Recombinant Src anticorps (pTyr529)
Aperçu rapide pour Recombinant Src anticorps (pTyr529) (ABIN7800051)
Antigène
Voir toutes Src AnticorpsType d'anticorp
Reactivité
Hôte
Clonalité
Conjugué
Application
Classe de qualité
Clone
-
-
Épitope
- pTyr529
-
Expression System
- HEK-293 Cells
-
Fonction
- KD-Validated Phospho-Src (Y529) Recombinant Rabbit mAb
-
Réactivité croisée
- Souris, Rat
-
Purification
- Affinity Purified
-
Immunogène
- A synthesized peptide derived from human Phospho-Src (Y529)
-
Isotype
- IgG
-
-
-
-
Indications d'application
- Western Blotting (WB): 1:1,000-1:5,000, Flow Cytometry (FCM): 1:200-1:2,000
-
Commentaires
-
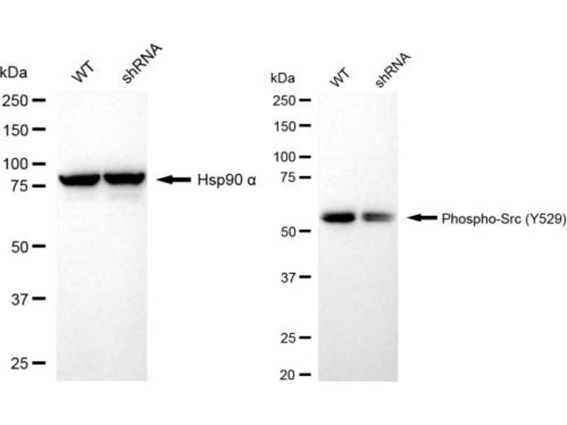
We assess the antibodies’ specificity and selectivity using knockdown techniques. Our validation approach is straightforward: if an antibody identifies a signal in wild-type (WT) cells, but this signal is absent or noticeably reduced in gene-silenced (KD) cells, we consider the antibody to be highly specific.
-
Restrictions
- For Research Use only
-
-
-
Format
- Liquid
-
Buffer
- PBS (pH 7.4) containing 50% glycerol and 0.02% sodium azide.
-
Agent conservateur
- Sodium azide
-
Précaution d'utilisation
- This product contains Sodium azide: a POISONOUS AND HAZARDOUS SUBSTANCE which should be handled by trained staff only.
-
Stock
- -20 °C
-
Stockage commentaire
- Store at -20 °C for one year.
-
Date de péremption
- 12 months
-
-
- Src (Proto-oncogene tyrosine-protein kinase Src (Src))
-
Autre désignation
- Src
-
Poids moléculaire
- 60 kDa
-
ID gène
- 6714
-
UniProt
- P12931
-
Pathways
- Signalistation JAK/STAT, Neurotrophin Signaling Pathway, Intracellular Steroid Hormone Receptor Signaling Pathway, Regulation of Intracellular Steroid Hormone Receptor Signaling, Cellular Response to Molecule of Bacterial Origin, Cell-Cell Junction Organization, Regulation of Carbohydrate Metabolic Process, Autophagy, CXCR4-mediated Signaling Events, Signaling Events mediated by VEGFR1 and VEGFR2, Smooth Muscle Cell Migration, Negative Regulation of intrinsic apoptotic Signaling, Platelet-derived growth Factor Receptor Signaling, Thromboxane A2 Receptor Signaling, Signaling of Hepatocyte Growth Factor Receptor, VEGF Signaling
Antigène
-