Tel:
+49 (0)241 95 163 153
Fax:
+49 (0)241 95 163 155
E-Mail:
orders@anticorps-enligne.fr

Anticorps pour IHC

antibodies-online vous propose actuellement plus de 230 000 anticorps IHC. Si vous avez besoin d'aide pour trouver le produit adapté à vos besoins, veuillez contacter notre service clientèle par téléphone, chat en direct ou courriel.

Parcourez notre gamme d'anticorps IHC!

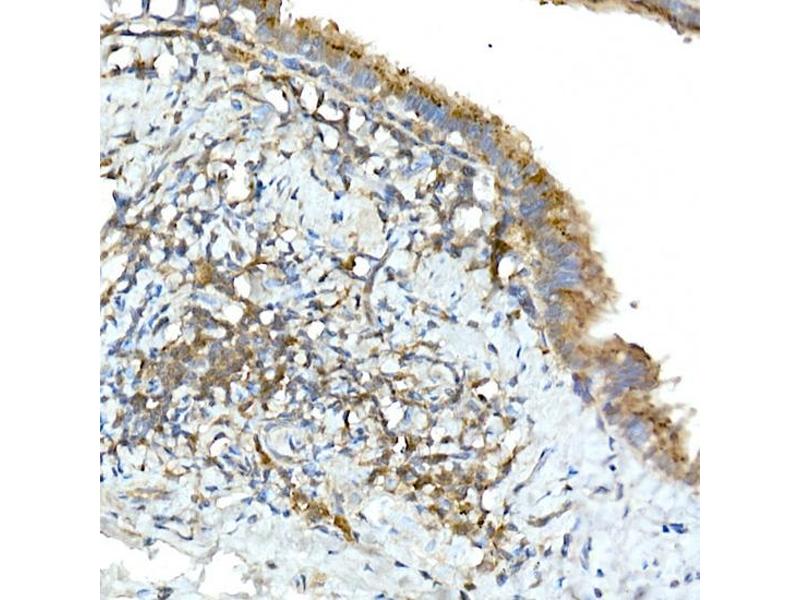
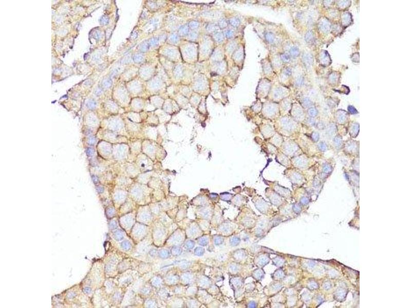
Aperçu de l'immunohistochimie

L'immunohistochimie (IHC) désigne le processus de détection des antigènes dans les cellules d'une coupe de tissu en exploitant le principe de liaison spécifique des anticorps aux antigènes des tissus biologiques. Elle est largement utilisée dans le diagnostic des cellules anormales comme celles que l'on trouve dans les tumeurs cancéreuses et dans la recherche fondamentale pour comprendre la distribution et la localisation des biomarqueurs et des protéines exprimées de manière différentielle dans différentes parties d'un tissu biologique. Visualiser une interaction anticorps-antigène peut être accompli de plusieurs façons. Dans le cas le plus courant, un anticorps est conjugué à une enzyme, comme la peroxydase, qui peut catalyser une réaction produisant une couleur, ou marqué à un fluorophore.

Antibodies for IHC

Préparation des tissus

La préparation de l'échantillon de tissu est d'une importance cruciale, car une manipulation inadéquate peut perturber la structure du tissu, entraîner une réduction de l'affinité de liaison des anticorps ou même empêcher complètement la liaison. L'objectif est de conserver le tissu dans des conditions proches du vivant tout en empêchant concomitamment l'autolyse et la dégradation due à la croissance bactérienne ou fongique. À cette fin, des fixateurs sont utilisés, tels que le paraformaldéhyde-lysine-périodate (PLP) ou le formol. Le fixateur le plus courant est le formaldéhyde à 4%-10% (dans certains cas jusqu'à 40%) dans un tampon phosphate 0,1M (afin de stabiliser le pH).

