Tel:
+49 (0)241 95 163 153
Fax:
+49 (0)241 95 163 155
E-Mail:
orders@anticorps-enligne.fr

Insulin Anticorps

(Insulin (INS))
Insulin, a peptide hormone synthesized within the beta cells of the Islets of Langerhans in the pancreas, serves as a pivotal orchestrator in the intricate regulation of blood glucose concentrations. Operating through a series of intricate cellular mechanisms, insulin exerts its influence on glucose metabolism by modulating cellular glucose uptake, storage, and utilization.

Insulin antibodies are essential tools for studying insulin-related processes and investigating conditions like diabetes. Here are some primary applications for insulin research antibodies:

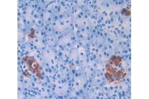
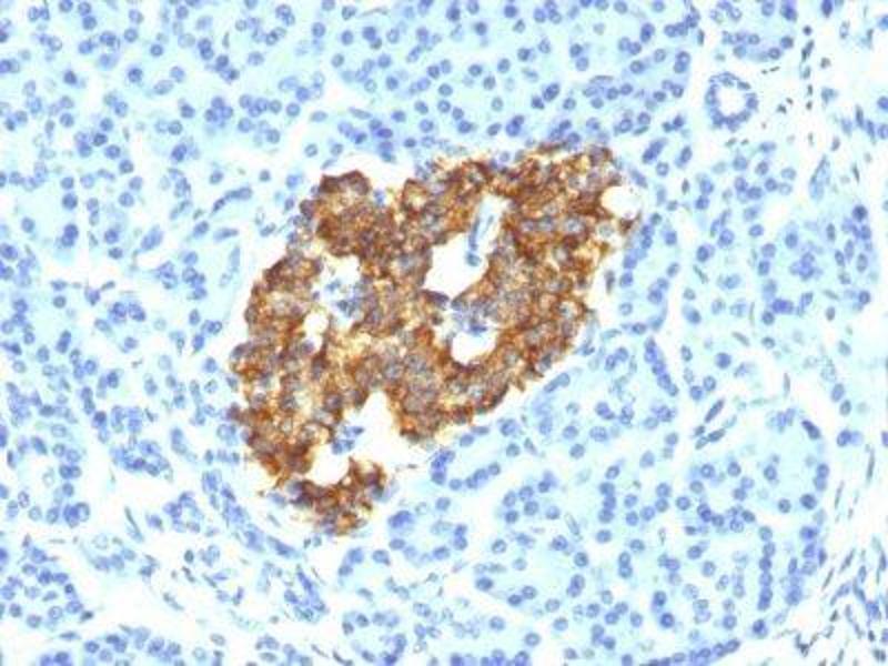
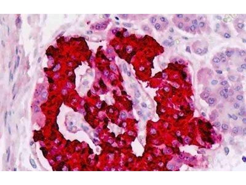
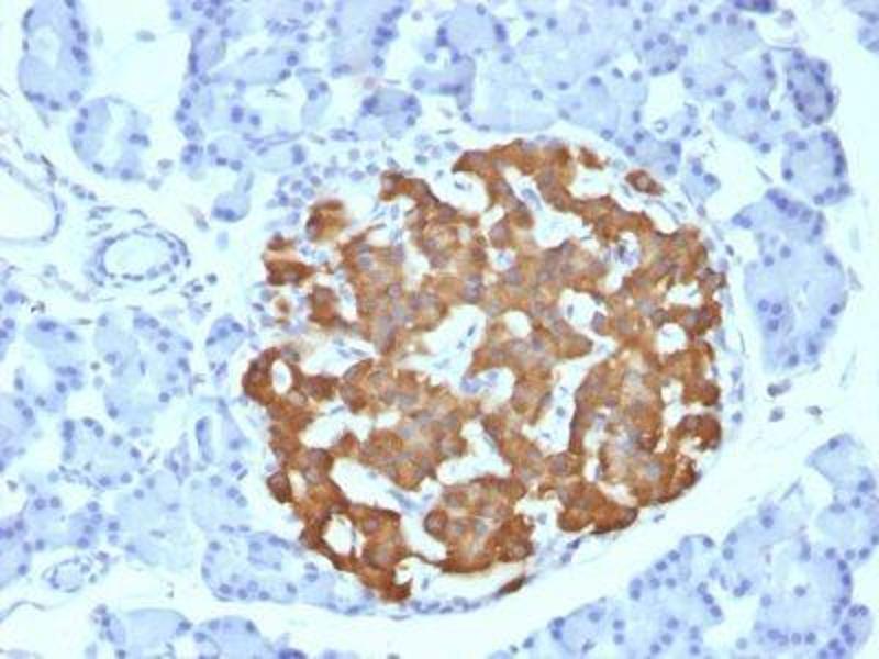
  • Immunohistochemistry (IHC) and Immunofluorescence (IF): Insulin antibodies are used to visualize the distribution and localization of insulin in tissues. IHC and IF techniques allow researchers to identify insulin-producing cells within pancreatic islets and study changes in insulin expression in response to different physiological or pathological conditions.
  • Cell Signaling Studies: Insulin is a potent signaling molecule that regulates glucose metabolism and cellular responses. Insulin antibodies are utilized to investigate insulin signaling pathways, including receptor activation, downstream kinase cascades, and transcriptional responses.
  • Pharmacological Studies: In drug development and testing, insulin antibodies are used to assess the effects of potential therapeutics on insulin expression, secretion, and signaling. This information is crucial for developing new treatments for diabetes and related conditions.
  • Immunoassays: Insulin antibodies are used in various immunoassays, such as enzyme-linked immunosorbent assays (ELISAs), to quantify insulin levels in biological samples like blood and tissue homogenates. These assays are valuable for clinical diagnosis and research studies.
  • Cell Culture and In Vitro Studies: In vitro studies often involve the use of insulin antibodies to modulate insulin signaling in cultured cells and assess the outcomes on cellular metabolism and growth.

