PAG1 anticorps (AA 97-432)
Aperçu rapide pour PAG1 anticorps (AA 97-432) (ABIN94497)
Antigène
Voir toutes PAG1 AnticorpsReactivité
Hôte
Clonalité
Conjugué
Application
-
-
Épitope
- AA 97-432
-
Fonction
- Anti-PAG1 Purified
-
Réactivité croisée (Details)
- Mouse, Human
-
Attributs du produit
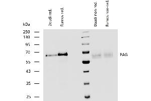
- The polyclonal antibody recognizes intracellular part of Csk-binding protein (Cbp / PAG), a 46 kDa ubiquitously expressed transmembrane adaptor protein present in membrane rafts (glycosphingolipid-enriched microdomains), which however migrates on SDS PAGE gels anomalously as an 80 kDa molecule.
-
Purification
- Purified by protein-A affinity chromatography.
-
Pureté
- > 95 % (by SDS-PAGE)
-
Immunogène
- Recombinant intracellular fragment (aa 97-432) of human Cbp (PAG).
-
-
-
-
Indications d'application
-
Immunohistochemistry (paraffin sections): Positive tissue: tonsil, colon germinal center.
Western blotting: Recommended dilution: 1-2 μg/mL. -
Restrictions
- For Research Use only
-
-
-
Format
- Liquid
-
Concentration
- 1 mg/mL
-
Buffer
- Phosphate buffered saline (PBS), pH 7.4, 15 mM sodium azide
-
Agent conservateur
- Sodium azide
-
Précaution d'utilisation
- This product contains Sodium azide: a POISONOUS AND HAZARDOUS SUBSTANCE which should be handled by trained staff only.
-
Conseil sur la manipulation
- Do not freeze
-
Stock
- 4 °C
-
Stockage commentaire
- Store at 2-8°C. Do not freeze.
-
-
- PAG1 (phosphoprotein Associated with Glycosphingolipid Microdomains 1 (PAG1))
-
Autre désignation
- PAG1
-
Sujet
- Phosphoprotein membrane anchor with glycosphingoli,PAG (phosphoprotein associated with GEMs), also known as Cbp (Csk-binding protein), is a ubiquitously expressed 46 kDa transmembrane adaptor protein present in membrane rafts (glycosphingolipid-enriched microdomains), which however migrates on SDS PAGE gels anomalously as an 80 kDa molecule. Following tyrosine phosphorylation by Src family kinases, PAG binds and thereby activates the protein tyrosine kinase Csk, the major negative regulator of the Src family kinases. Signaling via the B-cell receptor in B cells or high affinity IgE receptor (FcepsilonRI) in mast cells leads to PAG increased tyrosine phosphorylation and Csk binding, while T cell receptor signaling causes PAG dephosphorylation, loss of Csk binding and increased activation of the protein tyrosine kinase Lck.,CBP, PAG
-
ID gène
- 94212
-
UniProt
- Q3U1F9
-
Pathways
- Signalisation p53, TCR Signaling, EGFR Signaling Pathway, CXCR4-mediated Signaling Events
Antigène
-