Pour les tissus qui ne tolèrent pas l'incubation au formaldéhyde, une alternative souvent utilisée consiste à congeler instantanément les échantillons dans l'azote liquide, puis à les couper en sections. Les tissus incubés avec des fixateurs sont inclus dans une matrice, par exemple de la paraffine, ou, après avoir été déshydratés, dans de l'alcool (isopropanol ou éthanol), puis coupés en sections. Pour les tissus sensibles, l'application d'un microtome vibratome peut être conseillée, en raison du moindre stress physique qu'il produit sur les tissus.

Récupération d'antigènes

Malgré sa qualité de conservation supérieure, en termes de morphologie, les échantillons fixés au formol et inclus en paraffine peuvent perdre une partie ou la totalité de l'immunoréactivité en raison de changements structurels de l'antigène ciblé. La démonstration des antigènes, et donc de l'immunoréactivité, peut être améliorée à l'aide de diverses techniques. Il existe principalement deux approches distinctes, à savoir le traitement thermique, appelé "récupération des épitopes induite par la chaleur" (HIER), et la "récupération des épitopes induite par la protéolyse" (PIER). Afin d'appliquer ces techniques, les coupes de tissus doivent d'abord être déparaffinées et réhydratées.

HIER fonctionne en appliquant, ce qui est souvent appelé solution de récupération. Ce tampon préchauffé a une composition et un pH variables, souvent composé de Tris-HCl ou de citrate. Les échantillons émergés sont exposés à la chaleur pendant une durée variable (généralement entre 10 et 60 minutes), puis refroidis lentement. Le chauffage lui-même peut être effectué à l'aide d'un autoclave, d'un bain-marie, d'une cocotte-minute ou d'un appareil similaire.

PIER fonctionne en appliquant des enzymes de digestion, comme la protéinase K, la trypsine, la pepsine et diverses autres protéinases. Le temps d'incubation et les concentrations optimales doivent être testés. Dans la phase finale, les spécificités des échantillons doivent être optimisées. Parfois, il peut être nécessaire de combiner HIER et PIER afin d'obtenir un " démasquage " de l'antigène après une incubation dans le formol.

Méthodes de maintien

Méthode directe

Dans cette méthode, un anticorps marqué (par exemple avec un substrat-chromogène) réagit directement avec l'antigène dans le tissu. L'avantage est qu'un seul anticorps est nécessaire, donc l'application est rapide et produit peu de liaison non spécifique. En revanche, comme un seul anticorps se lie à un épitope, l'intensité du signal est faible. Pour les applications avec de petites quantités d'antigène, le signal peut être trop faible.

Méthode indirecte (en deux étapes)

Afin d'améliorer la faible intensité du signal de la méthode directe, la méthode indirecte a été développée. L'anticorps primaire se lie à l'antigène, suivi par un second anticorps (marqué) qui se lie au primaire. Le signal est amplifié en raison de la liaison de plusieurs anticorps secondaires à un seul anticorps primaire. Un autre avantage est qu'un seul anticorps marqué doit être utilisé pour différentes cibles, ce qui peut réduire les coûts. Un inconvénient est que la liaison non spécifique se produit plus fréquemment qu'avec la méthode directe.

Méthode en trois étapes

Afin d'amplifier davantage le signal, on peut employer un anticorps supplémentaire qui se lie à l'anticorps secondaire. Cette méthode conduit à une troisième couche d'anticorps qui sont tous marqués. Cette application est utile pour la coloration d'antigènes avec un nombre limité d'épitopes.