318 Résultats

INS Reactivité: Humain IF (p), IF (cc) Hôte: Souris Monoclonal 1G11 FITC
Pubmed 1 reference
N° du produit ABIN722608
519,08 €
Plus frais de livraison 40,00 € et TVA
100 μL
Destination: France
Envoi sous 20 à 25 jours ouvrables
 
INS Reactivité: Humain IHC (p), IF (p), IF (cc) Hôte: Souris Monoclonal 1G11 unconjugated
Pubmed 1 reference
N° du produit ABIN722601
439,25 €
Plus frais de livraison 40,00 € et TVA
100 μL
Destination: France
Envoi sous 8 à 12 jours ouvrables
 
INS Reactivité: Humain, Souris, Rat WB, ELISA, IP, IHC (p), IF (p) Hôte: Lapin Polyclonal unconjugated
N° du produit ABIN729118
357,70 €
Plus frais de livraison 40,00 € et TVA
100 μL
Destination: France
Envoi sous 8 à 12 jours ouvrables
 
INS Reactivité: Humain IHC, ELISA Hôte: Lapin Polyclonal unconjugated
N° du produit ABIN7156327
328,90 €
Plus frais de livraison 40,00 € et TVA
100 μg (Autres quantités disponibles)
Destination: France
Envoi sous 11 à 15 jours ouvrables
 
INS Reactivité: Humain, Porc, Boeuf (Vache) IHC, IF, IHC (p), FACS, ISt, StM Hôte: Souris Monoclonal SPM139 unconjugated
N° du produit ABIN6939790
639,45 €
Plus frais de livraison 40,00 € et TVA
100 μg (Autres quantités disponibles)
Destination: France
Envoi sous 6 à 10 jours ouvrables
 
INS Reactivité: Humain, Souris, Porc, Boeuf (Vache), Lapin IHC, IHC (p), ISt, StM Hôte: Souris Monoclonal IRDN-805 unconjugated
N° du produit ABIN6939795
639,45 €
Plus frais de livraison 40,00 € et TVA
100 μg (Autres quantités disponibles)
Destination: France
Envoi sous 6 à 10 jours ouvrables
 
INS Reactivité: Humain, Porc, Boeuf (Vache), Rat, Lapin IHC, IF, IHC (p), FACS, ISt, StM Hôte: Souris Monoclonal SPM531 unconjugated
N° du produit ABIN6939792
639,45 €
Plus frais de livraison 40,00 € et TVA
100 μg (Autres quantités disponibles)
Destination: France
Envoi sous 6 à 10 jours ouvrables
 
INS Reactivité: Humain, Porc, Boeuf (Vache), Lapin ELISA, IHC (p), IHC (fro) Hôte: Souris Monoclonal E2E3 unconjugated
Pubmed 1 reference
N° du produit ABIN2475104
439,75 €
Plus frais de livraison 40,00 € et TVA
0.1 mg
Destination: France
Envoi sous 4 à 5 jours ouvrables
 
INS Reactivité: Humain, Porc, Boeuf (Vache), Lapin IHC, ELISA, IHC (p), IHC (fro) Hôte: Souris Monoclonal E2E3 unconjugated
N° du produit ABIN1804387
512,07 €
Plus frais de livraison 40,00 € et TVA
50 μg
Destination: France
Envoi sous 15 à 20 jours ouvrables
 
