Recombinant PKC alpha anticorps (pSer657)
Aperçu rapide pour Recombinant PKC alpha anticorps (pSer657) (ABIN7799985)
Antigène
Voir toutes PKC alpha (PKCa) AnticorpsType d'anticorp
Reactivité
Hôte
Clonalité
Conjugué
Application
Classe de qualité
Clone
-
-
Épitope
- pSer657
-
Expression System
- HEK-293 Cells
-
Fonction
- KD-Validated Phospho-PKC alpha (Ser657) Recombinant Rabbit mAb
-
Réactivité croisée
- Souris, Rat
-
Purification
- Affinity Purified
-
Immunogène
- A synthesized peptide derived from human Phospho-PKC alpha (Ser657)
-
Isotype
- IgG
-
-
-
-
Indications d'application
- Western Blotting (WB): 1:1,000-1:5,000, Flow Cytometry (FCM): 1:200-1:2,000
-
Commentaires
-
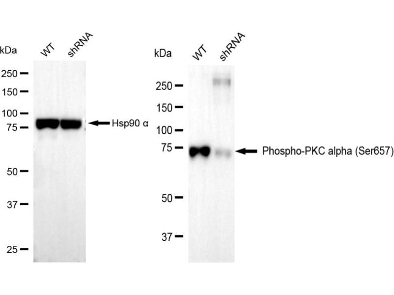
We assess the antibodies’ specificity and selectivity using knockdown techniques. Our validation approach is straightforward: if an antibody identifies a signal in wild-type (WT) cells, but this signal is absent or noticeably reduced in gene-silenced (KD) cells, we consider the antibody to be highly specific.
-
Restrictions
- For Research Use only
-
-
-
Format
- Liquid
-
Buffer
- PBS (pH 7.4) containing 50% glycerol and 0.02% sodium azide.
-
Agent conservateur
- Sodium azide
-
Précaution d'utilisation
- This product contains Sodium azide: a POISONOUS AND HAZARDOUS SUBSTANCE which should be handled by trained staff only.
-
Stock
- -20 °C
-
Stockage commentaire
- Store at -20 °C for one year.
-
Date de péremption
- 12 months
-
-
- PKC alpha (PKCa) (Protein Kinase C, alpha (PKCa))
-
Autre désignation
- PKC alpha
-
Poids moléculaire
- 77 kDa
-
ID gène
- 5578
-
UniProt
- P17252
-
Pathways
- Signalisation WNT, TCR Signaling, EGFR Signaling Pathway, Neurotrophin Signaling Pathway, Thyroid Hormone Synthesis, cAMP Metabolic Process, Myometrial Relaxation and Contraction, Cell-Cell Junction Organization, Regulation of G-Protein Coupled Receptor Protein Signaling, G-protein mediated Events, Signaling Events mediated by VEGFR1 and VEGFR2, Interaction of EGFR with phospholipase C-gamma, Thromboxane A2 Receptor Signaling, VEGFR1 Specific Signals, VEGF Signaling
Antigène
-