Méthode PAP

Aujourd'hui, la méthode de l'anti-peroxydase est rarement utilisée, mais elle était auparavant populaire dans les laboratoires de pathologie. Il s'agit d'une méthode indirecte qui dépend d'une troisième couche d'anticorps, liée à la peroxydase, qui fixe un anticorps non conjugué de la deuxième couche. La peroxydase n'est pas chimiquement conjuguée à l'IgG mais liée immunologiquement. Cela signifie que l'anticorps de la troisième couche est spécifique de la peroxydase. Cela conduit à une activité beaucoup plus élevée de la peroxydase, augmentant à son tour la sensibilité du test de deux à trois ordres de grandeur.

Méthodes du complexe avidine-biotine (ABC)(Strept)

De nos jours, l'une des méthodes les plus utilisées pour la coloration est basée sur la haute affinité que l'avidine (œuf de poule) et la streptavidine (Streptomyces avidinii) ont pour la glycoprotéine biotine. Le principe de base est que l'avidine (ou la streptavidine) réagit avec un anticorps secondaire biotinylé, suivi d'une réaction à la peroxydase de raifort.

Dans certains cas, une amplification catalysée du signal (CSA) est employée. Un réactif d'amplification conduit à l'agrégation d'un grand nombre de biotines qui réagissent ensuite avec la peroxydase marquée à la streptavidine. Un problème avec l'avidine est sa grande liaison électrostatique, due à sa charge moléculaire. La streptavidine n'a pas la même propension, ce qui permet de réduire le signal de fond.

Méthodes polymériques

En bref, les méthodes polymériques emploient de grands polymères liés à des anticorps et capables de lier un plus grand nombre de molécules, généralement une moyenne de dix anticorps et environ 70 molécules d'enzymes. Cette configuration permet une amplification exceptionnelle du signal, d'où une sensibilité élevée, une liaison non spécifique réduite, et donc un faible signal de fond. Elle permet également la coloration de deux antigènes différents en même temps.

Anticorps pour IHC

255.871 Résultats

PLIN2 Reactivité: Humain WB, IHC, IF Hôte: Lapin Polyclonal unconjugated
Pubmed 2 références
N° du produit ABIN6145773
320,00 €
Plus frais de livraison 40,00 € et TVA
100 μL (Autres quantités disponibles)
Destination: France
Envoi sous 8 à 10 jours ouvrables
 
MMP2 Reactivité: Humain WB, IHC, IF Hôte: Lapin Polyclonal unconjugated
Pubmed 6 références
N° du produit ABIN6143911
320,00 €
Plus frais de livraison 40,00 € et TVA
100 μL (Autres quantités disponibles)
Destination: France
Envoi sous 8 à 10 jours ouvrables
 
PDPK1 Reactivité: Humain WB, IHC Hôte: Lapin Polyclonal unconjugated
Pubmed 1 reference
N° du produit ABIN3022352
385,00 €
Plus frais de livraison 40,00 € et TVA
100 μL (Autres quantités disponibles)
Destination: France
Envoi sous 8 à 10 jours ouvrables
 
XRCC4 Reactivité: Humain WB, IHC, IF Hôte: Lapin Polyclonal unconjugated
Pubmed 2 références
N° du produit ABIN3022382
320,00 €
Plus frais de livraison 40,00 € et TVA
100 μL (Autres quantités disponibles)
Destination: France
Envoi sous 8 à 10 jours ouvrables
 
HNRNPK Reactivité: Humain WB, IHC, IF Hôte: Lapin Polyclonal unconjugated
Pubmed 1 reference
N° du produit ABIN3022414
320,00 €
Plus frais de livraison 40,00 € et TVA
100 μL (Autres quantités disponibles)
Destination: France
Envoi sous 8 à 10 jours ouvrables
 
GLUR1 Reactivité: Humain WB, IHC, IF Hôte: Lapin Polyclonal unconjugated
Pubmed 1 reference
N° du produit ABIN3015589
320,00 €
Plus frais de livraison 40,00 € et TVA
100 μL (Autres quantités disponibles)
Destination: France
Envoi sous 8 à 10 jours ouvrables
 