INS Reactivité: Humain, Porc, Boeuf (Vache) ELISA, IHC (p), ICC, RIA Hôte: Souris Monoclonal IN-05 unconjugated
Pubmed 2 références
N° du produit ABIN94408
279,31 €
Plus frais de livraison 40,00 € et TVA
100 μg
Destination: France
Envoi sous 2 à 4 jours ouvrables
 
INS Reactivité: Humain, Souris, Porc, Boeuf (Vache), Rat IF, FACS, IHC (f) Hôte: Souris Monoclonal IRDN-794 unconjugated
N° du produit ABIN6157480
566,15 €
Plus frais de livraison 40,00 € et TVA
50 μL
Destination: France
Envoi sous 8 à 14 jours ouvrables
 
Rockland 200-301-389 INS Reactivité: Humain IHC, WB, ELISA, IP, DB Hôte: Souris Monoclonal 2D11-H5 unconjugated
N° du produit ABIN129507
640,81 €
Frais d'envoi 40,00 €, glace carbonique 20,00 € et TVA exclus
100 μg
Destination: France
Envoi sous 5 à 8 jours ouvrables
Rockland Original
INS Reactivité: Humain IHC, WB, ELISA, IF/ICC Hôte: Lapin Polyclonal unconjugated
N° du produit ABIN2934880
411,95 €
Plus frais de livraison 40,00 € et TVA
100 μL (Autres quantités disponibles)
Destination: France
Envoi sous 7 à 15 jours ouvrables
 
INS Reactivité: Humain IHC (p) Hôte: Lapin Monoclonal F1B2 unconjugated
N° du produit ABIN7091253
456,42 €
Plus frais de livraison 40,00 € et TVA
100 μL
Destination: France
Envoi sous 12 à 17 jours ouvrables
 
INS Reactivité: Humain IHC, ELISA, ELISA (Detection) Hôte: Souris Monoclonal D4B8cc unconjugated
N° du produit ABIN6386407
282,33 €
Plus frais de livraison 40,00 € et TVA
1 mg
Destination: France
Envoi sous 2 à 3 jours ouvrables
 
INS Reactivité: Humain ELISA, ELISA (Capture) Hôte: Souris Monoclonal 7F8 unconjugated
N° du produit ABIN6386404
282,33 €
Plus frais de livraison 40,00 € et TVA
1 mg
Destination: France
Envoi sous 2 à 3 jours ouvrables
 
INS Reactivité: Humain, Souris, Rat WB, ELISA Hôte: Lapin Polyclonal unconjugated
N° du produit ABIN4901805
377,51 €
Plus frais de livraison 40,00 € et TVA
100 μL (Autres quantités disponibles)
Destination: France
Envoi sous 8 à 10 jours ouvrables
 
INS Reactivité: Humain IF (p), IF (cc) Hôte: Lapin Polyclonal AbBy Fluor® 680
N° du produit ABIN5005438
426,37 €
Plus frais de livraison 40,00 € et TVA
100 μL
Destination: France
Envoi sous 20 à 25 jours ouvrables
 
INS Reactivité: Souris, Rat WB, FACS, IF (p), IF (cc) Hôte: Lapin Polyclonal AbBy Fluor® 750
N° du produit ABIN5005437
426,37 €
Plus frais de livraison 40,00 € et TVA
100 μL
Destination: France
Envoi sous 20 à 25 jours ouvrables
 
INS Reactivité: Souris, Rat WB, FACS, IF (p), IF (cc) Hôte: Lapin Polyclonal AbBy Fluor® 680
N° du produit ABIN5005436
426,37 €
Plus frais de livraison 40,00 € et TVA
100 μL
Destination: France
Envoi sous 20 à 25 jours ouvrables
 
