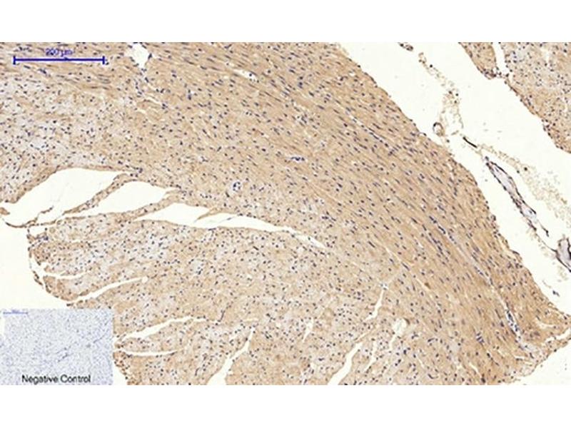
JNK anticorps (pThr183)

L’anticorps anti-JNK Polyclonal Lapin est utilisé pour la détection de JNK dans des échantillons de Humain, Souris, Rat et Poulet. Il a été validé pour WB, ELISA, IF et IHC (p).
N° du produit ABIN7213024
623,62 €
Plus frais de livraison 40,00 € et TVA
Destination: France
Envoi sous 10 à 14 jours ouvrables

Aperçu rapide pour JNK anticorps (pThr183) (ABIN7213024)

Antigène

Voir toutes JNK (MAPK8) Anticorps
JNK (MAPK8) (Mitogen-Activated Protein Kinase 8 (MAPK8))

Reactivité

  • 232
  • 143
  • 128
  • 43
  • 39
  • 20
  • 19
  • 18
  • 14
  • 12
  • 2
  • 2
  • 2
  • 1
  • 1
  • 1
  • 1
Humain, Souris, Rat, Poulet

Hôte

  • 212
  • 26
  • 3
  • 1
Lapin

Clonalité

  • 174
  • 68
Polyclonal

Conjugué

  • 117
  • 17
  • 12
  • 10
  • 9
  • 6
  • 6
  • 5
  • 5
  • 5
  • 5
  • 5
  • 3
  • 3
  • 3
  • 3
  • 3
  • 3
  • 3
  • 3
  • 3
  • 3
  • 3
  • 3
  • 3
  • 1
Cet anticorp JNK est non-conjugé

Application

  • 196
  • 83
  • 68
  • 67
  • 64
  • 44
  • 43
  • 40
  • 40
  • 26
  • 18
  • 12
  • 10
  • 3
  • 2
  • 2
  • 1
  • 1
  • 1
  • 1
  • 1
Western Blotting (WB), ELISA, Immunofluorescence (IF), Immunohistochemistry (Paraffin-embedded Sections) (IHC (p))
  • Épitope

    • 72
    • 34
    • 19
    • 16
    • 16
    • 15
    • 10
    • 10
    • 8
    • 8
    • 6
    • 6
    • 5
    • 4
    • 3
    • 2
    • 2
    • 2
    • 2
    • 2
    • 2
    • 2
    • 1
    • 1
    • 1
    • 1
    • 1
    • 1
    • 1
    • 1
    • 1
    • 1
    • 1
    • 1
    • 1
    • 1
    • 1
    • 1
    • 1
    • 1
    pThr183

    Fonction

    JNK1/2/3 (phospho Thr183/Y185) Polyclonal Antibody

    Specificité

    Phospho-JNK1/2/3 (T183/Y185) Polyclonal Antibody detects endogenous levels of JNK1/2/3 protein only when phosphorylated at T183/Y185.

    Purification

    The antibody was affinity-purified from rabbit antiserum by affinity-chromatography using epitope-specific immunogen

    Immunogène

    Synthesized peptide derived from human JNK1/2/3 Phospho-Thr183/Y185

    Isotype

    IgG
  • Indications d'application

    Optimal working dilutions should be determined experimentally by the investigator. Suggested starting dilutions are as follows: WB (1:500-1:2000), ELISA (1:10000). Not yet tested in other applications.

    Commentaires

    Primary Antibody

    Restrictions

    For Research Use only
  • Format

    Liquid

    Concentration

    1 mg/mL

    Buffer

    PBS containing 50 % Glycerol, 0.5 % BSA and 0.02 % Sodium Azide.

    Agent conservateur

    Sodium azide

    Précaution d'utilisation

    This product contains Sodium azide: a POISONOUS AND HAZARDOUS SUBSTANCE which should be handled by trained staff only.

    Stock

    -20 °C

    Stockage commentaire

    Stable for one year at -20°C from date of shipment. For maximum recovery of product, centrifuge the original vial after thawing and prior to removing the cap. Aliquot to avoid repeated freezing and thawing.
  • Antigène

    JNK (MAPK8) (Mitogen-Activated Protein Kinase 8 (MAPK8))

    Autre désignation

    JNK1/2/3

    Sujet

    Rabbit Anti-JNK1/2/3 (phospho Thr183/Y185) Polyclonal Antibody,MAPK8, JNK1, PRKM8, SAPK1, SAPK1C, Mitogen-activated protein kinase 8, MAP kinase 8, MAPK 8, JNK-46, Stress-activated protein kinase 1c, SAPK1c, Stress-activated protein kinase JNK1, c-Jun N-terminal kinase 1, MAPK9, JNK2, PRKM9, SAPK1A, Mi,Mitogen-activated protein kinase 8 encoded by MAPK8 is a member of the MAP kinase family. MAP kinases act as an integration point for multiple biochemical signals, and are involved in a wide variety of cellular processes such as proliferation, differentiation, transcription regulation and development. Mitogen-activated protein kinase 8 is activated by various cell stimuli, and targets specific transcription factors, and thus mediates immediate-early gene expression in response to cell stimuli. The activation of this kinase by tumor-necrosis factor alpha (TNF-alpha) is found to be required for TNF-alpha induced apoptosis. Mitogen-activated protein kinase 8 is also involved in UV radiation induced apoptosis, which is thought to be related to cytochrom c-mediated cell death pathway. Studies of the mouse counterpart of MAPK8 suggested that this kinase play a key role in T cell proliferation, apoptosis and differentiation. Several alternatively spliced transcript variants encoding distinct isoforms have been reported.,Mitogen-activated protein kinase 8

    Poids moléculaire

    observerd band 46+54kDa

    ID gène

    5599, 5601, 5602

    Pathways

    Signalisation MAPK, Signalisation WNT, Signalisation TLR, Fc-epsilon Receptor Signaling Pathway, Neurotrophin Signaling Pathway, Activation of Innate immune Response, Hepatitis C, Toll-Like Receptors Cascades, Signaling of Hepatocyte Growth Factor Receptor, S100 Proteins
Vous êtes ici:
Chat with us!