NAMPT Reactivité: Humain, Rat, Souris WB, IHC, ELISA, IP, ICC, FACS Hôte: Souris Monoclonal OMNI379 unconjugated
Pubmed 7 références
N° du produit ABIN1169028
578,54 €
Plus frais de livraison 40,00 € et TVA
100 μg
Destination: France
Envoi sous 2 à 5 jours ouvrables
 
GOLGA2 Reactivité: Humain WB, IHC, IF, IP Hôte: Lapin Polyclonal unconjugated
Pubmed 3 références
N° du produit ABIN6141264
320,00 €
Plus frais de livraison 40,00 € et TVA
100 μL (Autres quantités disponibles)
Destination: France
Envoi sous 8 à 10 jours ouvrables
 
SNAI1 Reactivité: Humain WB, IHC Hôte: Lapin Polyclonal unconjugated
Pubmed 1 reference
N° du produit ABIN6148177
320,00 €
Plus frais de livraison 40,00 € et TVA
100 μL (Autres quantités disponibles)
Destination: France
Envoi sous 8 à 10 jours ouvrables
 
MME Reactivité: Humain WB, IHC Hôte: Lapin Polyclonal unconjugated
Pubmed 1 reference
N° du produit ABIN6143900
320,00 €
Plus frais de livraison 40,00 € et TVA
100 μL (Autres quantités disponibles)
Destination: France
Envoi sous 8 à 10 jours ouvrables
 
TNFAIP3 Reactivité: Humain WB, IHC Hôte: Lapin Polyclonal unconjugated
Pubmed 1 reference
N° du produit ABIN3022985
320,00 €
Plus frais de livraison 40,00 € et TVA
100 μL (Autres quantités disponibles)
Destination: France
Envoi sous 8 à 10 jours ouvrables
 
HDAC3 Reactivité: Humain WB, IHC, IF, IP, ChIP Hôte: Lapin Polyclonal unconjugated
Pubmed 3 références
N° du produit ABIN3023018
320,00 €
Plus frais de livraison 40,00 € et TVA
100 μL (Autres quantités disponibles)
Destination: France
Envoi sous 8 à 10 jours ouvrables
 
EIF4E Reactivité: Humain WB, IHC, IF, IP Hôte: Lapin Polyclonal unconjugated
Pubmed 2 références
N° du produit ABIN3023085
385,00 €
Plus frais de livraison 40,00 € et TVA
100 μL (Autres quantités disponibles)
Destination: France
Envoi sous 8 à 10 jours ouvrables
 
ATF2 Reactivité: Humain WB, IHC Hôte: Lapin Polyclonal unconjugated
Pubmed 1 reference
N° du produit ABIN3023064
385,00 €
Plus frais de livraison 40,00 € et TVA
100 μL (Autres quantités disponibles)
Destination: France
Envoi sous 8 à 10 jours ouvrables
 
IKBKB Reactivité: Humain WB, IHC Hôte: Lapin Polyclonal unconjugated
Pubmed 2 références
N° du produit ABIN3022876
320,00 €
Plus frais de livraison 40,00 € et TVA
100 μL (Autres quantités disponibles)
Destination: France
Envoi sous 8 à 10 jours ouvrables
 
N° du produit ABIN3015855
320,00 €
Plus frais de livraison 40,00 € et TVA
100 μL (Autres quantités disponibles)
Destination: France
Envoi sous 8 à 10 jours ouvrables
 
THBS1 Reactivité: Humain WB, IHC Hôte: Lapin Polyclonal unconjugated
Pubmed 1 reference
N° du produit ABIN3022979
320,00 €
Plus frais de livraison 40,00 € et TVA
100 μL (Autres quantités disponibles)
Destination: France
Envoi sous 8 à 10 jours ouvrables
 
CHUK Reactivité: Humain WB, IHC, IF, IP Hôte: Lapin Polyclonal unconjugated
Pubmed 3 références
N° du produit ABIN3022825
320,00 €
Plus frais de livraison 40,00 € et TVA
100 μL (Autres quantités disponibles)
Destination: France
Envoi sous 8 à 10 jours ouvrables
 