  • Type Primary
    • Primary
  • Application
    • Immunohistochemistry (IHC)
    • Western Blotting (WB)
    • ELISA
    • Immunofluorescence (IF)
    • Flow Cytometry (FACS)
    • Immunohistochemistry (Paraffin-embedded Sections) (IHC (p))
    • Immunofluorescence (Paraffin-embedded Sections) (IF (p))
    • Immunohistochemistry (Formalin-fixed Sections) (IHC (f))
    • Immunofluorescence (Cultured Cells) (IF (cc))
    • Immunocytochemistry (ICC)
    • Immunohistochemistry (Formalin-fixed Paraffin-embedded Sections) (IHC (fp))
    • Immunoprecipitation (IP)
    • Immunohistochemistry (Frozen Sections) (IHC (fro))
    • Immunostaining (ISt)
    • Radioimmunoassay (RIA)
    • Immunofluorescence (fixed cells) (IF/ICC)
    • Enzyme Immunoassay (EIA)
    • Staining Methods (StM)
    • Immunochromatography (IC)
    • Dot Blot (DB)
    • Functional Studies (Func)
    • ELISA (Capture)
    • Blocking Reagent (BR)
    • ELISA (Detection)
    • Immunoassay (IA)
    • Immunodiffusion (ID)
    • Lateral Flow (LF)
    • Neutralization (Neut)
    • Protein Assay (PrA)
    • Agglutination (AGG)
  • Réactivité
    • Human
    • Mouse
    • Pig
    • Cow
    • Rat
    • Rabbit
    • Guinea Pig
    • Dog
    • Monkey
    • Avian
    • Cat
    • Chicken
    • Donkey
    • Goat
    • Hamster
    • Horse
    • Mammalian
    • Sheep
  • Cité dans publications
  • Images disponible
  • Sans conservateur uniquement
  • Carrier free only
  • Hote
    • Mouse
    • Rabbit
    • Guinea Pig
    • Chicken
    • Goat
    • Sheep
  • Clonalité
    • Monoclonal
    • Polyclonal
    • Chimeric
  • Clone
    • 1G11
    • IRDN-1980R
    • rIRDN-805
    • 2D11-H5
    • IRDN-805
    • E2-E3
    • E2-E3 2D11-H5
    • IRDN-794
    • K36aC10
    • 1-B-1E16
    • 5C54
    • IN-05
    • ISL-8J
    • 1-B-1E15
    • 2D11-H5 or INS05
    • 7F8
    • 8E2
    • Ab 123
    • E2-E3 or INS04
    • E2E3
    • ML02I01
    • SPM139
    • 0H2
    • 1A399
    • 1A400
    • 1C5A
    • 1F6
    • 2D11-H5-same as INS05
    • 396CT20-4-4
    • 3E7
    • 7C8
    • C-PEP-01
    • C1
    • C7
    • CCI-3
    • D3E7
    • D3E7 (5B6-6)
    • D4B8cc
    • DEA-9
    • E2-E3-2D11-H5 or INS04-INS05
    • E6-E5 (7F8)
    • F1B2
    • GT1455
    • HMV308
    • INSC7C9
    • M322212
    • M83149
    • SAA0557
    • SAA0558
    • SAA1448
    Please use search to find more...
  • Epitope
    • AA 46-59
    • AA 25-110
    • C-Term
    • AA 1-84
    • AA 25-54
    • AA 1-110
    • AA 88-108
    • Beta Chain
    • AA 30-70
    • AA 48-62
    • AA 90-110
    • Center
    • N-Term
    • AA 21-52
    • AA 35-64
    • AA 49-98
    • AA 826-854
    • AA 93-108
    • Chain beta
    • Phe49
  • Conjugué
    • Inconjugué
    • Biotin
    • FITC
    • HRP
    • CF®405S
    • CF®488A
    • CF®568
    • CF®594
    • CF®640R
    • CF®647
    • CF®740
    • AbBy Fluor® 350
    • AbBy Fluor® 488
    • AbBy Fluor® 555
    • AbBy Fluor® 594
    • AbBy Fluor® 647
    • AbBy Fluor® 680
    • AbBy Fluor® 750
    • Cy3
    • Cy5
    • Cy5.5
    • Cy7
    • APC
    • Alexa Fluor 488
    • Alexa Fluor 555
    • Alexa Fluor 594
    • Alexa Fluor 647
    • Alexa Fluor 680
    • Alexa Fluor 750
    • PE
    • Sepharose
    • Alexa Fluor 350
    • Alexa Fluor 405
    • CF®680R
    • Magnetic Particles
  • Isotype
    • IgG
    • IgG1 kappa
    • IgG1
    • kappa
    • IgG2a
    • IgG kappa
    • Ig Fraction
    • IgG2b
    • IgG2a kappa
    • IgG3
    • IgM
    • IgY
  • Type Proteine
    • Recombinant Antibody
  • Format
    • Liquid
    • Lyophilized
  • Supplier
    • antibodies-online
    • Biotium
    • Signalway
    • USBio
    • Abbexa
    • Acris
    • ProteoGenix
    • NSJ Bioreagents
    • Biomatik
    • Cohesion Biosciences
    • Enogene Biotech
    • RayBiotech
    • ProSci
    • Assaypro
    • ANTIGENES
    • Assay Biotechnology Company, Inc.
    • Boster Bio
    • CUSABIO
    • Cloud-Clone
    • Covalab
    • ImmunoBioscience
    • Rockland

Dernières publications pour nos Insulin Anticorps

Chen, Ren, Zhou, Deng, Hu, Zhang, Li: "HWL-088, a new potent free fatty acid receptor 1 (FFAR1) agonist, improves glucolipid metabolism and acts additively with metformin in ob/ob diabetic mice." dans: British journal of pharmacology, Vol. 177, Issue 10, pp. 2286-2302, (2021) (PubMed).

