×
Pour une meilleure utilisation, nous vous conseillons d’activer Javascript dans votre navigateur.
Recombinant ADAM17 anticorps
Cet anticorps anti-ADAM17 Monoclonal Lapin (Clone 25GB395) (ABIN7797502) détecte spécifiquement ADAM17 dans WB, FACS et IF (p).
L’anticorps est réactif avec des échantillons de Humain.
N° du produit ABIN7797502
394,31 €
Plus frais de livraison 40,00 € et TVA
Envoi sous 7 à 10 jours ouvrables
Aperçu rapide pour Recombinant ADAM17 anticorps (ABIN7797502)
Antigène
Voir toutes ADAM17 Anticorps
ADAM17
(ADAM Metallopeptidase Domain 17 (ADAM17))
Type d'anticorp
Recombinant Antibody
Reactivité
Toutes les réactivités sur ADAM17 Anticorps
Humain
Hôte
Toutes les hôtes sur ADAM17 Anticorps
Lapin
Clonalité
Toutes les clonalités sur ADAM17 Anticorps
Monoclonal
Conjugué
Tous les conjugués à travers ADAM17 Anticorps
Cet anticorp ADAM17 est non-conjugé
Application
Tous les applications à travers ADAM17 Anticorps.
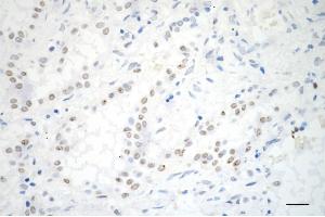
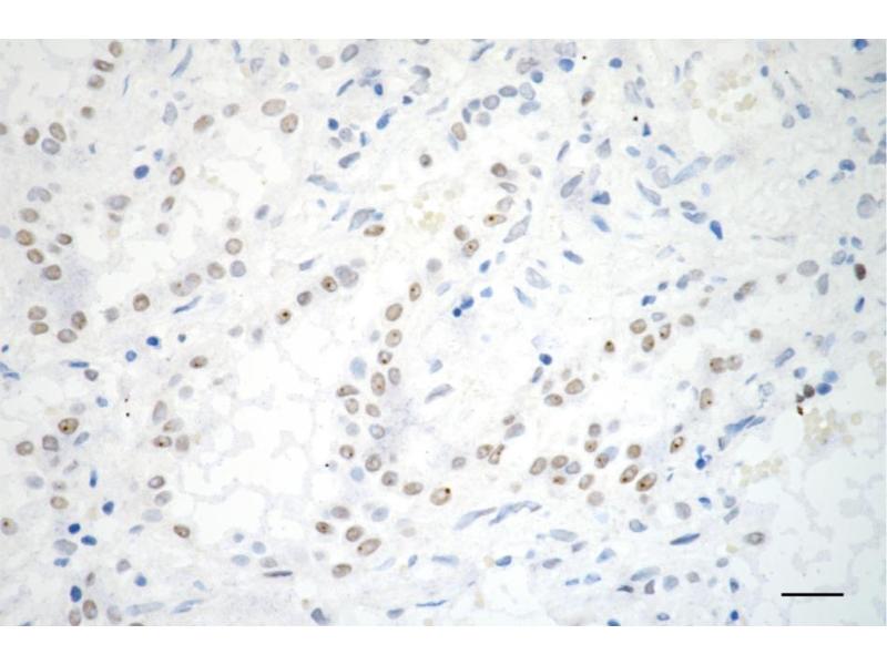
Western Blotting (WB), Flow Cytometry (FACS), Immunofluorescence (Paraffin-embedded Sections) (IF (p))
Clone
25GB395
Détail du produit anti-ADAM17 anticorps
(cache)
Expression System
HEK-293 Cells
Fonction
ADAM17 Recombinant Rabbit mAb
Réactivité croisée
Souris, Rat
Purification
Affinity Purified
Immunogène
A synthesized peptide derived from human ADAM 17
Isotype
IgG
Alternatives
(show)
Information d'application
(cache)
Indications d'application
Western Blotting (WB): 1:1,000-1:5,000, Flow Cytometry (FCM): 1:200-1:2,000, Immunohistochemistry-Paraffin (IHC-P): 1:100-1:200
Restrictions
For Research Use only
Stockage
(cache)
Format
Liquid
Buffer
PBS (pH 7.4) containing 50% glycerol and 0.02% sodium azide.
Agent conservateur
Sodium azide
Précaution d'utilisation
This product contains Sodium azide: a POISONOUS AND HAZARDOUS SUBSTANCE which should be handled by trained staff only.
Stock
-20 °C
Stockage commentaire
Store at -20 °C for one year.
Date de péremption
12 months
Détails sur ADAM17
(cache)
Antigène
ADAM17
(ADAM Metallopeptidase Domain 17 (ADAM17))
Autre désignation
ADAM17
Poids moléculaire
93 kDa
ID gène
6868
UniProt
P78536
Pathways
Signalisation Notch , EGFR Signaling Pathway , Neurotrophin Signaling Pathway , Response to Growth Hormone Stimulus
Vus récemment
(cache)
Chat with us , powered by LiveChat