UBC Reactivité: Humain WB, IHC Hôte: Lapin Polyclonal unconjugated
Pubmed 3 références
N° du produit ABIN1683190
320,00 €
Plus frais de livraison 40,00 € et TVA
100 μg (Autres quantités disponibles)
Destination: France
Envoi sous 8 à 10 jours ouvrables
 
KIFC1 Reactivité: Humain WB, IF, IHC Hôte: Lapin Polyclonal unconjugated
Pubmed 1 reference
N° du produit ABIN1680592
320,00 €
Plus frais de livraison 40,00 € et TVA
100 μg (Autres quantités disponibles)
Destination: France
Envoi sous 8 à 10 jours ouvrables
 
PCBP2 Reactivité: Humain WB, IHC, IF Hôte: Lapin Polyclonal unconjugated
Pubmed 1 reference
N° du produit ABIN3023340
320,00 €
Plus frais de livraison 40,00 € et TVA
100 μL (Autres quantités disponibles)
Destination: France
Envoi sous 8 à 10 jours ouvrables
 
MAP2 Reactivité: Humain WB, IHC, IF Hôte: Lapin Polyclonal unconjugated
Pubmed 2 références
N° du produit ABIN3016265
320,00 €
Plus frais de livraison 40,00 € et TVA
100 μL (Autres quantités disponibles)
Destination: France
Envoi sous 8 à 10 jours ouvrables
 
N° du produit ABIN3016036
385,00 €
Plus frais de livraison 40,00 € et TVA
100 μL (Autres quantités disponibles)
Destination: France
Envoi sous 8 à 10 jours ouvrables
 
H3 Reactivité: Humain WB, IHC, IF, ChIP, IP, ChIP-seq Hôte: Lapin Polyclonal unconjugated
Pubmed 4 références
N° du produit ABIN3016039
385,00 €
Plus frais de livraison 40,00 € et TVA
100 μL (Autres quantités disponibles)
Destination: France
Envoi sous 8 à 10 jours ouvrables
 
TGFBI Reactivité: Humain WB, IHC, IF Hôte: Lapin Polyclonal unconjugated
Pubmed 1 reference
N° du produit ABIN3023373
320,00 €
Plus frais de livraison 40,00 € et TVA
100 μL (Autres quantités disponibles)
Destination: France
Envoi sous 8 à 10 jours ouvrables
 