Zhao, Wang, Zhu, Xia, Zhang, Wang, Zhang, Xu, Chen, Jiang, Liu, Wu, Wu, Zhang, Bai, Fotina, Hu: "The Antimicrobial Peptide Mastoparan X Protects Against Enterohemorrhagic Escherichia coli O157:H7 Infection, Inhibits Inflammation, and Enhances the Intestinal Epithelial Barrier." dans: Frontiers in microbiology, Vol. 12, pp. 644887, (2021) (PubMed).

Meesaragandla, Karanth, Janke, Delcea: "Biopolymer-coated gold nanoparticles inhibit human insulin amyloid fibrillation." dans: Scientific reports, Vol. 10, Issue 1, pp. 7862, (2020) (PubMed).

Fang, Weng, Li, Tao, Mai, Liu, Lu, Lai, Duan, Alvarez, Arvan, Wynshaw-Boris, Li, Pei, Jin, Li: "Single-Cell Heterogeneity Analysis and CRISPR Screen Identify Key ��-Cell-Specific Disease Genes." dans: Cell reports, Vol. 26, Issue 11, pp. 3132-3144.e7, (2019) (PubMed).

Xu, Huang, Guo, Xiong, Zhu, Xu, Lu, Li, Wan, Lu, Wang: "microRNA-690 regulates induced pluripotent stem cells (iPSCs) differentiation into insulin-producing cells by targeting Sox9." dans: Stem cell research & therapy, Vol. 10, Issue 1, pp. 59, (2019) (PubMed).

Chen, Zeng, Liu, Guo, Zhang, Chen, Lin, Wen, Zhao, Lin, Gao: "Adropin deficiency worsens HFD-induced metabolic defects." dans: Cell death & disease, Vol. 8, Issue 8, pp. e3008, (2018) (PubMed).

Zheng, Cao, Zhang, Yan, Xu, Zhao, Zhu, Zhang, Li, Zhu: "Abnormal gene methylation during embryonic development after preimplantation genetic testing increases risk of liver-derived insulin resistance." dans: Annals of the New York Academy of Sciences, (2018) (PubMed).

Cao, Kakar, Hossen, Wu, Chen: "Sustained epidermal powder drug delivery via skin microchannels." dans: Journal of controlled release : official journal of the Controlled Release Society, Vol. 249, pp. 94-102, (2017) (PubMed).

Dooley, Tian, Schonefeldt, Delghingaro-Augusto, Garcia-Perez, Pasciuto, Di Marino, Carr, Oskolkov, Lyssenko, Franckaert, Lagou, Overbergh, Vandenbussche, Allemeersch, Chabot-Roy, Dahlstrom, Laybutt et al.: "Genetic predisposition for beta cell fragility underlies type 1 and type 2 diabetes. ..." dans: Nature genetics, Vol. 48, Issue 5, pp. 519-27, (2017) (PubMed).

Zöllner, Jouni, Panzer, Khadour, Janzen, Wesche, Ten Berg, Schellong, Heinken, Greinacher, Bakchoul: "Platelet activation in the presence of neutral protamine Hagedorn insulin: a new feature of antibodies against protamine/heparin complexes." dans: Journal of thrombosis and haemostasis : JTH, (2016) (PubMed).

Pseudonymes pour Insulin Anticorps

insulin (INS) Anticorps
insulin (INS-IGF2) Anticorps
insulin (ins) Anticorps
insulin (Ins) Anticorps
insulin precursor (PIN) Anticorps
insulin II (Ins2) Anticorps
preproinsulin (ins) Anticorps
insulin L homeolog (ins.L) Anticorps
insulin S homeolog (ins.S) Anticorps
AA986540 Anticorps
IDDM2 Anticorps
igf2-A Anticorps
ILPR Anticorps
ins Anticorps
Ins-2 Anticorps
ins-a Anticorps
ins-b Anticorps
ins1 Anticorps
ins1-a Anticorps
InsII Anticorps
Insulin Anticorps
IRDN Anticorps
Mody Anticorps
Mody4 Anticorps
MODY10 Anticorps
proinsulin Anticorps
xins Anticorps
zgc:109842 Anticorps
Vous êtes ici:
Chat with us!