  • Type Primary
    • Primary
  • Target
    • Histone 3 (H3)
    • p53 (TP53)
    • EGFR
    • AKT1
    • CD45 (PTPRC)
    • GFAP
    • EpCAM (EPCAM)
    • Albumin (ALB)
    • Estrogen Receptor alpha (ESR1)
    • Cytokeratin 18 (KRT18)
    • CD31 (PECAM1)
    • tau
    • Bcl-2 (BCL2)
    • Cytokeratin 19 (KRT19)
    • KRT8
    • MUC1
    • CD4
    • Vimentin (VIM)
    • TNF alpha
    • CD3 epsilon (CD3E)
    • NF-kB p65 (NFkBP65)
    • CD44
    • CD8 alpha (CD8A)
    • Chromogranin A (CHGA)
    • ErbB2/Her2
    • HSPD1
    • HSP27 (HSPB1)
    • C-JUN (JUN)
    • E-cadherin (CDH1)
    • Insulin (INS)
    • Caspase 3 (CASP3)
    • CD11b (ITGAM)
    • STAT3
    • beta Catenin (CATNB)
    • CD34
    • c-MYC (MYC)
    • SNCA
    • RPS6KB1
    • Cytokeratin 7 (KRT7)
    • VWF
    • Histone H4 (HISTH4)
    • Interferon gamma (IFNG)
    • beta-2 Microglobulin (B2M)
    • Ubiquitin (Ub)
    • RAF1
    • MEK1 (MAP2K1)
    • PTH
    • SOD1
    • CD5
    • Annexin a1 (ANXA1)
    Please use search to find more...
  • Application Immunohistochemistry (IHC), Immunohistochemistry (Paraffin-embedded Sections) (IHC (p)), Immunohistochemistry (Frozen Sections) (IHC (fro)), Immunohistochemistry (Formalin-fixed Sections) (IHC (f)), Immunohistochemistry (Formalin-fixed Paraffin-embedded Sections) (IHC (fp)), Immunohistochemistry (Zinc-fixed Sections) (IHC (zinc)), Immunohistochemistry (Paraformaldehyde) (IHC (pfa)), Immunohistochemistry (Free Floating) (IHC (ff)), Immunohistochemistry (Whole Mount) (IHC (wm)), Immunohistochemistry (Resin Sections) (IHC (rs)), Immunohistochemistry (Fixed) (IHC (fx)), Immunohistochemistry (Acetone-fixed) (IHC (af))
    • Immunohistochemistry (Acetone-fixed) (IHC (af))
    • Immunohistochemistry (Fixed) (IHC (fx))
    • Immunohistochemistry (Resin Sections) (IHC (rs))
    • Immunohistochemistry (Whole Mount) (IHC (wm))
    • Immunohistochemistry (Free Floating) (IHC (ff))
    • Immunohistochemistry (Paraformaldehyde) (IHC (pfa))
    • Immunohistochemistry (Zinc-fixed Sections) (IHC (zinc))
    • Immunohistochemistry (Formalin-fixed Paraffin-embedded Sections) (IHC (fp))
    • Immunohistochemistry (Formalin-fixed Sections) (IHC (f))
    • Immunohistochemistry (Frozen Sections) (IHC (fro))
    • Immunohistochemistry (Paraffin-embedded Sections) (IHC (p))
    • Immunohistochemistry (IHC)
    • Western Blotting (WB)
    • ELISA
    • Immunofluorescence (Paraffin-embedded Sections) (IF (p))
    • Flow Cytometry (FACS)
    • Immunofluorescence (IF)
    • Immunofluorescence (Cultured Cells) (IF (cc))
    • Immunocytochemistry (ICC)
    • Immunoprecipitation (IP)
    • Enzyme Immunoassay (EIA)
    • Immunofluorescence (fixed cells) (IF/ICC)
    • Dot Blot (DB)
    • Immunochromatography (IC)
    • Functional Studies (Func)
    • Radioimmunoassay (RIA)
    • Neutralization (Neut)
    • Chromatin Immunoprecipitation (ChIP)
    • Coating (Coat)
    • Staining Methods (StM)
    • Immunostaining (ISt)
    • Fluorescence Microscopy (FM)
    • Immunoassay (IA)
    • Immunodiffusion (ID)
    • Intracellular Flow Cytometry (ICFC)
    • Proximity Ligation Assay (PLA)
    • Lateral Flow (LF)
    • Surface Plasmon Resonance (SPR)
    • Blocking Reagent (BR)
    • Confocal Microscopy (CM)
    • Immunoelectrophoresis (IEP)
    • Live Cell Imaging (LCI)
    • Cytotoxicity Test (CyTox)
    • Bio-Layer Interferometry (BLI)
    • ELISA (Capture)
    • Indirect Immunofluorescence Assay (IFA)
    • Blocking Antibody (Inhibition)
    • RNA Interference (RNAi)
    • Antibody Array (AA)
    • Intracellular Staining (ICS)
    • Blocking Peptide (BP)
    • Chemiluminescence Immunoassay (CLIA)
    • ChIP DNA-Sequencing (ChIP-seq)
    • In vivo Studies (in vivo)
    • ELISA (Detection)
    • Protein Assay (PrA)
    • Affinity Purification (AP)
  • Réactivité
    • Human
    • Mouse
    • Rat
    • Cow
    • Dog
    • Monkey
    • Rabbit
    • Pig
    • Horse
    • Guinea Pig
    • Chicken
    • Zebrafish (Danio rerio)
    • Sheep
    • Hamster
    • Bat
    • Xenopus laevis
    • Goat
    • Cat
    • Various Species
    • Drosophila melanogaster
    • Saccharomyces cerevisiae
    • Frog
    • Non-Human Primate
    • Mammalian
    • Rhesus Monkey
    • Baboon
    • Chimpanzee
    • Gorilla
    • Fish
    • Cynomolgus
    • Virus
    • Gibbon
    • Primate
    • Plant
    • Human Papillomavirus 16 (HPV-16)
    • E. coli
    • Orang-Utan
    • Chemical
    • Aequorea victoria
    • Macaque
    • Avian
    • Human Immunodeficiency Virus (HIV)
    • Ferret
    • Influenza A Virus
    • Marmoset
    • Hepatitis C Virus (HCV)
    • C. elegans
    • SARS Coronavirus-2 (SARS-CoV-2)
    • Bacteria
    • Pigeon
    Please use search to find more...
  • Cité dans publications
  • Images disponible
  • Independent Validation
  • Sans conservateur uniquement
  • Carrier free only
  • Méthode de détection
    • Fluorometric
  • Hote
    • Rabbit
    • Mouse
    • Goat
    • Rat
    • Sheep
    • Guinea Pig
    • Chicken
    • Hamster
    • Human
    • Armenian Hamster
    • Alpaca
    • Chicken eggs
    • Golden Syrian Hamster
    • HEK-293F Cells
    • Cell culture
    • Chicken egg
    • Llama
    • Pig
    • Rabbit/Mouse Cocktail
    • Carp
    • Horse
  • Clonalité
    • Polyclonal
    • Monoclonal
    • Chimeric
    • Bispecific
  • Clone
    • C1
    • C2
    • C3
    • C4
    • C5
    • C6
    • C11
    • C10
    • C7
    • D4
    • D1
    • C8
    • C12
    • D2
    • C9
    • D3
    • 2F11
    • C13
    • 2F6
    • 9E10
    • 3F8
    • 1F6
    • 1A4
    • 2C1
    • 145-2C11
    • D5
    • 1D6
    • 1A1
    • 1F8
    • 3G4
    • 1A6
    • 1A7
    • 1C7
    • 1D4
    • 1F10
    • 3B5
    • 3G8
    • 2D2
    • 3C3
    • RB6-8C5
    • 1B4
    • 1D11
    • 2A5
    • 2G4
    • 2C4
    • 2D4
    • 4C2
    • 7G6
    • PAb
    • 1D2
    Please use search to find more...
  • Epitope
    • C-Term
    • N-Term
    • Internal Region
    • Center
    • Middle Region
    • AA 1-30
    • AA 1-100
    • AA 101-200
    • AA 51-150
    • AA 201-300
    • Extracellular Domain
    • AA 151-250
    • AA 21-120
    • AA 1-50
    • Cytosolic
    • Extracellular
    • AA 301-400
    • Cytoplasmic Domain
    • AA 251-350
    • Intracellular
    • AA 31-130
    • AA 401-500
    • AA 351-450
    • AA 1-300
    • AA 1-80
    • AA 1-200
    • AA 501-600
    • AA 451-550
    • AA 121-220
    • AA 131-230
    • AA 50-100
    • pan
    • full length
    • AA 150-200
    • AA 81-180
    • AA 100-150
    • AA 1-250
    • AA 10-90
    • AA 231-330
    • AA 41-140
    • AA 221-320
    • AA 61-160
    • 3rd Cytoplasmic Domain
    • AA 356-475
    • AA 601-700
    • AA 1-280
    • AA 161-260
    • AA 30-110
    • AA 1-260
    • AA 1-119
    Please use search to find more...
  • Conjugué
    • Inconjugué
    • Biotin
    • HRP
    • FITC
    • PE
    • APC
    • Alexa Fluor 647
    • Alexa Fluor 488
    • Alexa Fluor 350
    • Alexa Fluor 405
    • Alexa Fluor 555
    • Alexa Fluor 594
    • Alexa Fluor 750
    • Alexa Fluor 680
    • CF®488A
    • CF®405S
    • CF®640R
    • CF®568
    • CF®594
    • CF®647
    • CF®740
    • FL490
    • FL550
    • FL594
    • FL650
    • PerCP
    • Atto 488
    • Atto 594
    • Atto 390
    • Alkaline Phosphatase (AP)
    • Peroxidase (POD)
    • PE-Cy7
    • PE-Cy5
    • PerCP-Cy5.5
    • CF®555
    • Cy5
    • PE,Cy5
    • Pacific Blue
    • APC-Cy7
    • Cy3
    • PE-Dazzle™ 594
    • CF®543
    • CF®660R
    • SPRD
    • CF405M
    • CF®770
    • PE-Cy5.5
    • CF®405L
    • CF®680
    • CF®680R
    • Atto 550
  • Isotype
    • IgG
    • IgG1
    • Ig Fraction
    • kappa
    • IgG1 kappa
    • IgG2a
    • IgG2b
    • IgG2a kappa
    • IgG2b kappa
    • IgG kappa
    • IgM
    • IgG2c
    • IgY
    • IgG2
    • IgG3
    • IgM kappa
    • IgG2c kappa
    • IgG3 kappa
    • IgG1 lambda
    • IgG2a lambda
    • L234A
    • L235A
    • P329G
    • IgG lambda
    • IgG2b lambda
    • IgG Mix lambda
    • IgG2 kappa
    • IgG1/IgG2b
    • IgG2 lambda
    • Ig kappa
    • IgG4
    • IgA
    • lambda
    • D265A
    • IgG4 kappa
    • IgG1a
    • Cocktail
    • Ig Mix
    • IgA kappa
    • IgE
    • IgG3 lambda
    • IgG4 S228P
    • Fc Silenced
    • IgA2 kappa
    • IgE kappa
    • IgG Mix
    • IgG1b kappa
    • IgG4 lambda
  • Type Proteine
    • Recombinant Antibody
  • Format
    • Liquid
    • Lyophilized
    • Lyophilized or Liquid
    • Frozen
  • Fragment
    • single-domain Antibody (sdAb)
    • scFv fragment
    • Fc fragment
    • F(ab')2 fragment
    • Fab fragment
  • Grade
    • KO Validated
    • Verified
    • Carrier-free
    • KD Validated
    • Microarray verified
    • In vivo Grade
    • KO Validated, KD Validated
    • Cell Culture Grade
    • GMP Grade
    • Calibrator Grade
    • ChIP-seq Grade
  • Supplier
    • antibodies-online
    • Signalway
    • Biotium
    • Abbexa
    • USBio
    • Cohesion Biosciences
    • Acris
    • Boster Bio
    • Biomatik
    • Cloud-Clone
    • Covalab
    • Assay Biotechnology Company, Inc.
    • Aviva Systems Biology
    • NSJ Bioreagents
    • Assaypro
    • Antibodies Incorporated
    • ProSci
    • RayBiotech
    • FabGennix
    • Rockland
    • Alomone Labs
    • BioLegend
    • Angio-Proteomie
    • BD Biosciences
    • OriGene
    • Wuhan Fine biotech
    • Enogene Biotech
    • Synaptic Systems
    • Phoenix Europe
    • CUSABIO
    • RevMAb Biosciences
    • PROGEN
    • Elabscience
    • Agrisera
    • QED Bioscience
    • EnCor Biotechnology
    • Kamiya Biomedicals
    • Abeomics
    • ANTIGENES
    • Biospes
    • Abcepta
    • Neuromics Antibodies
    • Active Motif
    • ProteoGenix
    • BioAcademia
    • Aeonian Biotech
    • ImmunoBioscience
    • Biohit
    • Aldevron
    • PBL Biomedical Laboratories
    Please use search to find more...
Vous êtes ici:
Chat with us!